当前位置:
编号:10536563
椎间盘源性下腰痛发病机制有新说
http://www.100md.com 2005年3月10日 《中国医学论坛报》 2005年第9期
椎间盘源性下腰痛发病机制有新说//
椎间盘源性下腰痛发病机制有新说//

     本报讯(驻地记者 张献怀)椎间盘源性下腰痛有着较高的发病率和致残率,是现代医学最难处理的疾病之一,揭示其发病机制并给以有效治疗成为世界医学界的一个重要课题。解放军304医院骨科副主任医师彭宝淦博士研究发现,椎间盘源性下腰痛患者椎间盘后方的肉芽组织条带区可能是椎间盘源性下腰痛的起源部位,肉芽组织条带与椎间盘的创伤修复过程有关。这一成果发表在J Bone Joint Surg Br(20058762)上。

    彭宝淦博士收集了17例腰椎后路切除的椎间盘源性下腰痛病人的19个已被腰椎间盘造影术证实的疼痛椎间盘,同时收集12个无腰痛症状的生理老化椎间盘和10个正常对照椎间盘,分别评估其组织学特点和神经分布。

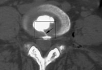
    研究发现,椎间盘源性下腰痛病人的疼痛椎间盘在组织学上的显著特征表现为形成一条从髓核至纤维环外层的血管化肉芽组织条带区,肉芽组织成熟程度不一,其间伴有1个或多个裂隙(如图);P物质、神经丝蛋白和血管活性肠肽三种神经肽阳性神经纤维明显增多,且主要沿伴有裂隙的肉芽组织条带区分布。据此他推断,椎间盘后方神经分布广泛的肉芽组织条带区是椎间盘源性下腰痛的起源部位,外来压力作用于该部位是引起椎间盘性源下腰痛的主要原因。, 百拇医药