定位转HCY-2基因诱发鸡胚神经管畸形的时间-效应关系研究
作者:李勇 李竹 张晨晖 陈星 孟昭亨 刘虹 赵智榕 李松
单位:北京医科大学中国妇婴保健中心,北京 100083
关键词:HYC-2基因;神经管畸形;胚胎;时间-效应关系
卫生研究\990422
摘要 本文旨在研究定位转新基因(HCY-2)与神经管畸形发生的时间-效应关系及可能的作用机理。采用脂质体介导基因转移技术将已构建的含有全长HCY-2 cDNA的真核表达载体定位转入不同发育时期的鸡胚(Hamburger-Hamilton 1、6和12期),培养后再用RT-PCR、免疫组化、扫描和透射电镜及光镜等技术探讨HCY-2基因在4天龄鸡胚中的表达、分布和致畸作用。结果在3个不同时期定位导入HCY-2基因后,均可诱导胚胎发生神经管畸形,以1天龄头侧微注射的胚胎最为敏感,神经管畸形发生率高达35.3%,呈明显时间-效应关系,其表现型是:脑膨出、无脑、脊柱裂和小头。转基因组胚胎能够表达HCY-2 mRNA和相应编码蛋白,主要分布于胚胎脑组织中。扫描和透射电镜下发现HCY-2基因能损伤细胞表面和内部的超微结构;在畸形部位还观察到大量的凋亡细胞。结论是,HYC-2基因可能是一种新的基因毒性因子,它在胚胎早期神经管畸形发生机制中起重要作用。
, http://www.100md.com
中图分类号 Q593.4 Q319.33
Time-effect relationship between the positional microinjection of
HCY-2 gene and the neural tube teratogenesis of chick embryos
Li Yong,Li Zhu,Zhang Chenhui,Chen Xing,et al.
National Center for Maternal and Infant Health Care of China,Beijing Medical University,Beijing 100083,China
The time-effect relationship between positional transfered novel gene(HCY-2)and neural tube teratogenesis,and their possible mechanisms were studied.An eukaryotic expressing vector which containing whole-length HCY-2 cDNA was microinjected into chick embryos in culture at days 0,1 and 2(≈Hamburger-Hamilton stages 1,6 and 12)mediated by lipofect AMINETM reagent.The techniques of RT-PCR,immunohistochemical staining,scanning electron microscope(SEM)and transmission electron microscope (TEM)were used to investigate the expression and distribution of HCY-2 mRNA with its coding product and dysmorphogenesis of the neural tube at 96h (≈stage 22). Neural tube defects (NTDs) were discovered in every transferred gene group, only the day 1 embryos which positional site injected was the area pellucida of head,however,the rate of NTDs was the highest (35.3%).There was an obvious time-effect relationship.The phenotypes of NTD were encephalocele,anencephaly,spina bifida and microcephaly.The embryos with transferred gene could express HCY-2 mRNA and its coding product,and the HCY-2 protein mainly distributed in embryonic brain cells as compared to controls.It was found that HCY-2 gene could result in abnormal ultrastructure at the surface and inside of cells under SEM and TEM. It has been observed apoptosis at the sites with NTDs. It is concluded that HCY-2 gene may be a new genotoxic factor,which plays an improtant role in the mechanisms of neural tube teratogenesis during the early developing statge of embryos.
, http://www.100md.com
Key words: HCY-2 gene,neural tube defects,embryo,time-effect relationship
神经管畸形(neural tube defects,NTDs)是影响我国和世界人口素质的常见和最严重的一组出生缺陷疾病,当代研究结果认为NTDs是环境因素和遗传因素相互作用致使胚胎和组织发育异常而引起的,但其确切病因和发生机理迄今尚不了解,最近研究发现同型半胱氨酸(homocysteine,HCY)在NTDs发生过程中扮演重要角色[1~4]。在已完成HCY致畸实验和新基因HCY-2克隆的基础上,本研究旨在探讨不同发育时空定位转全长HCY-2cDNA(2014bp)是否对早期神经管的发生产生不良影响及其时间-效应关系。
1 材料和方法
1.1 材料
, http://www.100md.com 1.1.1 主要试剂
总RNA提取试剂盒为QIAGEN公司产品;ABC试剂盒购自华美生物工程公司;转基因用的脂质体LipofectAMINETM为GIBCO公司产品;禽源反转录酶(MMLV)、Tag DNA聚合酶和dNTP购自Promega公司;其它实验所用试剂均为分析纯。
1.1.2 鸡胚
未经免疫的当天新生白色莱杭鸡种蛋购自北京家禽孵化实验场。立即消毒和入翻转培养箱进行培养。
1.2 方法
1.2.1 真核表达载体构建
HCY-2 cDNA是经差异显示法及3’和5’-RACE反应,由同型半胱氨酸诱导培养的平滑肌细胞中克隆出来的。然后将全长HCY-2 cDNA再克隆到真核表达载体pcD2中,形成pcD2/HCY-2重组质粒,-20℃冰箱保存待用。
, http://www.100md.com
1.2.2 HCY-2 cDNA与脂质体结合
取100μl LipofectFAMINETM原液加入无血清DMEM900μl中,重组质粒稀释于DMEM中,然后将二者混合,摇匀后室温作用30分钟备用。
1.2.3 定位定时基因转移实验分组
实验共设10组。转基因时间是0天(新生鸡卵)(相当于Hamburger和Hamilton[5]的孵育后第1期)、1天(第6期、头褶期)和2天(第12期)。在体视显微镜下观察和确定各注射位点后,对0天龄鸡胚行卵黄区(1和2组)微注射;1天龄鸡胚行头部明区(3和4组)和原窝原嵴结合区(5和6组)微注射;对2天龄鸡胚行中后脑外侧区(7和8组)和腰部(10~12体节处)背侧区(9和10组)微注射,各组微注射体积均为10μl。偶数组的HCY-2/pcD2/LipofectAMINETM/DMEM中DNA含量均为5μg/10μl;奇数组为空载质粒对照组。定位注射完毕用透明胶带封壳,入培养箱继续培养至第4天后收获胚胎。
, 百拇医药
1.2.4 胚胎总RNA制备
4天龄鸡胚16只(每只胚胎湿重15~20mg),按试剂盒说明书提取胚胎总RNA。总RNA提取完成后,分别用紫外分光光度计测定总RNA浓度,重复测试2次,A260/A280比值在1.7~2.0之间。
1.2.5 反转录-聚合酶链反应(RT-PCR)
取5μl胚胎总RNA,然后按反转录试剂盒说明进行反转录。取1μg反转录产物进行聚合酶链反应,HCY-2基因的引物由陈光慧博士惠赠,经PCR扩增后的目的片段长度为426bp。PCR反应条件是:94℃预变性7min,94℃变性40s,53℃退火40s,72℃延伸1min,共进行35个循环,最后一轮反应结束后,72℃继续延伸3min,以便反应完成彻底。
1.2.6 免疫组织化学
, 百拇医药
采用ABC法。制成的石蜡切片(5μm)经常规脱腊,3%H2O2封闭内源性过氧化物酶。一抗为本室自制的HCY-2多克隆抗体(1∶200);二抗为生物素标记的抗免IgG(1∶100)。DAB显色,封片后镜检有棕黄色者为阳性,阴性对照不加一抗。
1.2.7 胚胎电镜样品制备
①扫描电镜(SEM)标本制备:小心去除胚外膜(卵黄囊和羊膜)的胚胎用3%戊二醛固定,漂洗,锇酸后固定。醋酸异戊酯置换酒精后进行CO2临界点干燥,上样固定,离子镀金,SEM观察胚胎大体和表皮细胞的形态变化。②透射电镜(TEM)标本制备:戊二醛固定的4日龄胚胎脑组织经修块后行锇酸再固定和环氧树脂包埋,制成半薄切片,光镜观察后再制成超薄切片,铅-铀双染,TEM观察和记录胚脑细胞的超微结构变化。
1.2.8 病理检查
, 百拇医药
4日龄胚胎经10%甲醛固定,石蜡定位包埋,整体连续切片(5μm),常规脱腊,HE染色。光镜下观察胚胎组织结构的病理改变。
1.2.9 统计分析:
所得数据输入微机,进行χ2检验。
2 结果
2.1 转HCY-2基因对鸡早期胚胎神经系统发育的影响
2.1.1 脂质体、DMEM单独和空载质粒对早胚发育的影响
微注射后各组均未观察到NTDs,但有个别胚胎出现体位异常、小肢等畸形和发育迟缓,与未注射任何物质的正常胚胎相比较,无统计学意义,这说明本实验方法是可靠的,脂质体做为载体是可行的。
2.1.2 转HCY-2基因对早胚发育的影响
, http://www.100md.com
结果见表1,各转基因组4日龄鸡胚均有NTDs发生,主要表现为后脑膨出、无脑、脊柱裂和小头畸形;并以1天龄鸡胚的二个转基因位点最为敏感,NDTs发生率大于30%。进一步将差异无显著性的2个注射位点样本合并后分析,发现1天龄、2天龄NDTs发生率(33.3%和25.7%)均大于相应对照组(P<0.05);再与0天龄转基因组比较,仅1天龄与其之间有显著性差异(表2)。HCY-2基因诱发的其它畸形主要是心脏畸形、体位异常和小肢等。
表1 定时定位定量转HCY-2基因对早期鸡胚发育的影响 t/d
注射部位
HCY-2 cDNA
剂量(μg/胚胎)
活胚数
(只)
, 百拇医药
NTDs
其它畸形
发育迟缓
n
r/(%)
n
r(%)
n
r/(%)
0
卵黄区
0
38
, http://www.100md.com 0
0
2
5.3
3
7.9
卵黄区
5
21
2
9.5
1
4.8
4
, http://www.100md.com
19.0
1
头部明区
0
10
0
0
0
0
2
20.0
头部明区
5
17
, 百拇医药
6
35.3(1)
2
11.8
8
47.1
原窝原嵴区
0
11
0
0
1
9.1
, http://www.100md.com
2
18.2
原窝原嵴区
5
16
5
31.2(1)
3
18.7
7
43.8
2
中后脑外侧区
, http://www.100md.com
0
10
0
0
1
10.0
1
10.0
中后脑外侧区
5
16
4
25.0
3
, 百拇医药
18.7
6
37.5
腰区
0
10
0
0
0
0
1
10.0
腰区
5
, 百拇医药
19
5
26.3
3
15.8
8
42.11
注:(1)与相应对照组比较,P<0.05表2 不同时间转基因后NTDs发生率比较 t/d
活胚数
NTDs数
NTDs发生率(%)
0
, http://www.100md.com
21
2
9.5
1
33
11
33.3(1)
2
35
9
25.7
注:(1)与0天龄组比较,P<0.05
2.2 转HCY-2cDNA后的RT-PCR检测结果
, 百拇医药
对从不同组4日龄鸡胚中所提取的总RNA进行琼脂糖凝胶电泳,可见清晰的28S和18S RNA条带,表明所提取的总RNA是完整的。以总RNA为模板反转录后进行PCR反应,得到一大约长度为426bp的特异性电泳条带,和其它各组(包括:HCY-2/pcD2/DMEM,pcD2/LipofectAMINETM/DMEM;dH2O;LipofectAMINETE/DMEM)比较,以HCY-2/pcD2/LipofectAMINETM/DMEM组的HCY-2mRNA表达水平最高。
2.3 胚胎脑细胞HCY-2蛋白的表达
免疫组化结果显示,HCY-2蛋白在转基因胚胎脑细胞中呈强阳性表达,均定位于细胞质中;空载质粒对照组HCY-2蛋白阳性细胞基本不可见(图1和图2)。
, 百拇医药
图1 第3组,胚脑HCY-2蛋白表达阴性,ABC法×100
图2 第4组,胚后脑部HCY-2蛋白表达阳性,ABC法×100
2.4 形态改变
2.4.1 光镜观察
与空载质粒对照组比较,可见转基因组的鸡胚脑室管壁厚度变薄、结构排列紊乱和一些脱落或变性的脑细胞,微小血管数量减少,还可见散在分布的胞核已固缩的凋亡细胞。
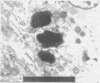
2.4.2 扫描电镜观察
与对照组比较,在转基因组中可见明显的大体形态异常(图3和图4);还可见胚脑细胞表面微绒毛变短和数量减少,胞膜表面粗糙或异常肿胀,有的胞膜甚至出现大小不一的空洞样变。
, http://www.100md.com
图3 第5组,脊柱发育正常,扫描电镜
图4 第6组,典型脊柱裂,扫描电镜
2.4.3 透射电镜观察
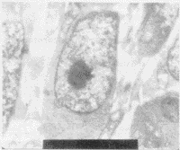
空载质粒对照组胚脑细胞超微结构正常,未观察到凋亡细胞。转基因组可见脑细胞间缝隙连接减少,细胞形态变异,电子密度增高;溶酶体和空泡增多,线粒体肿胀或固缩,内质网和高尔基体亦有不同程度肿胀,核糖体不丰富;细胞核形态不规则,出现切迹;核内异染色质增多,浓缩成团块状和边缘化,核仁分裂。观察到凋亡细胞(图5和图6)。
图5 第3组,正常脑细胞,透射电镜,×10000
, 百拇医药
图6 第4组,胚脑细胞凋亡,透射电镜,×10000
3 讨论
尽管目前对胚胎神经系统发育和分化调控的分子机理离完全理解相距尚远,但从国际研究的现状来看,对一些基因在胚胎发育过程中的作用已有重大突破[6、7]。本实验用脂质体介导基因转移法将全长HCY-2 cDNA微注射入不同发育阶段的早期鸡胚的不同位点,结果发现在1天龄和2天龄鸡胚定位转HCY-2基因后,可诱发NTDs,与相应空载质粒对照组比较存在显著性差异,而且1天龄鸡胚转基因组NTDs发生率可显著高于0天龄转基因组(表2),这就说明新基因HCY-2具有一定的基因毒性(genotoxin),与NTDs表型关系密切。还揭示处于不同发育阶段的胚胎对HCY-2基因的敏感性完全不同,从而反映出不同的时间-效应关系。在0天龄鸡胚转基因组,尽管也出现了NTDs表型,但和对照组比较无显著性差异,其原因可能:(1)鸡胚发育时间段不属畸形敏感期,因为此期胚胎细胞尚未决定和分化,它仍有分化成胚胎各类细胞的潜力;(2)新基因用量相对较小,可能仅使少量细胞受损或死亡,而大多数活细胞经过代偿,仍可正常发育。
, http://www.100md.com
RT-PCR和免疫组织化学结果说明转HCY-2 cDNA后,不但在发育至4天龄鸡胚体内转录出mRNA,而且还翻译出相应产物HCY-2蛋白,其表达和分布以脑神经细胞为主,而对照组基本无HCY-2蛋白表达。这就提示:HCY-2蛋白与鸡胚的NTDs发生关系密切,它可能导致神经前体细胞的内在生物钟控制功能紊乱,结果使胚胎细胞无法进行正常有序的增殖、分化、迁移和组合。
通过胚胎大体和超微结构的观察发现HCY-2基因诱发畸形出现的部位和表现型与胚胎细胞受损、死亡的位点及程度相关。一般来说,细胞死亡和受损是胚胎组织细胞修复生长的必备先决条件和始发活动,而且活细胞的有丝分裂活动也最旺盛[8]。然而,如果在器官形成期脑中各类细胞的修复不能高度协调有序进行,使亲代规定的脑格局化紊乱,则会造成NTDs。因此,格局化过程为特定细胞类型的发生提供基本拓扑图,格局化还在决定适当联系型的发育方面起关键作用[9]。
* 国家自然科学基金(基金编号:39870697和39870845)和卫生部基金资助(基金编号:98-2-231)
, 百拇医药
作者简介:李勇,男,博士,副研究员达能营养中心
参考文献
1.Mills JL,Scott JM,Kirke PN,et al.Homocysteine and neural tube defects.J Nutr,1996,126:756s—760s
2.Fieming A,Copp AJ.Embryonic folate metabolism and mouse neural tube defects.Science,1998,280:2107—2109
3.Ramsbottom D,Scott JM,Molloy A,et al.Are common mutations of cystathionine beta-synthase involved in the actiology of neural tube defects?Clin Genet,1997,51:39—42
, http://www.100md.com
4.李勇,李竹,陈星,等.同型半胱氨酸诱发鸡胚神经管畸形及叶酸的保护作用.卫生研究,1998,27:372—376
5.Hamburger V,Hamilton HL.A series of normal stages in the development of the chick embryo.J Morphol,1951,38:49—92
6.Harris MJ,Juriloff DM.Genetic landmarks for defects in mouse neural tube closure.Teratology,1997,56:177—187
7.Winter RM.Analysing human developmental abnormalities. BioEssays,1996,18:965—971
8.Browder LW,Erickson CA,Jeffery WR.Developmental Biology.3rd Ed.Orlando:Saunders College Publishing,1991,577—754
9.陈宜张主编.分子神经生物学.北京:人民军医出版社,1995,267—291
1999-02-10收稿, 百拇医药
单位:北京医科大学中国妇婴保健中心,北京 100083
关键词:HYC-2基因;神经管畸形;胚胎;时间-效应关系
卫生研究\990422
摘要 本文旨在研究定位转新基因(HCY-2)与神经管畸形发生的时间-效应关系及可能的作用机理。采用脂质体介导基因转移技术将已构建的含有全长HCY-2 cDNA的真核表达载体定位转入不同发育时期的鸡胚(Hamburger-Hamilton 1、6和12期),培养后再用RT-PCR、免疫组化、扫描和透射电镜及光镜等技术探讨HCY-2基因在4天龄鸡胚中的表达、分布和致畸作用。结果在3个不同时期定位导入HCY-2基因后,均可诱导胚胎发生神经管畸形,以1天龄头侧微注射的胚胎最为敏感,神经管畸形发生率高达35.3%,呈明显时间-效应关系,其表现型是:脑膨出、无脑、脊柱裂和小头。转基因组胚胎能够表达HCY-2 mRNA和相应编码蛋白,主要分布于胚胎脑组织中。扫描和透射电镜下发现HCY-2基因能损伤细胞表面和内部的超微结构;在畸形部位还观察到大量的凋亡细胞。结论是,HYC-2基因可能是一种新的基因毒性因子,它在胚胎早期神经管畸形发生机制中起重要作用。
, http://www.100md.com
中图分类号 Q593.4 Q319.33
Time-effect relationship between the positional microinjection of
HCY-2 gene and the neural tube teratogenesis of chick embryos
Li Yong,Li Zhu,Zhang Chenhui,Chen Xing,et al.
National Center for Maternal and Infant Health Care of China,Beijing Medical University,Beijing 100083,China
The time-effect relationship between positional transfered novel gene(HCY-2)and neural tube teratogenesis,and their possible mechanisms were studied.An eukaryotic expressing vector which containing whole-length HCY-2 cDNA was microinjected into chick embryos in culture at days 0,1 and 2(≈Hamburger-Hamilton stages 1,6 and 12)mediated by lipofect AMINETM reagent.The techniques of RT-PCR,immunohistochemical staining,scanning electron microscope(SEM)and transmission electron microscope (TEM)were used to investigate the expression and distribution of HCY-2 mRNA with its coding product and dysmorphogenesis of the neural tube at 96h (≈stage 22). Neural tube defects (NTDs) were discovered in every transferred gene group, only the day 1 embryos which positional site injected was the area pellucida of head,however,the rate of NTDs was the highest (35.3%).There was an obvious time-effect relationship.The phenotypes of NTD were encephalocele,anencephaly,spina bifida and microcephaly.The embryos with transferred gene could express HCY-2 mRNA and its coding product,and the HCY-2 protein mainly distributed in embryonic brain cells as compared to controls.It was found that HCY-2 gene could result in abnormal ultrastructure at the surface and inside of cells under SEM and TEM. It has been observed apoptosis at the sites with NTDs. It is concluded that HCY-2 gene may be a new genotoxic factor,which plays an improtant role in the mechanisms of neural tube teratogenesis during the early developing statge of embryos.
, http://www.100md.com
Key words: HCY-2 gene,neural tube defects,embryo,time-effect relationship
神经管畸形(neural tube defects,NTDs)是影响我国和世界人口素质的常见和最严重的一组出生缺陷疾病,当代研究结果认为NTDs是环境因素和遗传因素相互作用致使胚胎和组织发育异常而引起的,但其确切病因和发生机理迄今尚不了解,最近研究发现同型半胱氨酸(homocysteine,HCY)在NTDs发生过程中扮演重要角色[1~4]。在已完成HCY致畸实验和新基因HCY-2克隆的基础上,本研究旨在探讨不同发育时空定位转全长HCY-2cDNA(2014bp)是否对早期神经管的发生产生不良影响及其时间-效应关系。
1 材料和方法
1.1 材料
, http://www.100md.com 1.1.1 主要试剂
总RNA提取试剂盒为QIAGEN公司产品;ABC试剂盒购自华美生物工程公司;转基因用的脂质体LipofectAMINETM为GIBCO公司产品;禽源反转录酶(MMLV)、Tag DNA聚合酶和dNTP购自Promega公司;其它实验所用试剂均为分析纯。
1.1.2 鸡胚
未经免疫的当天新生白色莱杭鸡种蛋购自北京家禽孵化实验场。立即消毒和入翻转培养箱进行培养。
1.2 方法
1.2.1 真核表达载体构建
HCY-2 cDNA是经差异显示法及3’和5’-RACE反应,由同型半胱氨酸诱导培养的平滑肌细胞中克隆出来的。然后将全长HCY-2 cDNA再克隆到真核表达载体pcD2中,形成pcD2/HCY-2重组质粒,-20℃冰箱保存待用。
, http://www.100md.com
1.2.2 HCY-2 cDNA与脂质体结合
取100μl LipofectFAMINETM原液加入无血清DMEM900μl中,重组质粒稀释于DMEM中,然后将二者混合,摇匀后室温作用30分钟备用。
1.2.3 定位定时基因转移实验分组
实验共设10组。转基因时间是0天(新生鸡卵)(相当于Hamburger和Hamilton[5]的孵育后第1期)、1天(第6期、头褶期)和2天(第12期)。在体视显微镜下观察和确定各注射位点后,对0天龄鸡胚行卵黄区(1和2组)微注射;1天龄鸡胚行头部明区(3和4组)和原窝原嵴结合区(5和6组)微注射;对2天龄鸡胚行中后脑外侧区(7和8组)和腰部(10~12体节处)背侧区(9和10组)微注射,各组微注射体积均为10μl。偶数组的HCY-2/pcD2/LipofectAMINETM/DMEM中DNA含量均为5μg/10μl;奇数组为空载质粒对照组。定位注射完毕用透明胶带封壳,入培养箱继续培养至第4天后收获胚胎。
, 百拇医药
1.2.4 胚胎总RNA制备
4天龄鸡胚16只(每只胚胎湿重15~20mg),按试剂盒说明书提取胚胎总RNA。总RNA提取完成后,分别用紫外分光光度计测定总RNA浓度,重复测试2次,A260/A280比值在1.7~2.0之间。
1.2.5 反转录-聚合酶链反应(RT-PCR)
取5μl胚胎总RNA,然后按反转录试剂盒说明进行反转录。取1μg反转录产物进行聚合酶链反应,HCY-2基因的引物由陈光慧博士惠赠,经PCR扩增后的目的片段长度为426bp。PCR反应条件是:94℃预变性7min,94℃变性40s,53℃退火40s,72℃延伸1min,共进行35个循环,最后一轮反应结束后,72℃继续延伸3min,以便反应完成彻底。
1.2.6 免疫组织化学
, 百拇医药
采用ABC法。制成的石蜡切片(5μm)经常规脱腊,3%H2O2封闭内源性过氧化物酶。一抗为本室自制的HCY-2多克隆抗体(1∶200);二抗为生物素标记的抗免IgG(1∶100)。DAB显色,封片后镜检有棕黄色者为阳性,阴性对照不加一抗。
1.2.7 胚胎电镜样品制备
①扫描电镜(SEM)标本制备:小心去除胚外膜(卵黄囊和羊膜)的胚胎用3%戊二醛固定,漂洗,锇酸后固定。醋酸异戊酯置换酒精后进行CO2临界点干燥,上样固定,离子镀金,SEM观察胚胎大体和表皮细胞的形态变化。②透射电镜(TEM)标本制备:戊二醛固定的4日龄胚胎脑组织经修块后行锇酸再固定和环氧树脂包埋,制成半薄切片,光镜观察后再制成超薄切片,铅-铀双染,TEM观察和记录胚脑细胞的超微结构变化。
1.2.8 病理检查
, 百拇医药
4日龄胚胎经10%甲醛固定,石蜡定位包埋,整体连续切片(5μm),常规脱腊,HE染色。光镜下观察胚胎组织结构的病理改变。
1.2.9 统计分析:
所得数据输入微机,进行χ2检验。
2 结果
2.1 转HCY-2基因对鸡早期胚胎神经系统发育的影响
2.1.1 脂质体、DMEM单独和空载质粒对早胚发育的影响
微注射后各组均未观察到NTDs,但有个别胚胎出现体位异常、小肢等畸形和发育迟缓,与未注射任何物质的正常胚胎相比较,无统计学意义,这说明本实验方法是可靠的,脂质体做为载体是可行的。
2.1.2 转HCY-2基因对早胚发育的影响
, http://www.100md.com
结果见表1,各转基因组4日龄鸡胚均有NTDs发生,主要表现为后脑膨出、无脑、脊柱裂和小头畸形;并以1天龄鸡胚的二个转基因位点最为敏感,NDTs发生率大于30%。进一步将差异无显著性的2个注射位点样本合并后分析,发现1天龄、2天龄NDTs发生率(33.3%和25.7%)均大于相应对照组(P<0.05);再与0天龄转基因组比较,仅1天龄与其之间有显著性差异(表2)。HCY-2基因诱发的其它畸形主要是心脏畸形、体位异常和小肢等。
表1 定时定位定量转HCY-2基因对早期鸡胚发育的影响 t/d
注射部位
HCY-2 cDNA
剂量(μg/胚胎)
活胚数
(只)
, 百拇医药
NTDs
其它畸形
发育迟缓
n
r/(%)
n
r(%)
n
r/(%)
0
卵黄区
0
38
, http://www.100md.com 0
0
2
5.3
3
7.9
卵黄区
5
21
2
9.5
1
4.8
4
, http://www.100md.com
19.0
1
头部明区
0
10
0
0
0
0
2
20.0
头部明区
5
17
, 百拇医药
6
35.3(1)
2
11.8
8
47.1
原窝原嵴区
0
11
0
0
1
9.1
, http://www.100md.com
2
18.2
原窝原嵴区
5
16
5
31.2(1)
3
18.7
7
43.8
2
中后脑外侧区
, http://www.100md.com
0
10
0
0
1
10.0
1
10.0
中后脑外侧区
5
16
4
25.0
3
, 百拇医药
18.7
6
37.5
腰区
0
10
0
0
0
0
1
10.0
腰区
5
, 百拇医药
19
5
26.3
3
15.8
8
42.11
注:(1)与相应对照组比较,P<0.05表2 不同时间转基因后NTDs发生率比较 t/d
活胚数
NTDs数
NTDs发生率(%)
0
, http://www.100md.com
21
2
9.5
1
33
11
33.3(1)
2
35
9
25.7
注:(1)与0天龄组比较,P<0.05
2.2 转HCY-2cDNA后的RT-PCR检测结果
, 百拇医药
对从不同组4日龄鸡胚中所提取的总RNA进行琼脂糖凝胶电泳,可见清晰的28S和18S RNA条带,表明所提取的总RNA是完整的。以总RNA为模板反转录后进行PCR反应,得到一大约长度为426bp的特异性电泳条带,和其它各组(包括:HCY-2/pcD2/DMEM,pcD2/LipofectAMINETM/DMEM;dH2O;LipofectAMINETE/DMEM)比较,以HCY-2/pcD2/LipofectAMINETM/DMEM组的HCY-2mRNA表达水平最高。
2.3 胚胎脑细胞HCY-2蛋白的表达
免疫组化结果显示,HCY-2蛋白在转基因胚胎脑细胞中呈强阳性表达,均定位于细胞质中;空载质粒对照组HCY-2蛋白阳性细胞基本不可见(图1和图2)。
, 百拇医药
图1 第3组,胚脑HCY-2蛋白表达阴性,ABC法×100
图2 第4组,胚后脑部HCY-2蛋白表达阳性,ABC法×100
2.4 形态改变
2.4.1 光镜观察
与空载质粒对照组比较,可见转基因组的鸡胚脑室管壁厚度变薄、结构排列紊乱和一些脱落或变性的脑细胞,微小血管数量减少,还可见散在分布的胞核已固缩的凋亡细胞。
2.4.2 扫描电镜观察
与对照组比较,在转基因组中可见明显的大体形态异常(图3和图4);还可见胚脑细胞表面微绒毛变短和数量减少,胞膜表面粗糙或异常肿胀,有的胞膜甚至出现大小不一的空洞样变。
, http://www.100md.com
图3 第5组,脊柱发育正常,扫描电镜
图4 第6组,典型脊柱裂,扫描电镜
2.4.3 透射电镜观察
空载质粒对照组胚脑细胞超微结构正常,未观察到凋亡细胞。转基因组可见脑细胞间缝隙连接减少,细胞形态变异,电子密度增高;溶酶体和空泡增多,线粒体肿胀或固缩,内质网和高尔基体亦有不同程度肿胀,核糖体不丰富;细胞核形态不规则,出现切迹;核内异染色质增多,浓缩成团块状和边缘化,核仁分裂。观察到凋亡细胞(图5和图6)。
图5 第3组,正常脑细胞,透射电镜,×10000
, 百拇医药
图6 第4组,胚脑细胞凋亡,透射电镜,×10000
3 讨论
尽管目前对胚胎神经系统发育和分化调控的分子机理离完全理解相距尚远,但从国际研究的现状来看,对一些基因在胚胎发育过程中的作用已有重大突破[6、7]。本实验用脂质体介导基因转移法将全长HCY-2 cDNA微注射入不同发育阶段的早期鸡胚的不同位点,结果发现在1天龄和2天龄鸡胚定位转HCY-2基因后,可诱发NTDs,与相应空载质粒对照组比较存在显著性差异,而且1天龄鸡胚转基因组NTDs发生率可显著高于0天龄转基因组(表2),这就说明新基因HCY-2具有一定的基因毒性(genotoxin),与NTDs表型关系密切。还揭示处于不同发育阶段的胚胎对HCY-2基因的敏感性完全不同,从而反映出不同的时间-效应关系。在0天龄鸡胚转基因组,尽管也出现了NTDs表型,但和对照组比较无显著性差异,其原因可能:(1)鸡胚发育时间段不属畸形敏感期,因为此期胚胎细胞尚未决定和分化,它仍有分化成胚胎各类细胞的潜力;(2)新基因用量相对较小,可能仅使少量细胞受损或死亡,而大多数活细胞经过代偿,仍可正常发育。
, http://www.100md.com
RT-PCR和免疫组织化学结果说明转HCY-2 cDNA后,不但在发育至4天龄鸡胚体内转录出mRNA,而且还翻译出相应产物HCY-2蛋白,其表达和分布以脑神经细胞为主,而对照组基本无HCY-2蛋白表达。这就提示:HCY-2蛋白与鸡胚的NTDs发生关系密切,它可能导致神经前体细胞的内在生物钟控制功能紊乱,结果使胚胎细胞无法进行正常有序的增殖、分化、迁移和组合。
通过胚胎大体和超微结构的观察发现HCY-2基因诱发畸形出现的部位和表现型与胚胎细胞受损、死亡的位点及程度相关。一般来说,细胞死亡和受损是胚胎组织细胞修复生长的必备先决条件和始发活动,而且活细胞的有丝分裂活动也最旺盛[8]。然而,如果在器官形成期脑中各类细胞的修复不能高度协调有序进行,使亲代规定的脑格局化紊乱,则会造成NTDs。因此,格局化过程为特定细胞类型的发生提供基本拓扑图,格局化还在决定适当联系型的发育方面起关键作用[9]。
* 国家自然科学基金(基金编号:39870697和39870845)和卫生部基金资助(基金编号:98-2-231)
, 百拇医药
作者简介:李勇,男,博士,副研究员达能营养中心
参考文献
1.Mills JL,Scott JM,Kirke PN,et al.Homocysteine and neural tube defects.J Nutr,1996,126:756s—760s
2.Fieming A,Copp AJ.Embryonic folate metabolism and mouse neural tube defects.Science,1998,280:2107—2109
3.Ramsbottom D,Scott JM,Molloy A,et al.Are common mutations of cystathionine beta-synthase involved in the actiology of neural tube defects?Clin Genet,1997,51:39—42
, http://www.100md.com
4.李勇,李竹,陈星,等.同型半胱氨酸诱发鸡胚神经管畸形及叶酸的保护作用.卫生研究,1998,27:372—376
5.Hamburger V,Hamilton HL.A series of normal stages in the development of the chick embryo.J Morphol,1951,38:49—92
6.Harris MJ,Juriloff DM.Genetic landmarks for defects in mouse neural tube closure.Teratology,1997,56:177—187
7.Winter RM.Analysing human developmental abnormalities. BioEssays,1996,18:965—971
8.Browder LW,Erickson CA,Jeffery WR.Developmental Biology.3rd Ed.Orlando:Saunders College Publishing,1991,577—754
9.陈宜张主编.分子神经生物学.北京:人民军医出版社,1995,267—291
1999-02-10收稿, 百拇医药