当前位置: 首页 > 新闻 > 健康新闻
编号:10191845
特别关注:无眼患儿等待全球专家们的援助
http://www.100md.com 2003年7月19日 sohu健康
特别关注:无眼患儿等待全球专家们的援助//
特别关注:无眼患儿等待全球专家们的援助//
特别关注:无眼患儿等待全球专家们的援助//
特别关注:无眼患儿等待全球专家们的援助//

     小飞,男,2002年11月11日出生。他爸爸去年5月出去找活,一年多过去了,音讯全无。家里就全靠母亲王秀群一个人苦苦撑着,婆婆有严重的哮喘,干不得活,只有外婆照顾小飞,两个都是60多的老人,全家只靠母亲王秀群在沙发厂做缝纫工每月400多元的工资供养。

    小飞出生时发现无睑裂,身体的其他器官发育也很健康,与同龄婴儿别无二致。右眼球部位长有约3厘米见方的肉包,左眼球部位的肉包略小一些。刚生下来时,两个肉包包还不怎么明显,但是时间一长,小飞眼球周围的肉包包越来越大。对光线特别敏感,稍稍有一点太阳光的照射,他都会情不自禁地把脸背过去,或是用小手遮挡。

    小飞的家是一个并不富裕的家庭,除了卧室的一只大衣柜稍显得像样外,剩下的几件摆设就太简单陈旧了,客厅的木方桌有好几处已经斑驳开裂,四周的墙壁也被岁月熏成了乌黑色。小飞的眼病对全家人的打击实在是太大了,他刚生下来3天和5个月的时候,分别又去了一些大型医院,但医生无法准确判断其病因,加之家庭经济困难,没能治疗。

    据相关资料显示,关于此类病情的报道全球只有17例,但都是单眼隐眼,双眼隐眼目前还没有报道。因此,我们希望全国各地乃至全球的眼科专家们给予相关支持。现将病情及相关检查资料介绍如下:

    简要病历

    患 儿: 小飞,男,7个月20天。

    主 诉: 出生后看不到双眼。

    现病史: 生后即看不到双眼,在眼球部位可见一层相连的皮肤,皮下隐约可见类眼球样体并逐渐增大。右眼尤为明显.2003年6月24日以先天性隐眼畸形入院。

    个人史: 为足月剖腹产,其母怀孕期间无明显疾病及用药史,妊娠1-6个月一直从事做皮鞋工作。生后除眼部外其他发育基本正常。

    家族史: 父母非近亲结婚,家族中无类似眼疾。

    检查所见: 患儿双眼部无睑裂,透过眼部皮肤隐约可见类眼球样圆体,有轻度转动感,触之有轻微波动感,无动脉搏动及血管音。双侧近太阳穴处可见横形未分化之睑裂痕迹,约1厘米长。眶缘整齐,右眼高出眶缘约1厘米,局部皮肤呈高张状态,无眉。

    实验室检查:

    B 超: 双眼呈葫芦状囊样改变。

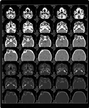
    C T: 双侧眼球增大,形态不规则,成分叶状,并向前突出。双眼晶体未显示,右眼视神经未显示。(见附图CT)

    M R I: 双眼球形态失常,内未见晶状体,眼眶内脂肪间隙变小,双眼球外肌及双侧视神经显影。双眼眶扩大,以右侧明显。(见附图MRI-1,MRI-2)

    VEP检查: 左眼P100潜伏期延长,振幅减小。

    染色体检查: 未见异常。

    目前初步诊断为:1. 双眼隐眼畸形 2. 先天性眼球发育异常 3. 先天性青光眼(?) 4. 先天性角巩膜葡萄肿(?) 5. 先天性巩膜葡萄肿(?) 6. 视神经萎缩(?)

    我们需要全国各地乃至全球的眼科专家们提供支援,为小飞的治疗提供意见和建议!谢谢大家!

    联系医院:成都爱尔眼科医院

    联系电话:(028)86262120-8501

    联系人:屈直

    E-mail: chief100@vip.sina.com, 百拇医药