高热、咳嗽、少量黄色粘痰
作者:
单位:
关键词:
中国防痨杂志000121 上海市肺科医院 上海市徐汇区中心医院 上海市防痨协会
女性、49岁、职工。1998年3月24日无明显诱因突发高热(39℃)伴咳嗽,咳少量黄色粘痰、无痰血或咯血。外院诊断为“支气管炎”,以“菌必治”治疗二天后体温下降至37.5℃左右,咳嗽亦有好转,无痰,一周后外院胸片示“左下肺异影”,再予抗炎治疗。一月后复查胸片左下肺阴影未见变化。经抗炎治疗后患者自觉良好,无胸闷、胸痛、气促等现象。二月来就诊于各大医院均未能有明确诊断,乃于5月21日住院作进一步检查及治疗。
既往曾有阑尾切除术及眼异物摘除术。幼年曾有GPT增高,经治疗后正常。已婚已育。无烟酒嗜好。
, http://www.100md.com
体检:T:37℃~37.5℃,P:84次/分,R:20次/分BP:16/10kPa。神清,营养发育正常,巩膜皮肤未见黄染,浅表淋巴结未见肿大,头颅、五官未见异常。颈软、气管居中,甲状腺未肿大,胸廓,呼吸运动双侧均对称,肺叩诊清音,呼吸音正常未闻及罗音,心脏(-),腹平软、无特殊异常,神经系统检查正常。
实验室检查:血:WBC5.3×109/L,N 0.66,L 0.34;RBC3.83×1012/L,Hb113g/L,PLT175×109/L,ESR 25mm/1h。尿(-),肝肾功能正常。痰抗酸杆菌及脱落细胞多次检查阴性。支气管镜检查未见异常。OT 1∶2000(+)。骨ECT正常。
临床讨论
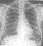
韩莘野教授(上医大中山医院放射科):从放射影象学看,胸片(图1)示右侧5、6后肋间有微小散在性病变,左下有椭圆形阴影在第8、9后肋间,大小约2cm×2.5cm,边缘清晰,密度较淡但均匀,无卫星灶可见,两肺纹理清晰,膈平坦,两肋膈角尖锐。经抗炎治疗后,右侧病变已完全吸收(图2),发热咳嗽可能与右上病变有关。胸片(图1)与胸片(图2)间隔一个多月,左下椭圆形阴影仍然存在,并无缩小或增大。关于定位问题,在平片上比较困难。侧位片(图3)因阴影密度较淡,如不注意往往容易忽视,详细地看第9胸椎前缘有不规则浅淡阴影,阴影大部份被胸椎遮盖重叠,部位在左上叶和下叶间隙之下,故位于左下叶,估计在外基底段。CT片(图4)对观察病变很有价值,在28、29、30各扫描层面均可明显显示,前缘较毛但并无长或短毛刺,外侧有一子灶不似分叶,与胸膜间有明显界限。所示CT值很不均匀,低者为5.6Hu,高者为37.7Hu,C+片示CT值并无明显增高现象,说明阴影内血供很少,同时在阴影内侧亦很少向纵隔幅射血管条纹影。肺癌肿块血供较多,内侧向纵隔间隙经常可见较多血管条纹影。综合以上现象,从影象学判断可以排除肺癌的可能性。
, 百拇医药
许佩舜主任(上海市肺科医院):病史提示发热39℃、咳嗽黄痰,图1示右中病变,经抗炎治疗后症状好转,图2右中已无病变可见,符合炎症诊断。现在问题集中在左下椭圆形肿块,若从一元论来诊断,在强有力抗炎(包括泰能)治疗下,椭圆形阴影若为炎症亦应有吸收或消散,虽然圆形炎症病例在临床上亦时有见及。肿块影在左下叶外基底段,此部位非结核病好发部位,同时肿块直径>2cm而CT值较低亦不似结核球应有特征,C+其CT值亦未增高,除结核外还有机化性炎症,炎症在积极抗炎后由于吸收不完全而机化,供血微血管闭塞致CT值在C+时未能增高。机化性炎症病变的CT值可低可高,多呈不规则状态,但很少边缘清晰呈椭圆形者。患者为49岁女性,不能排除腺癌,早期腺癌其CT值可以较低,系由于容积效应所致。
李镇中主任(上海市香山医院):本例所示左下椭圆形阴影为左肺下叶外基底段肺外周结节性病变,有以下特点:(1)结节灶在CT片表现形态呈多角状,无分叶和毛刺;(2)密度均匀,CT值偏低,大多在5.6~24Hu之间,高处为37.7Hu;(3)有一层面在小结节内近肺门侧有一小偏心空洞,洞壁光滑;(4)强化扫描时结节CT值无增强;(5)结节病灶周围肺野改变较多,结节灶与肺门间有多条僵直的线状阴影,左下叶肺纹理增深、紊乱,支气管管壁增厚并伴有小蜂窝状改变,在其他层面上左下叶还有小片状渗出性病变;(6)纵隔内未见肿大的淋巴结;(7)临床除早期发热咳嗽黄痰显示右中炎症外无其他症状;(8)OT 1∶2000为(+)。综合以上特点,同意不是癌症的诊断,虽部位不是结核好发部位,但各特征仍支持为结核的可能性,近年来不典型结核时有所见。
, http://www.100md.com
汪钟贤主任(上海市肺科医院):孤立性结节性病变的诊断应从以下几点进行综合分析。(1)部位、(2)形态、(3)密度、(4)周边、(5)周围病变、(6)动态观察。本例定位在左肺下叶外基底段,平片似椭圆形,CT片病变呈多角形,周边不规则,后侧光滑,前侧毛糙,无毛刺,并有向心性缺口,直径为2cm,密度淡,CT值低且不均一,C+CT值又无增强现象,动态观察二个月无变化,结节病变周围支气管紊乱。以上特点均为良性病变的表现,良性病变中首先考虑为结核性,若为慢性炎症则周围病变应比较多,因其侵犯范围较广。若为腺癌,一般腺癌直径在2cm以上其CT值不应如此低。
徐建勋主任(上海市肺科医院):本例的诊断与鉴别诊断很有意义。1.缺乏典型的结核病症状(午后低热、盗汗等)而是39℃高热,咳嗽等肺部感染症状,且经抗菌治疗后症状缓解;2.病变位于左肺下叶外基底段,与结核的常见好发部位不相符;3.病变呈孤立性,直径约2cm,既无卫星灶,其中又无钙化灶;4.CT片示病灶的小空腔亦与结核球内干酪液化空洞不同,内壁是光整的。手术前诊断(包括外院):肺癌、良性肿瘤、球形炎症、结核灶。手术所见:打开胸腔后,胸膜腔内无积液,肺与胸膜无粘连,左肺下叶外基底段的局部胸膜轻度充血,无胸膜凹陷征,在其肺组织内可摸及一直径2.5cm的结节灶,边界光滑,质地稍硬,其周围可摸及0.8~1.2cm大小不一的散在结节灶,施行左肺下叶切除术。病理示左肺下叶多发性典型结核病变。
, 百拇医药
临 床 病 理 讨 论





图1 右肺第5、6后肋间散在浸润性病变,左肺第8、9后肋间可见直径约2.5cm椭圆形肿块。 图2 右肺清晰,左肺下部椭圆形肿块仍存在,大小无明显变化。 图3 左侧位胸片,第9胸椎高度部位可见浅淡的片状阴影。 图4 CT片:左外基底段有直径2cm块状阴影,后侧边缘较清晰,前侧边缘毛糙,密度均匀。
结核分枝杆菌rpsL基因PCR-RFLP结果(本文见第8页)。图A 琼脂糖凝胶电泳、EB染色结果;图B 聚丙烯酰胺凝胶电泳、银染色结果。1 DNA标准分子量PBR322-HaeⅢ,2~10分别为结核分枝杆菌分离株rpsL基因。PCR片段MboⅡ酶切前后的电泳结果:2,3,14,15 H37RV对照株;6,7,10,11 药物敏感株No1,3,4,5,8,9,16~19 SM耐药株No19,20,52,56;12,13 非SM耐药株No14。
(陈恒 整理)■, 百拇医药
单位:
关键词:
中国防痨杂志000121 上海市肺科医院 上海市徐汇区中心医院 上海市防痨协会
女性、49岁、职工。1998年3月24日无明显诱因突发高热(39℃)伴咳嗽,咳少量黄色粘痰、无痰血或咯血。外院诊断为“支气管炎”,以“菌必治”治疗二天后体温下降至37.5℃左右,咳嗽亦有好转,无痰,一周后外院胸片示“左下肺异影”,再予抗炎治疗。一月后复查胸片左下肺阴影未见变化。经抗炎治疗后患者自觉良好,无胸闷、胸痛、气促等现象。二月来就诊于各大医院均未能有明确诊断,乃于5月21日住院作进一步检查及治疗。
既往曾有阑尾切除术及眼异物摘除术。幼年曾有GPT增高,经治疗后正常。已婚已育。无烟酒嗜好。
, http://www.100md.com
体检:T:37℃~37.5℃,P:84次/分,R:20次/分BP:16/10kPa。神清,营养发育正常,巩膜皮肤未见黄染,浅表淋巴结未见肿大,头颅、五官未见异常。颈软、气管居中,甲状腺未肿大,胸廓,呼吸运动双侧均对称,肺叩诊清音,呼吸音正常未闻及罗音,心脏(-),腹平软、无特殊异常,神经系统检查正常。
实验室检查:血:WBC5.3×109/L,N 0.66,L 0.34;RBC3.83×1012/L,Hb113g/L,PLT175×109/L,ESR 25mm/1h。尿(-),肝肾功能正常。痰抗酸杆菌及脱落细胞多次检查阴性。支气管镜检查未见异常。OT 1∶2000(+)。骨ECT正常。
临床讨论
韩莘野教授(上医大中山医院放射科):从放射影象学看,胸片(图1)示右侧5、6后肋间有微小散在性病变,左下有椭圆形阴影在第8、9后肋间,大小约2cm×2.5cm,边缘清晰,密度较淡但均匀,无卫星灶可见,两肺纹理清晰,膈平坦,两肋膈角尖锐。经抗炎治疗后,右侧病变已完全吸收(图2),发热咳嗽可能与右上病变有关。胸片(图1)与胸片(图2)间隔一个多月,左下椭圆形阴影仍然存在,并无缩小或增大。关于定位问题,在平片上比较困难。侧位片(图3)因阴影密度较淡,如不注意往往容易忽视,详细地看第9胸椎前缘有不规则浅淡阴影,阴影大部份被胸椎遮盖重叠,部位在左上叶和下叶间隙之下,故位于左下叶,估计在外基底段。CT片(图4)对观察病变很有价值,在28、29、30各扫描层面均可明显显示,前缘较毛但并无长或短毛刺,外侧有一子灶不似分叶,与胸膜间有明显界限。所示CT值很不均匀,低者为5.6Hu,高者为37.7Hu,C+片示CT值并无明显增高现象,说明阴影内血供很少,同时在阴影内侧亦很少向纵隔幅射血管条纹影。肺癌肿块血供较多,内侧向纵隔间隙经常可见较多血管条纹影。综合以上现象,从影象学判断可以排除肺癌的可能性。
, 百拇医药
许佩舜主任(上海市肺科医院):病史提示发热39℃、咳嗽黄痰,图1示右中病变,经抗炎治疗后症状好转,图2右中已无病变可见,符合炎症诊断。现在问题集中在左下椭圆形肿块,若从一元论来诊断,在强有力抗炎(包括泰能)治疗下,椭圆形阴影若为炎症亦应有吸收或消散,虽然圆形炎症病例在临床上亦时有见及。肿块影在左下叶外基底段,此部位非结核病好发部位,同时肿块直径>2cm而CT值较低亦不似结核球应有特征,C+其CT值亦未增高,除结核外还有机化性炎症,炎症在积极抗炎后由于吸收不完全而机化,供血微血管闭塞致CT值在C+时未能增高。机化性炎症病变的CT值可低可高,多呈不规则状态,但很少边缘清晰呈椭圆形者。患者为49岁女性,不能排除腺癌,早期腺癌其CT值可以较低,系由于容积效应所致。
李镇中主任(上海市香山医院):本例所示左下椭圆形阴影为左肺下叶外基底段肺外周结节性病变,有以下特点:(1)结节灶在CT片表现形态呈多角状,无分叶和毛刺;(2)密度均匀,CT值偏低,大多在5.6~24Hu之间,高处为37.7Hu;(3)有一层面在小结节内近肺门侧有一小偏心空洞,洞壁光滑;(4)强化扫描时结节CT值无增强;(5)结节病灶周围肺野改变较多,结节灶与肺门间有多条僵直的线状阴影,左下叶肺纹理增深、紊乱,支气管管壁增厚并伴有小蜂窝状改变,在其他层面上左下叶还有小片状渗出性病变;(6)纵隔内未见肿大的淋巴结;(7)临床除早期发热咳嗽黄痰显示右中炎症外无其他症状;(8)OT 1∶2000为(+)。综合以上特点,同意不是癌症的诊断,虽部位不是结核好发部位,但各特征仍支持为结核的可能性,近年来不典型结核时有所见。
, http://www.100md.com
汪钟贤主任(上海市肺科医院):孤立性结节性病变的诊断应从以下几点进行综合分析。(1)部位、(2)形态、(3)密度、(4)周边、(5)周围病变、(6)动态观察。本例定位在左肺下叶外基底段,平片似椭圆形,CT片病变呈多角形,周边不规则,后侧光滑,前侧毛糙,无毛刺,并有向心性缺口,直径为2cm,密度淡,CT值低且不均一,C+CT值又无增强现象,动态观察二个月无变化,结节病变周围支气管紊乱。以上特点均为良性病变的表现,良性病变中首先考虑为结核性,若为慢性炎症则周围病变应比较多,因其侵犯范围较广。若为腺癌,一般腺癌直径在2cm以上其CT值不应如此低。
徐建勋主任(上海市肺科医院):本例的诊断与鉴别诊断很有意义。1.缺乏典型的结核病症状(午后低热、盗汗等)而是39℃高热,咳嗽等肺部感染症状,且经抗菌治疗后症状缓解;2.病变位于左肺下叶外基底段,与结核的常见好发部位不相符;3.病变呈孤立性,直径约2cm,既无卫星灶,其中又无钙化灶;4.CT片示病灶的小空腔亦与结核球内干酪液化空洞不同,内壁是光整的。手术前诊断(包括外院):肺癌、良性肿瘤、球形炎症、结核灶。手术所见:打开胸腔后,胸膜腔内无积液,肺与胸膜无粘连,左肺下叶外基底段的局部胸膜轻度充血,无胸膜凹陷征,在其肺组织内可摸及一直径2.5cm的结节灶,边界光滑,质地稍硬,其周围可摸及0.8~1.2cm大小不一的散在结节灶,施行左肺下叶切除术。病理示左肺下叶多发性典型结核病变。
, 百拇医药
临 床 病 理 讨 论
图1 右肺第5、6后肋间散在浸润性病变,左肺第8、9后肋间可见直径约2.5cm椭圆形肿块。 图2 右肺清晰,左肺下部椭圆形肿块仍存在,大小无明显变化。 图3 左侧位胸片,第9胸椎高度部位可见浅淡的片状阴影。 图4 CT片:左外基底段有直径2cm块状阴影,后侧边缘较清晰,前侧边缘毛糙,密度均匀。
结核分枝杆菌rpsL基因PCR-RFLP结果(本文见第8页)。图A 琼脂糖凝胶电泳、EB染色结果;图B 聚丙烯酰胺凝胶电泳、银染色结果。1 DNA标准分子量PBR322-HaeⅢ,2~10分别为结核分枝杆菌分离株rpsL基因。PCR片段MboⅡ酶切前后的电泳结果:2,3,14,15 H37RV对照株;6,7,10,11 药物敏感株No1,3,4,5,8,9,16~19 SM耐药株No19,20,52,56;12,13 非SM耐药株No14。
(陈恒 整理)■, 百拇医药