肥厚型心肌病的磁共振影像诊断应用初探
作者:梁波 孔祥泉 江利 刘定西 常时新 熊茵 肖学宏
单位:梁波(430022 武汉,同济医科大学附属协和医院放射科);孔祥泉(430022 武汉,同济医科大学附属协和医院放射科);江利(430022 武汉,同济医科大学附属协和医院放射科);刘定西(430022 武汉,同济医科大学附属协和医院放射科);常时新(430022 武汉,同济医科大学附属协和医院放射科)
关键词:肥厚型心肌病;磁共振成像
临床放射学杂志000707 【摘要】 目的 评价肥厚型心肌病的磁共振影像诊断价值。 材料与方法 20例肥厚型心肌病患者,行磁共振TSE多层面平扫和磁共振电影(cine-MRI)检查,用ARGUS专用心功能分析软件分析左室心肌质量、各节段心壁厚度及心肌增厚率等参数。 结果 (1)肥厚型心肌病主要累及室间隔及左室前、侧壁,呈非对称分布。肥厚心肌与左室后下壁比率≥1.5。 (2)肥厚心肌的心肌增厚率显著低于正常心肌(P<0.01)。 (3)梗阻型左室流出道狭窄明显,左心射血时限延长。 结论 磁共振成像能全面了解心脏形态及功能异常,具有重要的临床应用价值。
, http://www.100md.com
Preliminary Investigation on the Applied Value of MRI in Hypertrophic Cardiomyopathy
LIANG Bo, KONG Xiangquan, JIANG Li,et al. Department of Radiology, The Affiliated Union Hospital, Tongji Medical University, Wuhan, Hubei Province 430022, P.R.China
【Abstract】 Objective To evaluate MRI in diagnosing hypertrophic cardiomyopathy. Materials and Methods TSE-T1WI and cine MRI were performed in 20 patients with hypertrophic cardiomyopathy, some indexes for evaluating cardiac function were measured by using ARGUS auto-quantitative program. Results (1) The anterior and lateral wall of the left ventricle, and the interventricular septum were often asymmetrically thickened. The ratio between the thickness of the hypertrophic cardiac muscle and that of the postero-inferior wall of the left ventricle was 1.5 or more. (2) The thickening rate of the hypertrophic cardiac muscle was significantely lower than that of the healthy cardiac muscle at end systole (P<0.01). (3) The left ventricular outflow tract was narrowed in cases with obstructive hypertrophic cardiomyopathy. Conclusion Cardiac MRI can fully demonstrate the morphologic and functional abnormalities, thus, it is of great value in clinical application.
, 百拇医药
【Key words】 Hypertrophic cardiomyopathy MRI
通过磁共振影像观察,研究肥厚型心肌病(hypertrophic cardiomyopathy,HCM)的形态学特点,分析心功能异常,评价磁共振成像对HCM的诊断价值。
1 材料与方法
本组20例肥厚型心肌病患者(梗阻型14例,非梗阻型6例),其中男16例,女4例。年龄16~52岁,平均40±7.3岁。主要临床症状:劳累后胸闷、气短,4例偶有晕厥症状。辅助检查:心脏B超和心电图检查。
使用德国Siemens 1.5T磁共振扫描仪,体部表面阵列线圈,采用胸前导联心电门控触发技术。扫描序列:快速自旋回波(TSE)脉冲序列T1WI、T2WI平扫,采集时相为R波触发后50ms,所获取图像相当于心脏收缩早期时相;快速梯度回波(GRE)脉冲序列,单层多帧快速连续采集,将所获图像连接成袢播放形成动态影像Cine-MRI。常规取轴位、冠状位和心长轴四腔位。Cine-MRI取垂直于心室间隔的短轴位。扫描层厚6~8mm。
, 百拇医药
图像分析: (1)根据磁共振平扫初步评价心脏形态并对病变大致分型。 (2)电影资料的动态分析(左心室):①心壁分区:自心底向心尖层面连续切层扫描5~8层,以心长轴为中心放射状将左室前、侧、后壁和室间隔分为8~12段,共约(5~8)×(8~12)=40~96个节段(图1)。②自动勾画心内外缘(ARGUS分析软件),手动修正。③启动ARGUS自动分析,主要内容包括:各节段心壁的准确厚度(舒张期~收缩期)、各节段心肌的增厚率、心肌质量(左室)、心长轴位或轴位测量心室流出道。
数据分析: 对ARGUS自动测出的数据分类分析,分析心肌肥厚情况。对照正常参考资料,结果进行统计学处理。
2 结果
诊断分型:非匀称型肥厚型心肌病15例(75%),心尖肥厚型4例(20%),均匀肥厚型1例(5%)。
肥厚型心肌病患者的心肌质量普遍增加,心肌肥厚主要累及左心室,以室间隔和左室前壁为主,多为非匀称性,肥厚显著者常伴有心室流出道的梗阻(16例),心室后壁不易受累。与正常心肌相比,肥厚部位心肌的增厚率下降,程度与心肌肥厚成反比(附表)。
, 百拇医药
附表 各类型肥厚型心肌病左室壁心肌厚度及心肌增厚
率与正常参考值比较(舒张末期)
非匀称型
心尖肥厚型
正常[1~3]
心肌质量(g)
316.5±141.05*
157.5±57.37
145.2±23.1
室间隔厚度(cm)
2.79±0.56*
, http://www.100md.com
1.3±0.27
1.04±2.7
前壁厚度(cm)
2.43±0.75*
1.28±0.22
1.08±0.14
后壁厚度(cm)
1.03±0.1
0.9±0.14
1.09±0.30
心尖厚度(cm)
, 百拇医药 0.36±0.6
2.05±0.31*
0.96±0.15
室间隔/后壁
2.74±0.6*
1.4±0.2
1.05±0.24
心尖/后壁
1.6±0.60
2.2±0.2*
1.0±0.2
, http://www.100md.com
心肌增厚率(%)
22.1±8.9*
52.8±6.6
73.0±18.0
* P<0.05
伴有血流动力学梗阻者左室流出道不同程度狭窄,于四腔位测量主动脉瓣下流出道前后径舒张末期平均宽度为1.3±0.4cm,无流出道梗阻者(心尖肥厚型)舒张末期平均宽度为2.0±0.1cm。前者长轴四腔位磁共振电影上可见左室收缩时,室间隔肥厚心肌凸向心室面,二尖瓣前叶向前移,并可见由于狭窄导致高速射血而出现的“涡流”征。
3 讨论
本病以心室壁异常肥厚为特点,主要累及左室,其典型表现为心肌质量增加,心肌呈非匀称性或局限性肥厚,心肌细胞异常肥大,且排列紊乱,常伴有间质纤维增生,但左室后下壁常不累及。
, 百拇医药
本病可见于任何年龄,男性多于女性,一般起病较缓慢,发病年龄越小,病情越重,其临床表现及预后取决于心肌肥厚的部位、程度,以及因此而可能造成的心室流出道梗阻[1~8]。
3.1 形态学分析
利用ARGUS心功能自动分析软件描绘各节段性心肌厚度直观灰阶对比示意图,即所谓“牛眼”图(图2)。结果显示:室间隔和左室前壁不匀称性肥厚显著,测量平均舒张末期厚度分别为2.79±0.56cm、2.43±0.75cm(P<0.05),部分游离壁如心前侧壁、心尖部常常受累。Maron[4]利用心脏B超将位于二尖瓣水平的心脏断面分为前室间隔、后室间隔、左室前壁、侧壁和后壁5个部分,根据各部位肥厚情况,将肥厚型心肌病分为4型,即前室间隔肥厚型(Ⅰ型),前、后室间隔肥厚型(Ⅱ型),室间隔和左室前、侧壁肥厚型(Ⅲ型),后室间隔和左室前、侧壁肥厚型(Ⅳ型),以Ⅲ、Ⅳ型为主,占68%。本组统计20例中,以室间隔和左室壁肥厚为主占16例(80%),与Maron统计结果基本一致。
, http://www.100md.com
心尖局限性肥厚较为少见,首先由日本学者报道,心电图检查表现为异常Q波、ST-T段及T波改变。右前斜位左心室造影舒张末期呈“桃形心”改变。本组共4例(20%),2例心尖肥厚型心肌病心电图改变显著,但心脏B超未见异常,多角度磁共振平扫及电影均能显示心尖局限肥厚的程度及范围和心腔形态的改变,对明确诊断具有特征性(图3)。与梗阻型肥厚型心肌病相比,心尖肥厚型心肌肥厚程度较轻(2.05±0.31cm),且无左室流出道梗阻。
图1 以心腔为中心,于短轴位将左室各壁放射状分为8~12等份
图2 牛眼图。由5~8层同心圆组成,分别表示自心尖到心底的连续心室切层,被8~12条线划分为40~96个扇区
, 百拇医药
图3 心尖肥厚型心肌病横轴位T1WI示前室间隔及心尖局限性肥厚,左室腔呈桃形

图4、5 非匀称型肥厚型心肌病长轴位电影,图4为舒张期,图5为收缩期,可见二尖瓣前叶向室间隔移动(箭头)
各型左室后壁均未见增厚,平均为1.04±0.2cm。与正常心肌和同时相左室后壁厚度相比,非匀称型室间隔/后壁比值平均为2.74±0.6,心尖型心尖/后壁比值为2.2±0.2。与正常参考值相比均存在显著差异(P<0.05)。有学者认为,舒张末期肥厚部分心壁厚度的绝对值≥15mm以及其与左室后壁同期厚度比值≥1.5对诊断有定性价值[5]。笔者的统计结果与上述观点一致。
HCM心肌不同程度肥厚、心肌质量增加,但肥厚部分心肌增厚率却下降。根据Richard等[1]统计资料显示,正常心肌各部位平均增厚率约为70%。笔者统计的肥厚心肌病的心肌增厚率均低于正常值,一般低于50%,其中非匀称型肥厚型心肌病患者的心肌增厚率显著低于心尖肥厚型和正常组(P<0.01)。与正常组相比,心尖肥厚型心肌病心肌增厚率虽低于正常组,但两者差异不显著(P>0.05)。提示肥厚较为明显者心肌增厚率下降显著,其下降程度随心肌肥厚程度减轻而减弱,两者呈反比例关系。
, http://www.100md.com
3.2 流出道梗阻
室间隔的不均匀性肥厚,其肥厚心肌可突向心室腔造成心室流出道狭窄。观察左室流出道,以横轴位和平行于室间隔心脏长轴四腔位为宜。
测量主动脉瓣下舒张末期左室流出道前后径宽度,结果显示:非匀称型心肌肥厚者左室流出道(1.3±0.4cm)显著窄于心尖肥厚者(2.0±0.1cm)(P<0.05)。后者常常不伴有流出道的梗阻。
流出道狭窄时四腔位动态电影显示:左室收缩时室间隔轻度增厚,二尖瓣前叶向前移位,室间隔左室面与二尖瓣前叶之间形成一条狭窄通道,并可见由于狭窄和高速射血产生的血流信号丢失导致的“涡流”征象(turbulent flow)(图4、5)。可见由于流出道狭窄、二尖瓣前移造成二尖瓣关闭时对位不良,二尖瓣口在左室收缩期可见二尖瓣轻度返流征象,并见左房轻度扩大。
一般认为左室流出道狭窄是由于左室收缩时高速血流使二尖瓣前叶两面压力差带动二尖瓣前移,进而使流出道变窄。同时,左室收缩时不匀称肥厚的室间隔左室面收缩增厚,局部凸向流出道而加重流出道的狭窄,但前者是主要原因[6]。
, 百拇医药
磁共振心脏检查具有大视野、任意切面、图像清晰、直观等特点,尤其显示局限肥厚和心尖肥厚较敏感和准确,有利于分型诊断。从实践中笔者体会到,肥厚型心肌病的诊断应是全面的,不仅从形态,还应从功能上全面分析,Cine-MRI图像显示心壁与心池界面较平扫更清晰,能直观、准确的显示各型心肌肥厚情况,还可动态了解心脏各心壁活动情况,是诊断肥厚性心肌病的一种理想方法。
与心脏B超比较,其缺点是操作不如后者方便,成像时间较长且不能实时成像。与心导管检查相比,前者无法测量跨瓣梯度压和心壁压力的变化。磁共振心脏影像学检查可作为常规心脏超声检查的进一步补充手段。
熊茵(430022 武汉,同济医科大学附属协和医院放射科)
肖学宏(430022 武汉,同济医科大学附属协和医院放射科)
参考文献
, 百拇医药
1,Richard CS, Ernesto T, Stefan W,et al. Normal left ventricular dimensions and function: Interdtudy reproducibility of measurements with cine MR imaging. Radiology, 1990, 174:763
2,谢道海,丁乙,陈学仁,等.电影磁共振对正常人左心功能的测定.中华放射学杂志, 1994, 28:444
3,Jae HP, Yang MK, Jin WC,et al. MR imaging of hypertrophic cardiomyopathy. Radiology, 1992, 185:441
4,Maron BJ. Echocardiographic assessment of left ventricular hypertrophy in patients with obstructive or nonobstructive hypertrophic cardiomyopathy. Eur Heart J, 1983, 4:73
, 百拇医药
5,李坤成,主编.心血管磁共振成像诊断学.北京:人民卫生出版社, 1997, 97
6,Dong SJ, Macgregor JH, Crawley AP,et al. Left ventricular wall thickness and regional systolic function in patients with hypertrophic cardiomyopathy. Circulation, 1994, 90:1200
7,庞志显,李坤成,刘苏英,等.肥厚型心肌病的磁共振成像研究.中华放射学杂志, 1995, 29:672
8,Jae HP, Yang MK, Jin WC,et al. MR imaging of hypertrophic cardiomyopathy. Radiology, 1992, 185:441
(收稿: 1999-11-29), 百拇医药
单位:梁波(430022 武汉,同济医科大学附属协和医院放射科);孔祥泉(430022 武汉,同济医科大学附属协和医院放射科);江利(430022 武汉,同济医科大学附属协和医院放射科);刘定西(430022 武汉,同济医科大学附属协和医院放射科);常时新(430022 武汉,同济医科大学附属协和医院放射科)
关键词:肥厚型心肌病;磁共振成像
临床放射学杂志000707 【摘要】 目的 评价肥厚型心肌病的磁共振影像诊断价值。 材料与方法 20例肥厚型心肌病患者,行磁共振TSE多层面平扫和磁共振电影(cine-MRI)检查,用ARGUS专用心功能分析软件分析左室心肌质量、各节段心壁厚度及心肌增厚率等参数。 结果 (1)肥厚型心肌病主要累及室间隔及左室前、侧壁,呈非对称分布。肥厚心肌与左室后下壁比率≥1.5。 (2)肥厚心肌的心肌增厚率显著低于正常心肌(P<0.01)。 (3)梗阻型左室流出道狭窄明显,左心射血时限延长。 结论 磁共振成像能全面了解心脏形态及功能异常,具有重要的临床应用价值。
, http://www.100md.com
Preliminary Investigation on the Applied Value of MRI in Hypertrophic Cardiomyopathy
LIANG Bo, KONG Xiangquan, JIANG Li,et al. Department of Radiology, The Affiliated Union Hospital, Tongji Medical University, Wuhan, Hubei Province 430022, P.R.China
【Abstract】 Objective To evaluate MRI in diagnosing hypertrophic cardiomyopathy. Materials and Methods TSE-T1WI and cine MRI were performed in 20 patients with hypertrophic cardiomyopathy, some indexes for evaluating cardiac function were measured by using ARGUS auto-quantitative program. Results (1) The anterior and lateral wall of the left ventricle, and the interventricular septum were often asymmetrically thickened. The ratio between the thickness of the hypertrophic cardiac muscle and that of the postero-inferior wall of the left ventricle was 1.5 or more. (2) The thickening rate of the hypertrophic cardiac muscle was significantely lower than that of the healthy cardiac muscle at end systole (P<0.01). (3) The left ventricular outflow tract was narrowed in cases with obstructive hypertrophic cardiomyopathy. Conclusion Cardiac MRI can fully demonstrate the morphologic and functional abnormalities, thus, it is of great value in clinical application.
, 百拇医药
【Key words】 Hypertrophic cardiomyopathy MRI
通过磁共振影像观察,研究肥厚型心肌病(hypertrophic cardiomyopathy,HCM)的形态学特点,分析心功能异常,评价磁共振成像对HCM的诊断价值。
1 材料与方法
本组20例肥厚型心肌病患者(梗阻型14例,非梗阻型6例),其中男16例,女4例。年龄16~52岁,平均40±7.3岁。主要临床症状:劳累后胸闷、气短,4例偶有晕厥症状。辅助检查:心脏B超和心电图检查。
使用德国Siemens 1.5T磁共振扫描仪,体部表面阵列线圈,采用胸前导联心电门控触发技术。扫描序列:快速自旋回波(TSE)脉冲序列T1WI、T2WI平扫,采集时相为R波触发后50ms,所获取图像相当于心脏收缩早期时相;快速梯度回波(GRE)脉冲序列,单层多帧快速连续采集,将所获图像连接成袢播放形成动态影像Cine-MRI。常规取轴位、冠状位和心长轴四腔位。Cine-MRI取垂直于心室间隔的短轴位。扫描层厚6~8mm。
, 百拇医药
图像分析: (1)根据磁共振平扫初步评价心脏形态并对病变大致分型。 (2)电影资料的动态分析(左心室):①心壁分区:自心底向心尖层面连续切层扫描5~8层,以心长轴为中心放射状将左室前、侧、后壁和室间隔分为8~12段,共约(5~8)×(8~12)=40~96个节段(图1)。②自动勾画心内外缘(ARGUS分析软件),手动修正。③启动ARGUS自动分析,主要内容包括:各节段心壁的准确厚度(舒张期~收缩期)、各节段心肌的增厚率、心肌质量(左室)、心长轴位或轴位测量心室流出道。
数据分析: 对ARGUS自动测出的数据分类分析,分析心肌肥厚情况。对照正常参考资料,结果进行统计学处理。
2 结果
诊断分型:非匀称型肥厚型心肌病15例(75%),心尖肥厚型4例(20%),均匀肥厚型1例(5%)。
肥厚型心肌病患者的心肌质量普遍增加,心肌肥厚主要累及左心室,以室间隔和左室前壁为主,多为非匀称性,肥厚显著者常伴有心室流出道的梗阻(16例),心室后壁不易受累。与正常心肌相比,肥厚部位心肌的增厚率下降,程度与心肌肥厚成反比(附表)。
, 百拇医药
附表 各类型肥厚型心肌病左室壁心肌厚度及心肌增厚
率与正常参考值比较(舒张末期)
非匀称型
心尖肥厚型
正常[1~3]
心肌质量(g)
316.5±141.05*
157.5±57.37
145.2±23.1
室间隔厚度(cm)
2.79±0.56*
, http://www.100md.com
1.3±0.27
1.04±2.7
前壁厚度(cm)
2.43±0.75*
1.28±0.22
1.08±0.14
后壁厚度(cm)
1.03±0.1
0.9±0.14
1.09±0.30
心尖厚度(cm)
, 百拇医药 0.36±0.6
2.05±0.31*
0.96±0.15
室间隔/后壁
2.74±0.6*
1.4±0.2
1.05±0.24
心尖/后壁
1.6±0.60
2.2±0.2*
1.0±0.2
, http://www.100md.com
心肌增厚率(%)
22.1±8.9*
52.8±6.6
73.0±18.0
* P<0.05
伴有血流动力学梗阻者左室流出道不同程度狭窄,于四腔位测量主动脉瓣下流出道前后径舒张末期平均宽度为1.3±0.4cm,无流出道梗阻者(心尖肥厚型)舒张末期平均宽度为2.0±0.1cm。前者长轴四腔位磁共振电影上可见左室收缩时,室间隔肥厚心肌凸向心室面,二尖瓣前叶向前移,并可见由于狭窄导致高速射血而出现的“涡流”征。
3 讨论
本病以心室壁异常肥厚为特点,主要累及左室,其典型表现为心肌质量增加,心肌呈非匀称性或局限性肥厚,心肌细胞异常肥大,且排列紊乱,常伴有间质纤维增生,但左室后下壁常不累及。
, 百拇医药
本病可见于任何年龄,男性多于女性,一般起病较缓慢,发病年龄越小,病情越重,其临床表现及预后取决于心肌肥厚的部位、程度,以及因此而可能造成的心室流出道梗阻[1~8]。
3.1 形态学分析
利用ARGUS心功能自动分析软件描绘各节段性心肌厚度直观灰阶对比示意图,即所谓“牛眼”图(图2)。结果显示:室间隔和左室前壁不匀称性肥厚显著,测量平均舒张末期厚度分别为2.79±0.56cm、2.43±0.75cm(P<0.05),部分游离壁如心前侧壁、心尖部常常受累。Maron[4]利用心脏B超将位于二尖瓣水平的心脏断面分为前室间隔、后室间隔、左室前壁、侧壁和后壁5个部分,根据各部位肥厚情况,将肥厚型心肌病分为4型,即前室间隔肥厚型(Ⅰ型),前、后室间隔肥厚型(Ⅱ型),室间隔和左室前、侧壁肥厚型(Ⅲ型),后室间隔和左室前、侧壁肥厚型(Ⅳ型),以Ⅲ、Ⅳ型为主,占68%。本组统计20例中,以室间隔和左室壁肥厚为主占16例(80%),与Maron统计结果基本一致。
, http://www.100md.com
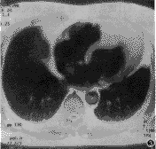
心尖局限性肥厚较为少见,首先由日本学者报道,心电图检查表现为异常Q波、ST-T段及T波改变。右前斜位左心室造影舒张末期呈“桃形心”改变。本组共4例(20%),2例心尖肥厚型心肌病心电图改变显著,但心脏B超未见异常,多角度磁共振平扫及电影均能显示心尖局限肥厚的程度及范围和心腔形态的改变,对明确诊断具有特征性(图3)。与梗阻型肥厚型心肌病相比,心尖肥厚型心肌肥厚程度较轻(2.05±0.31cm),且无左室流出道梗阻。
图1 以心腔为中心,于短轴位将左室各壁放射状分为8~12等份
图2 牛眼图。由5~8层同心圆组成,分别表示自心尖到心底的连续心室切层,被8~12条线划分为40~96个扇区
, 百拇医药
图3 心尖肥厚型心肌病横轴位T1WI示前室间隔及心尖局限性肥厚,左室腔呈桃形
图4、5 非匀称型肥厚型心肌病长轴位电影,图4为舒张期,图5为收缩期,可见二尖瓣前叶向室间隔移动(箭头)
各型左室后壁均未见增厚,平均为1.04±0.2cm。与正常心肌和同时相左室后壁厚度相比,非匀称型室间隔/后壁比值平均为2.74±0.6,心尖型心尖/后壁比值为2.2±0.2。与正常参考值相比均存在显著差异(P<0.05)。有学者认为,舒张末期肥厚部分心壁厚度的绝对值≥15mm以及其与左室后壁同期厚度比值≥1.5对诊断有定性价值[5]。笔者的统计结果与上述观点一致。
HCM心肌不同程度肥厚、心肌质量增加,但肥厚部分心肌增厚率却下降。根据Richard等[1]统计资料显示,正常心肌各部位平均增厚率约为70%。笔者统计的肥厚心肌病的心肌增厚率均低于正常值,一般低于50%,其中非匀称型肥厚型心肌病患者的心肌增厚率显著低于心尖肥厚型和正常组(P<0.01)。与正常组相比,心尖肥厚型心肌病心肌增厚率虽低于正常组,但两者差异不显著(P>0.05)。提示肥厚较为明显者心肌增厚率下降显著,其下降程度随心肌肥厚程度减轻而减弱,两者呈反比例关系。
, http://www.100md.com
3.2 流出道梗阻
室间隔的不均匀性肥厚,其肥厚心肌可突向心室腔造成心室流出道狭窄。观察左室流出道,以横轴位和平行于室间隔心脏长轴四腔位为宜。
测量主动脉瓣下舒张末期左室流出道前后径宽度,结果显示:非匀称型心肌肥厚者左室流出道(1.3±0.4cm)显著窄于心尖肥厚者(2.0±0.1cm)(P<0.05)。后者常常不伴有流出道的梗阻。
流出道狭窄时四腔位动态电影显示:左室收缩时室间隔轻度增厚,二尖瓣前叶向前移位,室间隔左室面与二尖瓣前叶之间形成一条狭窄通道,并可见由于狭窄和高速射血产生的血流信号丢失导致的“涡流”征象(turbulent flow)(图4、5)。可见由于流出道狭窄、二尖瓣前移造成二尖瓣关闭时对位不良,二尖瓣口在左室收缩期可见二尖瓣轻度返流征象,并见左房轻度扩大。
一般认为左室流出道狭窄是由于左室收缩时高速血流使二尖瓣前叶两面压力差带动二尖瓣前移,进而使流出道变窄。同时,左室收缩时不匀称肥厚的室间隔左室面收缩增厚,局部凸向流出道而加重流出道的狭窄,但前者是主要原因[6]。
, 百拇医药
磁共振心脏检查具有大视野、任意切面、图像清晰、直观等特点,尤其显示局限肥厚和心尖肥厚较敏感和准确,有利于分型诊断。从实践中笔者体会到,肥厚型心肌病的诊断应是全面的,不仅从形态,还应从功能上全面分析,Cine-MRI图像显示心壁与心池界面较平扫更清晰,能直观、准确的显示各型心肌肥厚情况,还可动态了解心脏各心壁活动情况,是诊断肥厚性心肌病的一种理想方法。
与心脏B超比较,其缺点是操作不如后者方便,成像时间较长且不能实时成像。与心导管检查相比,前者无法测量跨瓣梯度压和心壁压力的变化。磁共振心脏影像学检查可作为常规心脏超声检查的进一步补充手段。
熊茵(430022 武汉,同济医科大学附属协和医院放射科)
肖学宏(430022 武汉,同济医科大学附属协和医院放射科)
参考文献
, 百拇医药
1,Richard CS, Ernesto T, Stefan W,et al. Normal left ventricular dimensions and function: Interdtudy reproducibility of measurements with cine MR imaging. Radiology, 1990, 174:763
2,谢道海,丁乙,陈学仁,等.电影磁共振对正常人左心功能的测定.中华放射学杂志, 1994, 28:444
3,Jae HP, Yang MK, Jin WC,et al. MR imaging of hypertrophic cardiomyopathy. Radiology, 1992, 185:441
4,Maron BJ. Echocardiographic assessment of left ventricular hypertrophy in patients with obstructive or nonobstructive hypertrophic cardiomyopathy. Eur Heart J, 1983, 4:73
, 百拇医药
5,李坤成,主编.心血管磁共振成像诊断学.北京:人民卫生出版社, 1997, 97
6,Dong SJ, Macgregor JH, Crawley AP,et al. Left ventricular wall thickness and regional systolic function in patients with hypertrophic cardiomyopathy. Circulation, 1994, 90:1200
7,庞志显,李坤成,刘苏英,等.肥厚型心肌病的磁共振成像研究.中华放射学杂志, 1995, 29:672
8,Jae HP, Yang MK, Jin WC,et al. MR imaging of hypertrophic cardiomyopathy. Radiology, 1992, 185:441
(收稿: 1999-11-29), 百拇医药