MRI在颈静脉球瘤诊断中的应用
作者:吴卫平 周康荣 罗道天
单位:吴卫平(200032 上海医科大学附属中山医院放射科);周康荣(200032 上海医科大学附属中山医院放射科);罗道天(上海医科大学附属眼耳鼻喉医院放射科)
关键词:颈静脉球瘤;磁共振成像
临床放射学杂志000706 【摘要】 目的 总结颈静脉球瘤的MRI特点,评价MRI对颈静脉球瘤的鉴别诊断价值。 材料与方法 7例经手术及病理证实的颈静脉球瘤均行MRI平扫与增强扫描,对其MRI表现作回顾性分析。 结果 6例主要位于颈静脉孔区,1例同时见于颈静脉孔区和中耳鼓室。T1WI均呈近肌肉之等信号,T2WI均呈等到稍高信号。所有病灶内均可见流空表现,增强后均有明显强化。 结论 颈静脉球瘤的MRI表现有较强的特征性,为该肿瘤理想的影像学检查方法。
The Application of MRI in the Diagnosis of the Tumor of Glomus Jugulare
, 百拇医药
WU Weiping, ZHOU Kangrong, LUO Daotian. Department of Radiology, The Affiliated Zhongshan Hospital, Shanghai Medical University, Shanghai 200032, P.R.China
【Abstract】 Objective To summarize MRI features of the tumor of glomus jugulare, and to evaluate MRI in differential diagnosis. Materials and Methods Plain and enhanced MR scanning was performed in 7 cases (5 females and 2 males) with surgically and pathologically proved tumor of glomus jugulare. The MRI findings were retrospectively analyzed. Results Six lesions were located at jugular foremen, and one lesion was located at both jugular foramen and middle ear. All the lesions demonstrated quite the same signal intensity as muscles on T1WI, and iso- or slight higher signal intensity on T2WI. Signal loss due to flow void and marked enhancement after Gd-DTPA injection were seen in all lesions. Conclusion The tumor of glomus jugulare carries some characteristics on MRI, therefore, MRI is an ideal imaging examination for this disease.
, 百拇医药
【Key words】 Tumor,glomus jugulare MRI
颈静脉球瘤临床较少见,其发病率仅占全身肿瘤的0.03%,占头颈部肿瘤的0.06%。以往影像诊断较多采用X线平片和CT,近几年来国内少数作者报告了本病MRI表现亦具有一些特点。本文回顾分析中山医院放射科自1995年以来经手术及病理证实的7例颈静脉球瘤,并结合文献探讨MRI对颈静脉球瘤的诊断和鉴别诊断作用。
1 材料与方法
本组颈静脉球瘤共7例,其中女5例,男2例。年龄16~63岁,平均36岁。主诉搏动性耳鸣4例,面瘫3例,外耳道流脓2例,听力下降1例,耳痛1例,声音嘶哑1例。
全部病例均采用GE Signa 1.5T超导型磁共振机,MRI检查前均已在外院或本院行CT检查。MRI采用头线圈,所有病例均分别进行自旋回波横轴位和冠状位T1W扫描及快速自旋回波T2W扫描。T1WI:TR/TE 300~500/8~10Fr,T2WI:TR/TE 3500~4000/96Ef。NEX 2,FOV 20×20或23×17,矩阵256×160,层厚5mm,间隔2mm。所有病例除平扫外均行钆喷替酸葡甲胺(Gd-DTPA)增强扫描(北陆公司磁显葡胺),剂量为0.1mmol/ml。所有病例均经手术及病理证实。
, 百拇医药
2 结果
本组颈静脉球瘤发生在右侧5例,左侧2例。其中1例于颈静脉孔区和中耳鼓室各见一病灶,3例病灶局限于颈静脉孔区,2例病灶主要位于颈静脉孔区,同时侵犯中耳,1例病灶亦主要位于颈静脉孔区,但同时侵犯内耳道口。7例病变中有2例尚侵入乙状窦沟,2例压迫小脑前缘,1例包绕舌下神经,2例紧贴舌下神经。CT显示6例颈静脉孔区均有明显骨质破坏,1例仅见颈静脉增粗并伴颈静脉窝高位。术前定位诊断皆正确,4例定性诊断正确,1例诊断为颈静脉孔区恶性肿瘤,1例诊断为炎性病变,1例诊断为颈静脉窝高位。MRI显示病灶形态皆不规则,T1WI上均呈近肌肉之等信号,T2WI上3例信号与肌肉相近,4例信号较肌肉稍高。所有病灶内均可见不同程度的流空表现,增强后所有病灶均有明显强化(图1~4)。MRI定位与定性诊断全部正确。
3 讨论
颈静脉球瘤来源于胚胎神经嵴组织的化学感受器细胞。由Guild于1941年首先发现并命名。它进一步可分为发生于颈静脉球的颈静脉球体瘤和发生于中耳的鼓室球瘤。本病可发生于任何年龄,女性多见。最常见的临床症状为搏动性耳鸣和听力下降,晚期尚可出现外耳道出血、周围性面瘫和后组颅神经受累症状等。耳镜检查常在鼓膜后下方甚至外耳道内见到红色团块,听力学检查提示为传导神经性耳聋[1]。颈静脉球瘤血供丰富,主要由颈外动脉分支供血,并呈浸润性生长,易破坏周围骨质。影像检查为诊断本病的首选方法。CT显示肿瘤呈等到略高密度并伴有颈静脉孔扩大和破坏,此乃颈静脉孔区肿瘤的共同特征。CT早期可仅见颈静脉孔扩大,其边缘不甚规则,随着肿瘤的不断增大,则进一步出现颈静脉孔、周围骨迷路以及颈动脉管和颈静脉窝间骨嵴的破坏,最终累及上鼓室、中鼓室和鼓室窦。鼓室球瘤则表现为起源于耳蜗岬的小肿块,多局限于鼓室腔内,常破坏听小骨。CT增强扫描肿瘤呈明显均一强化。本组7个病例中,CT显示6例颈静脉孔扩大及骨质破坏,定位诊断准确。但定性正确仅4例。近年来发现MRI对本病的诊断亦颇有价值,T1WI多呈等到略低信号,T2WI多呈偏高信号,由于颈静脉球瘤血供丰富,T1WI及T2WI均可见流空即所谓“盐”和“胡椒”征象。增强扫描肿瘤均明显强化[2]。本组7个病例均有前述MRI表现,故MRI定位及定性诊断均正确。
, 百拇医药
图1 右侧颈静脉球瘤,横轴位T1WI示右侧颈静脉孔区病灶呈等信号(黑箭),其内可见明显流空(箭头)
图2 与图1同一病例增强后,病灶明显强化(白箭)
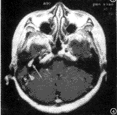
图3 左侧颈静脉球瘤,横轴位T2WI示左侧颈静脉孔区病灶,近等信号(黑箭),其内可见流空,病灶外侧另见高信号的乳突积液(箭头)
图4 右侧颈静脉-鼓室球瘤,增强后横轴位T1WI示右侧鼓室内小病灶明显强化(白箭),其外方乳突积液无强化(箭头)
, http://www.100md.com
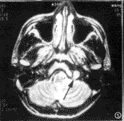
图5 左侧神经鞘瘤,横轴位T2WI示左侧颈静脉孔内病灶呈高信号,无流空(黑箭)
图6 与图5同一病例相邻层面增强后,左侧颈静脉孔上后方病灶明显强化(黑箭)
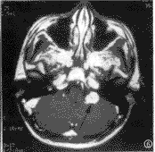
图7 右侧脑膜瘤,横轴位增强后T1WI,右侧颈静脉孔区病灶宽基底附着于小脑半球前方(黑箭),并伸入颈静脉孔内(箭头),呈明显均匀强化
颈静脉孔区病变种类较多,鉴别诊断包括血管异常、神经鞘瘤、脑膜瘤以及其他化学感受器瘤等。颈静脉孔区血管异常中最常见系颈静脉球高位,临床上亦表现为搏动性耳鸣;CT显示鼓室底壁骨质缺失,MRI则显示此颈内静脉因血流缓慢而呈高信号,局部无占位效应[3]。颈静脉孔区神经鞘瘤来源于后组颅神经,临床上以声音嘶哑为最突出症状;CT常见颈静脉孔腔扩大,边缘光滑;稍大的肿瘤常发生囊变,一般不侵犯中耳,常将颈动脉向前内、颈内静脉向后推移[4]。本文另选用1例经手术病理证实的来源于舌下神经的神经鞘瘤,MRI显示病灶位于颈静脉孔上下,T1WI呈近等信号,T2WI呈高信号,无流空现象,强化明显(图5、6)。颈静脉孔区脑膜瘤基底在硬膜,边界甚清,CT可见钙化并呈较明显的强化。本文亦另选用1例经手术病理证实的脑膜瘤,MRI显示病灶位于颈静脉孔内及岩骨尖下方,以宽基底与小脑紧贴,T1WI呈等信号,T2WI呈稍高信号,亦无流空表现,强化明显而均匀(图7)。颈动脉体瘤、迷走神经节瘤与颈静脉球瘤同属化学感受器瘤,均富血供,可见流空现象,增强后明显强化。但颈动脉体瘤起源于颈动脉体,它一般位于上颈部,造成颈动脉分叉明显撑开。迷走神经节瘤最常起源于迷走神经节内的球组织,在咽旁间隙内生长,多向下扩展,但少数也可向上延伸至颈静脉孔区,它多使颈内外动脉同时移向前内方从而与颈内静脉分开[5]。若进一步行DSA检查,上述三类化学感受器瘤均有明显肿瘤染色,且主要由颈外动脉系统供血,但三者的具体供血动脉又各有不同,有利于互相鉴别[6]。
, 百拇医药
4 结论
颈静脉球瘤的MRI表现较之CT具有较强的特征性,它可显示肿瘤的确切部位、形态、大小、范围及与周围组织的关系等,较易与颈静脉孔区其他常见病变鉴别,因而是诊断颈静脉球瘤的首选影像学方法。
参考文献
1,杨伟炎,刘伟琦.颈静脉球体瘤.国外医学耳咽喉科学分册,1992,16:136
2,周良辅,杜辉标.巨大型颈静脉球瘤的诊断和治疗.中国神经精神疾病杂志,1998,24:343
3,黄德亮,杨伟炎,姜泗长.颈静脉球异常.中华耳鼻咽喉科杂志,1998,33:83
4,杨秀军,彭仁罗.颈静脉孔区肿瘤的MRI和MRA诊断.中华放射学杂志,1996,30:333
5,Rao OB, Koeller KK, Adair CF. Paragangliomas of head and neck:Radiologic-pathologic correlation. Radiographics,1999,19:1605
6,赵卫,李莉媛,孙学进,等.副神经节瘤的DSA诊断研究.中华放射学杂志,2000,34:98
(收稿:2000-04-18 修回:2000-05-08), 百拇医药
单位:吴卫平(200032 上海医科大学附属中山医院放射科);周康荣(200032 上海医科大学附属中山医院放射科);罗道天(上海医科大学附属眼耳鼻喉医院放射科)
关键词:颈静脉球瘤;磁共振成像
临床放射学杂志000706 【摘要】 目的 总结颈静脉球瘤的MRI特点,评价MRI对颈静脉球瘤的鉴别诊断价值。 材料与方法 7例经手术及病理证实的颈静脉球瘤均行MRI平扫与增强扫描,对其MRI表现作回顾性分析。 结果 6例主要位于颈静脉孔区,1例同时见于颈静脉孔区和中耳鼓室。T1WI均呈近肌肉之等信号,T2WI均呈等到稍高信号。所有病灶内均可见流空表现,增强后均有明显强化。 结论 颈静脉球瘤的MRI表现有较强的特征性,为该肿瘤理想的影像学检查方法。
The Application of MRI in the Diagnosis of the Tumor of Glomus Jugulare
, 百拇医药
WU Weiping, ZHOU Kangrong, LUO Daotian. Department of Radiology, The Affiliated Zhongshan Hospital, Shanghai Medical University, Shanghai 200032, P.R.China
【Abstract】 Objective To summarize MRI features of the tumor of glomus jugulare, and to evaluate MRI in differential diagnosis. Materials and Methods Plain and enhanced MR scanning was performed in 7 cases (5 females and 2 males) with surgically and pathologically proved tumor of glomus jugulare. The MRI findings were retrospectively analyzed. Results Six lesions were located at jugular foremen, and one lesion was located at both jugular foramen and middle ear. All the lesions demonstrated quite the same signal intensity as muscles on T1WI, and iso- or slight higher signal intensity on T2WI. Signal loss due to flow void and marked enhancement after Gd-DTPA injection were seen in all lesions. Conclusion The tumor of glomus jugulare carries some characteristics on MRI, therefore, MRI is an ideal imaging examination for this disease.
, 百拇医药
【Key words】 Tumor,glomus jugulare MRI
颈静脉球瘤临床较少见,其发病率仅占全身肿瘤的0.03%,占头颈部肿瘤的0.06%。以往影像诊断较多采用X线平片和CT,近几年来国内少数作者报告了本病MRI表现亦具有一些特点。本文回顾分析中山医院放射科自1995年以来经手术及病理证实的7例颈静脉球瘤,并结合文献探讨MRI对颈静脉球瘤的诊断和鉴别诊断作用。
1 材料与方法
本组颈静脉球瘤共7例,其中女5例,男2例。年龄16~63岁,平均36岁。主诉搏动性耳鸣4例,面瘫3例,外耳道流脓2例,听力下降1例,耳痛1例,声音嘶哑1例。
全部病例均采用GE Signa 1.5T超导型磁共振机,MRI检查前均已在外院或本院行CT检查。MRI采用头线圈,所有病例均分别进行自旋回波横轴位和冠状位T1W扫描及快速自旋回波T2W扫描。T1WI:TR/TE 300~500/8~10Fr,T2WI:TR/TE 3500~4000/96Ef。NEX 2,FOV 20×20或23×17,矩阵256×160,层厚5mm,间隔2mm。所有病例除平扫外均行钆喷替酸葡甲胺(Gd-DTPA)增强扫描(北陆公司磁显葡胺),剂量为0.1mmol/ml。所有病例均经手术及病理证实。
, 百拇医药
2 结果
本组颈静脉球瘤发生在右侧5例,左侧2例。其中1例于颈静脉孔区和中耳鼓室各见一病灶,3例病灶局限于颈静脉孔区,2例病灶主要位于颈静脉孔区,同时侵犯中耳,1例病灶亦主要位于颈静脉孔区,但同时侵犯内耳道口。7例病变中有2例尚侵入乙状窦沟,2例压迫小脑前缘,1例包绕舌下神经,2例紧贴舌下神经。CT显示6例颈静脉孔区均有明显骨质破坏,1例仅见颈静脉增粗并伴颈静脉窝高位。术前定位诊断皆正确,4例定性诊断正确,1例诊断为颈静脉孔区恶性肿瘤,1例诊断为炎性病变,1例诊断为颈静脉窝高位。MRI显示病灶形态皆不规则,T1WI上均呈近肌肉之等信号,T2WI上3例信号与肌肉相近,4例信号较肌肉稍高。所有病灶内均可见不同程度的流空表现,增强后所有病灶均有明显强化(图1~4)。MRI定位与定性诊断全部正确。
3 讨论
颈静脉球瘤来源于胚胎神经嵴组织的化学感受器细胞。由Guild于1941年首先发现并命名。它进一步可分为发生于颈静脉球的颈静脉球体瘤和发生于中耳的鼓室球瘤。本病可发生于任何年龄,女性多见。最常见的临床症状为搏动性耳鸣和听力下降,晚期尚可出现外耳道出血、周围性面瘫和后组颅神经受累症状等。耳镜检查常在鼓膜后下方甚至外耳道内见到红色团块,听力学检查提示为传导神经性耳聋[1]。颈静脉球瘤血供丰富,主要由颈外动脉分支供血,并呈浸润性生长,易破坏周围骨质。影像检查为诊断本病的首选方法。CT显示肿瘤呈等到略高密度并伴有颈静脉孔扩大和破坏,此乃颈静脉孔区肿瘤的共同特征。CT早期可仅见颈静脉孔扩大,其边缘不甚规则,随着肿瘤的不断增大,则进一步出现颈静脉孔、周围骨迷路以及颈动脉管和颈静脉窝间骨嵴的破坏,最终累及上鼓室、中鼓室和鼓室窦。鼓室球瘤则表现为起源于耳蜗岬的小肿块,多局限于鼓室腔内,常破坏听小骨。CT增强扫描肿瘤呈明显均一强化。本组7个病例中,CT显示6例颈静脉孔扩大及骨质破坏,定位诊断准确。但定性正确仅4例。近年来发现MRI对本病的诊断亦颇有价值,T1WI多呈等到略低信号,T2WI多呈偏高信号,由于颈静脉球瘤血供丰富,T1WI及T2WI均可见流空即所谓“盐”和“胡椒”征象。增强扫描肿瘤均明显强化[2]。本组7个病例均有前述MRI表现,故MRI定位及定性诊断均正确。
, 百拇医药
图1 右侧颈静脉球瘤,横轴位T1WI示右侧颈静脉孔区病灶呈等信号(黑箭),其内可见明显流空(箭头)
图2 与图1同一病例增强后,病灶明显强化(白箭)
图3 左侧颈静脉球瘤,横轴位T2WI示左侧颈静脉孔区病灶,近等信号(黑箭),其内可见流空,病灶外侧另见高信号的乳突积液(箭头)
图4 右侧颈静脉-鼓室球瘤,增强后横轴位T1WI示右侧鼓室内小病灶明显强化(白箭),其外方乳突积液无强化(箭头)
, http://www.100md.com
图5 左侧神经鞘瘤,横轴位T2WI示左侧颈静脉孔内病灶呈高信号,无流空(黑箭)
图6 与图5同一病例相邻层面增强后,左侧颈静脉孔上后方病灶明显强化(黑箭)
图7 右侧脑膜瘤,横轴位增强后T1WI,右侧颈静脉孔区病灶宽基底附着于小脑半球前方(黑箭),并伸入颈静脉孔内(箭头),呈明显均匀强化
颈静脉孔区病变种类较多,鉴别诊断包括血管异常、神经鞘瘤、脑膜瘤以及其他化学感受器瘤等。颈静脉孔区血管异常中最常见系颈静脉球高位,临床上亦表现为搏动性耳鸣;CT显示鼓室底壁骨质缺失,MRI则显示此颈内静脉因血流缓慢而呈高信号,局部无占位效应[3]。颈静脉孔区神经鞘瘤来源于后组颅神经,临床上以声音嘶哑为最突出症状;CT常见颈静脉孔腔扩大,边缘光滑;稍大的肿瘤常发生囊变,一般不侵犯中耳,常将颈动脉向前内、颈内静脉向后推移[4]。本文另选用1例经手术病理证实的来源于舌下神经的神经鞘瘤,MRI显示病灶位于颈静脉孔上下,T1WI呈近等信号,T2WI呈高信号,无流空现象,强化明显(图5、6)。颈静脉孔区脑膜瘤基底在硬膜,边界甚清,CT可见钙化并呈较明显的强化。本文亦另选用1例经手术病理证实的脑膜瘤,MRI显示病灶位于颈静脉孔内及岩骨尖下方,以宽基底与小脑紧贴,T1WI呈等信号,T2WI呈稍高信号,亦无流空表现,强化明显而均匀(图7)。颈动脉体瘤、迷走神经节瘤与颈静脉球瘤同属化学感受器瘤,均富血供,可见流空现象,增强后明显强化。但颈动脉体瘤起源于颈动脉体,它一般位于上颈部,造成颈动脉分叉明显撑开。迷走神经节瘤最常起源于迷走神经节内的球组织,在咽旁间隙内生长,多向下扩展,但少数也可向上延伸至颈静脉孔区,它多使颈内外动脉同时移向前内方从而与颈内静脉分开[5]。若进一步行DSA检查,上述三类化学感受器瘤均有明显肿瘤染色,且主要由颈外动脉系统供血,但三者的具体供血动脉又各有不同,有利于互相鉴别[6]。
, 百拇医药
4 结论
颈静脉球瘤的MRI表现较之CT具有较强的特征性,它可显示肿瘤的确切部位、形态、大小、范围及与周围组织的关系等,较易与颈静脉孔区其他常见病变鉴别,因而是诊断颈静脉球瘤的首选影像学方法。
参考文献
1,杨伟炎,刘伟琦.颈静脉球体瘤.国外医学耳咽喉科学分册,1992,16:136
2,周良辅,杜辉标.巨大型颈静脉球瘤的诊断和治疗.中国神经精神疾病杂志,1998,24:343
3,黄德亮,杨伟炎,姜泗长.颈静脉球异常.中华耳鼻咽喉科杂志,1998,33:83
4,杨秀军,彭仁罗.颈静脉孔区肿瘤的MRI和MRA诊断.中华放射学杂志,1996,30:333
5,Rao OB, Koeller KK, Adair CF. Paragangliomas of head and neck:Radiologic-pathologic correlation. Radiographics,1999,19:1605
6,赵卫,李莉媛,孙学进,等.副神经节瘤的DSA诊断研究.中华放射学杂志,2000,34:98
(收稿:2000-04-18 修回:2000-05-08), 百拇医药