腹腔脏器外囊性病变的CT诊断
作者:陈春美 李子平 余深平 范淼
单位:陈春美(570102 海南医学院附属医院放射科);李子平(510080 广州,中山医科大学附属第一医院放射科);余深平(510080 广州,中山医科大学附属第一医院放射科);范淼(510080 广州,中山医科大学附属第一医院放射科)
关键词:腹腔;囊性病变;体层摄影术,X线计算机
临床放射学杂志000711 【摘要】 目的 探讨腹腔脏器外囊性病变的CT表现及其诊断价值。 材料与方法 搜集经手术病理证实的腹腔脏器外囊性病变27例,其中囊性畸胎瘤10例,囊性淋巴管瘤7例,囊性转移瘤2例,慢性血肿2例,腹腔脓肿3例,中肾管囊肿1例,消化道重复畸形2例,对其CT表现进行回顾性分析。 结果 腹腔脏器外囊性病变92.6%为良性,各类腹腔脏器外囊性病变的CT表现各有其一定的特征性。 结论 CT可以作为定位、定性诊断的重要影像学手段。
, 百拇医药
CT Diagnosis of Non-organic Cystic Diseases in Abdomen
CHEN Chunmei, LI Ziping, YU Shenping,et al. Department of Radiology, No.1 Affiliated Hospital, Sun Yat-sen University of Medical Sciences, Guangzhou, Guangdong Province 510080, P.R.China
【Abstract】 Objective To study CT manifestations of in abdomen and to evaluate CT in their diagnosis. Materials and Methods CT manifestations of non-organic cystic diseases were retrospectively analyzed in 27 pathologically proved cases, which included teratoma (n=10), cystic lymphangioma (n=7), cystic metastatic carcinoma (n=2), chronic hematoma (n=2) abdominal abscess (n=3), mesonephric duct cyst (n=1) and enteric duplication cyst (n=2). Results Up to 92.6% of non-organic cystic diseases in abdomen was benign. Each disease carried its own features on CT scans. Conclusion CT is very helpful for the diagnosis of non-organic cystic diseases in abdomen.
, 百拇医药
【Key words】 Abdomen Cystic disease Tomography,X-ray computed
腹腔脏器外囊性病变少见。虽然,CT已作为腹部病变影像学检查的常规手段,但在腹腔脏器外囊性病变的鉴别诊断上仍有一定困难,有关文献报道也不多[1,2]。笔者搜集27例腹腔脏器外囊性病变进行回顾性分析,旨在探讨其CT表现及其诊断价值。
1 材料与方法
27例腹腔脏器外囊性病变均经手术病理证实,其中男12例,女15例,年龄2个月~76岁。临床表现:有包块而无自觉症状者18例,有包块同时伴腹痛、腹胀者6例,腹部不适而未扪及包块者3例。病程2天~4年。所有病例均采用GE9000 Ⅱ型CT扫描机,行平扫加增强扫描,层厚、层距均为10mm。
2 结果
, 百拇医药
2.1 一般临床资料
27例腹腔脏器外囊性病变中,囊性畸胎瘤10例,其中8例来自腹膜后,另2例分别位于腹腔内及盆腔,除1例患者为65岁外,其余均在2个月~9岁之内;囊性淋巴管瘤7例,其中5例来自肠系膜,年龄分别为8、33、25、45、26岁,2例来自腹膜后,年龄分别为28、17岁;囊性转移瘤2例,均累及肝脏外侧边缘,年龄分别为65岁和54岁,其中1例有卵巢粘液囊腺癌术后病史,另1例为阑尾粘液囊腺癌术后;慢性血肿2例,1例来自腹腔,1例来自腹膜后,年龄为77岁和30岁;中肾管囊肿1例,位于左腹膜后肾上腺区,年龄为42岁;腹部脓肿3例,2例来自腹膜后肾周,1例来自盆腔,年龄分别为7、15和35岁;消化道重复畸形2例,分别为食管、胃重复畸形和结肠重复畸形,年龄分别为3岁和2个月。除2例囊性转移瘤为恶性病变外,其余25例均为良性病变,占92.6%。
2.2 CT表现
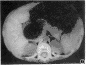
囊性畸胎瘤:9例以囊性为主且含有少量CT值为-50~-110HU的脂肪影及斑块状钙化或骨化影,可单房或多房,大小8cm×9cm×10cm~12cm×13cm×15cm(图1);1例为巨大均匀多房囊性肿块,无脂肪及钙化影。本组病例均表现为壁厚薄不均,增强后壁明显强化,与周围组织界限清楚,形态尚规则,相邻组织受压移位。
, 百拇医药
囊性淋巴管瘤:为均匀水样密度的多房或单房薄壁囊性肿块,大小4cm×3cm×8cm~8cm×7cm×10cm(图2),增强后,囊壁轻度均匀强化,大部分形态规整,界清,周围组织轻度受压移位,但其中有1例肠系膜上巨大囊性无分房、均匀水样密度、无壁的囊性淋巴管瘤术前CT误诊为腹水。
囊性转移瘤:1例,位于肝外侧缘,呈局限性椭圆形、密度均匀、无分房的囊性肿块,边缘欠清,部分囊壁呈结节状均匀强化,肝脏外缘不规则受压变形。1例为肝脏周围多个囊状占位病变,肝脏外缘受压变形(图3)。
慢性血肿:形态规则,密度不均匀的囊状病变,单房,囊内可见稍高密度的小血块影。壁厚均匀,增强见壁环形轻度强化,囊内小血块影未见强化,CT值30~45HU,部分边缘与周围脏器粘连,大小分别为5.8cm×8.0cm和6.5cm×7.8cm(图4)。
中肾管囊肿:位于左肾上腺区,为均匀水样密度,无分房,界清,壁薄,呈长条状。增强扫描见壁轻度均匀强化,大小为3cm×5cm×8cm(图5)。
, 百拇医药
腹部脓肿:多房,2例囊内可见少许气体影,与周围组织界限不清,2例来自腹膜后者见肾周间隙模糊(图6),1例来自腹腔者见肿块周围腹壁增厚。增强扫描见脓肿壁明显强化。
消化道重复畸形:1例为食管、胃重复畸形,呈境界清楚的水样均匀密度,管状,单房,肿块与食管和胃关系密切,从下胸部向下延续到腹腔内,壁厚均匀,周围脂肪层完整(图7);另1例结肠重复畸形为单房、密度均匀囊性肿块,壁厚均匀强化,界清,周围小肠受压移位,可见肠梗阻征。B超检查见2例囊壁有蠕动。
3 讨论
3.1 腹腔脏器外囊性病变的定义及分类
腹腔脏器外囊性病变是指腹腔内、腹膜后及肠系膜上的腹部脏器组织间隙内发生的以囊性为主的病变。常见有:(1)先天或后天发育障碍性病变,如囊性淋巴管瘤、中肾管囊肿、肠重复畸形; (2)肿瘤性病变,如囊性畸胎瘤、囊性转移瘤; (3)外伤性病变,如慢性血肿; (4)感染性病变,如腹部脓肿。
, 百拇医药
3.2 CT对腹腔脏器外囊性病变的诊断价值
腹腔脏器内囊性病变多见,而腹腔脏器外囊性病变则相对较少,影像学诊断的经验不多。过去对腹腔脏器外囊性病变的诊断主要依靠平片、胃肠道造影、泌尿系及腹膜后造影来获得某些间接征象,临床价值有限。CT的应用为诊断本病直观地显示病灶的形态、大小、密度,壁的厚薄,有无分房及与周围组织的关系;可以对大部分病变进行定位、定性的诊断。通过对肿块的主要占据位置、周围相邻被推移器官及组织结构进行分析定位,以帮助临床做好术前定位诊断[3]。另外,还可以对大部分病变作出术前定性诊断。本组病例显示腹腔脏器外囊性病变92.6%为良性病变。
图1 囊性畸胎瘤。以囊性为主且含有少量CT值为-50~-110HU的脂肪影(箭头示)及斑块状钙化影(三角箭头示)
, 百拇医药
图2 囊性淋巴管瘤,为薄壁囊性包块,其内均匀水样密度
图3 囊性转移瘤,肝脏周围多个囊状占位病变,肝脏外侧缘受压变形
图4 慢性血肿,壁较厚的囊状包块,囊内可见稍高密度的血块影
图5 中肾管囊肿,左肾上腺区均匀水样密度,无分房,界清,壁薄,呈长条状
图6 腹部脓肿,多房,囊内可见少许气体影,与周围组织界限不清,邻近腹壁及腰大肌肿胀
, 百拇医药
图7 食管、胃重复畸形,重复胃呈单房境界清楚的水样均匀密度囊肿。病灶与胃窦关系密切
3.3 各类腹腔脏器外囊性病变CT诊断及鉴别诊断
回顾分析本组27例囊性病变的发生部位、形态、密度、边界、壁的厚薄,与周围组织器官的关系及结合临床症状,就可以发现不同的腹腔脏器外囊性病变的CT表现有其各自不同的特点,这些特点在鉴别诊断时起到关键性的作用。
3.3.1 部位:囊性畸胎瘤以发生于腹膜后及盆腔内多见,发生于盆腔内者要注意与卵巢皮样囊肿鉴别,后者发生部位上有一处与子宫一面以上相贴[3]。囊性淋巴管瘤发生于肠系膜上多见,Sadola[2]认为囊性淋巴管瘤分为淋巴管水瘤及淋巴管瘤,前者多发生于手术或外伤后淋巴管阻塞致淋巴管异常囊样扩张,后者由于先天性或后天发育障碍导致淋巴管移位、错位,淋巴通道受阻扩张形成,故发生的部位与淋巴管的走向一致。中肾管囊肿主要发生于肾输尿管行程[4],是中肾管源性残余组织形成的囊肿。慢性血肿与腹腔脓肿可见于腹腔内及腹膜后,与其外伤的部位有关。囊性转移瘤以发生于腹腔内多见。消化道重复畸形与消化道关系密切。
, 百拇医药
3.3.2 形态:除囊性转移瘤外,其余腹腔脏器外囊性肿块形态多较规则。囊性淋巴管瘤长轴多与淋巴管走向一致[5]。慢性血肿多为单房,呈圆形或椭圆形。中肾管囊肿为单房长条管状。囊性转移瘤形态多不规则。
3.3.3 密度:囊性畸胎瘤多数密度不均,可见CT值为-50~-110HU的脂肪影及斑片状的具有骨皮质、骨髓腔结构的骨化影如牙齿、下颌骨等。囊性淋巴管瘤、中肾管囊肿、腹部脓肿、转移瘤多为密度均匀的水样密度肿块。部分脓肿腔内可见气体密度影。慢性血肿囊内密度不均匀,可见小血块影。
3.3.4 囊壁:密度均匀的不含脂肪及钙化的纯囊性畸胎瘤与囊性淋巴管瘤均可分房,两者鉴别有一定困难。但从本组病例来看,囊性畸胎瘤壁厚薄不均,有时可见呈楔形、三角形的厚壁,增强后壁可见中度强化,而囊性淋巴管瘤为薄壁或无壁肿块,增强后囊壁轻度强化,有助于两者鉴别。慢性血肿与腹部脓肿为厚壁囊性肿块,但脓肿壁更完整,更光滑些,其壁强化较血肿明显。转移瘤壁可为薄壁或厚壁,可见壁上结节样强化。中肾管囊肿多为薄壁无强化。肠重复畸形囊壁薄、均匀,轻度强化,B超可见囊壁有蠕动,这点可以作为与囊性淋巴管瘤的鉴别要点。
, http://www.100md.com
3.3.5 与周围组织器官的关系:囊性畸胎瘤、囊性淋巴管瘤、中肾管囊肿、慢性血肿、肠重复畸形(除合并感染外)多与周围结构分界清楚,相邻组织器官多有受压移位征象,囊性畸胎瘤肿块一般较大,周围组织受压较明显。转移瘤与周围组织结构有时不清,且占位征象明显,本组2例均见肝外侧缘受压变形。脓肿周围组织结构不清,邻近腹壁肿胀,与炎症渗出性反应有关。
3.3.6 临床表现:囊性畸胎瘤与淋巴管囊肿发病年龄较小,以儿童与青少年多见。囊性淋巴管瘤多数是无意中扪及肿块,无腹痛及腹胀史。淋巴管囊肿主要是腹部扪及囊性肿块,腹痛、腹胀。转移瘤多以中老年人多见,具有原发性恶性囊性病变史。慢性血肿多有外伤史。腹部脓肿多有发热、腹痛病史,抗炎治疗有好转。肠重复畸形常常表现为消化道出血、呕吐、包块等。
腹腔脏器外囊肿还应与胰腺炎性假囊肿鉴别,后者有较明显的胰腺炎病史,鉴别不难。
陈春美 在中山医科大学附属第一医院进修
, 百拇医药
参考文献
1,Ros PR, Olmsted WW, Moser RP,et al. Mesenteric and omental cysts: Histologic classification with imaging correlation. Radiology, 1987, 164:327
2,Sadola E. Cystic lymphangioma of the jejunal mesentery in an adult. J Clin Ultrasound, 1987, 15:542
3,汤积耀,张朝桐,赵汝康.女性腹部巨大囊性病变CT诊断(附25例报告).影像诊断与介入放射学, 1997, 6:32
4,许达生,陈君禄,黄兆民,主编.临床CT诊断学(CT诊断要点、少见征象与误诊分析).广州:广东科技出版社, 1998, 288
5,Doouglas PC, Lawrence CS, Jim C,et al. CT and MR imaging in cystic abdominal lymphangiomatosis. Journal of Computer Assisted Tomography, 1989, 13:534
(收稿:1999-07-12), 百拇医药
单位:陈春美(570102 海南医学院附属医院放射科);李子平(510080 广州,中山医科大学附属第一医院放射科);余深平(510080 广州,中山医科大学附属第一医院放射科);范淼(510080 广州,中山医科大学附属第一医院放射科)
关键词:腹腔;囊性病变;体层摄影术,X线计算机
临床放射学杂志000711 【摘要】 目的 探讨腹腔脏器外囊性病变的CT表现及其诊断价值。 材料与方法 搜集经手术病理证实的腹腔脏器外囊性病变27例,其中囊性畸胎瘤10例,囊性淋巴管瘤7例,囊性转移瘤2例,慢性血肿2例,腹腔脓肿3例,中肾管囊肿1例,消化道重复畸形2例,对其CT表现进行回顾性分析。 结果 腹腔脏器外囊性病变92.6%为良性,各类腹腔脏器外囊性病变的CT表现各有其一定的特征性。 结论 CT可以作为定位、定性诊断的重要影像学手段。
, 百拇医药
CT Diagnosis of Non-organic Cystic Diseases in Abdomen
CHEN Chunmei, LI Ziping, YU Shenping,et al. Department of Radiology, No.1 Affiliated Hospital, Sun Yat-sen University of Medical Sciences, Guangzhou, Guangdong Province 510080, P.R.China
【Abstract】 Objective To study CT manifestations of in abdomen and to evaluate CT in their diagnosis. Materials and Methods CT manifestations of non-organic cystic diseases were retrospectively analyzed in 27 pathologically proved cases, which included teratoma (n=10), cystic lymphangioma (n=7), cystic metastatic carcinoma (n=2), chronic hematoma (n=2) abdominal abscess (n=3), mesonephric duct cyst (n=1) and enteric duplication cyst (n=2). Results Up to 92.6% of non-organic cystic diseases in abdomen was benign. Each disease carried its own features on CT scans. Conclusion CT is very helpful for the diagnosis of non-organic cystic diseases in abdomen.
, 百拇医药
【Key words】 Abdomen Cystic disease Tomography,X-ray computed
腹腔脏器外囊性病变少见。虽然,CT已作为腹部病变影像学检查的常规手段,但在腹腔脏器外囊性病变的鉴别诊断上仍有一定困难,有关文献报道也不多[1,2]。笔者搜集27例腹腔脏器外囊性病变进行回顾性分析,旨在探讨其CT表现及其诊断价值。
1 材料与方法
27例腹腔脏器外囊性病变均经手术病理证实,其中男12例,女15例,年龄2个月~76岁。临床表现:有包块而无自觉症状者18例,有包块同时伴腹痛、腹胀者6例,腹部不适而未扪及包块者3例。病程2天~4年。所有病例均采用GE9000 Ⅱ型CT扫描机,行平扫加增强扫描,层厚、层距均为10mm。
2 结果
, 百拇医药
2.1 一般临床资料
27例腹腔脏器外囊性病变中,囊性畸胎瘤10例,其中8例来自腹膜后,另2例分别位于腹腔内及盆腔,除1例患者为65岁外,其余均在2个月~9岁之内;囊性淋巴管瘤7例,其中5例来自肠系膜,年龄分别为8、33、25、45、26岁,2例来自腹膜后,年龄分别为28、17岁;囊性转移瘤2例,均累及肝脏外侧边缘,年龄分别为65岁和54岁,其中1例有卵巢粘液囊腺癌术后病史,另1例为阑尾粘液囊腺癌术后;慢性血肿2例,1例来自腹腔,1例来自腹膜后,年龄为77岁和30岁;中肾管囊肿1例,位于左腹膜后肾上腺区,年龄为42岁;腹部脓肿3例,2例来自腹膜后肾周,1例来自盆腔,年龄分别为7、15和35岁;消化道重复畸形2例,分别为食管、胃重复畸形和结肠重复畸形,年龄分别为3岁和2个月。除2例囊性转移瘤为恶性病变外,其余25例均为良性病变,占92.6%。
2.2 CT表现
囊性畸胎瘤:9例以囊性为主且含有少量CT值为-50~-110HU的脂肪影及斑块状钙化或骨化影,可单房或多房,大小8cm×9cm×10cm~12cm×13cm×15cm(图1);1例为巨大均匀多房囊性肿块,无脂肪及钙化影。本组病例均表现为壁厚薄不均,增强后壁明显强化,与周围组织界限清楚,形态尚规则,相邻组织受压移位。
, 百拇医药
囊性淋巴管瘤:为均匀水样密度的多房或单房薄壁囊性肿块,大小4cm×3cm×8cm~8cm×7cm×10cm(图2),增强后,囊壁轻度均匀强化,大部分形态规整,界清,周围组织轻度受压移位,但其中有1例肠系膜上巨大囊性无分房、均匀水样密度、无壁的囊性淋巴管瘤术前CT误诊为腹水。
囊性转移瘤:1例,位于肝外侧缘,呈局限性椭圆形、密度均匀、无分房的囊性肿块,边缘欠清,部分囊壁呈结节状均匀强化,肝脏外缘不规则受压变形。1例为肝脏周围多个囊状占位病变,肝脏外缘受压变形(图3)。
慢性血肿:形态规则,密度不均匀的囊状病变,单房,囊内可见稍高密度的小血块影。壁厚均匀,增强见壁环形轻度强化,囊内小血块影未见强化,CT值30~45HU,部分边缘与周围脏器粘连,大小分别为5.8cm×8.0cm和6.5cm×7.8cm(图4)。
中肾管囊肿:位于左肾上腺区,为均匀水样密度,无分房,界清,壁薄,呈长条状。增强扫描见壁轻度均匀强化,大小为3cm×5cm×8cm(图5)。
, 百拇医药
腹部脓肿:多房,2例囊内可见少许气体影,与周围组织界限不清,2例来自腹膜后者见肾周间隙模糊(图6),1例来自腹腔者见肿块周围腹壁增厚。增强扫描见脓肿壁明显强化。
消化道重复畸形:1例为食管、胃重复畸形,呈境界清楚的水样均匀密度,管状,单房,肿块与食管和胃关系密切,从下胸部向下延续到腹腔内,壁厚均匀,周围脂肪层完整(图7);另1例结肠重复畸形为单房、密度均匀囊性肿块,壁厚均匀强化,界清,周围小肠受压移位,可见肠梗阻征。B超检查见2例囊壁有蠕动。
3 讨论
3.1 腹腔脏器外囊性病变的定义及分类
腹腔脏器外囊性病变是指腹腔内、腹膜后及肠系膜上的腹部脏器组织间隙内发生的以囊性为主的病变。常见有:(1)先天或后天发育障碍性病变,如囊性淋巴管瘤、中肾管囊肿、肠重复畸形; (2)肿瘤性病变,如囊性畸胎瘤、囊性转移瘤; (3)外伤性病变,如慢性血肿; (4)感染性病变,如腹部脓肿。
, 百拇医药
3.2 CT对腹腔脏器外囊性病变的诊断价值
腹腔脏器内囊性病变多见,而腹腔脏器外囊性病变则相对较少,影像学诊断的经验不多。过去对腹腔脏器外囊性病变的诊断主要依靠平片、胃肠道造影、泌尿系及腹膜后造影来获得某些间接征象,临床价值有限。CT的应用为诊断本病直观地显示病灶的形态、大小、密度,壁的厚薄,有无分房及与周围组织的关系;可以对大部分病变进行定位、定性的诊断。通过对肿块的主要占据位置、周围相邻被推移器官及组织结构进行分析定位,以帮助临床做好术前定位诊断[3]。另外,还可以对大部分病变作出术前定性诊断。本组病例显示腹腔脏器外囊性病变92.6%为良性病变。
图1 囊性畸胎瘤。以囊性为主且含有少量CT值为-50~-110HU的脂肪影(箭头示)及斑块状钙化影(三角箭头示)
, 百拇医药
图2 囊性淋巴管瘤,为薄壁囊性包块,其内均匀水样密度
图3 囊性转移瘤,肝脏周围多个囊状占位病变,肝脏外侧缘受压变形
图4 慢性血肿,壁较厚的囊状包块,囊内可见稍高密度的血块影
图5 中肾管囊肿,左肾上腺区均匀水样密度,无分房,界清,壁薄,呈长条状
图6 腹部脓肿,多房,囊内可见少许气体影,与周围组织界限不清,邻近腹壁及腰大肌肿胀
, 百拇医药
图7 食管、胃重复畸形,重复胃呈单房境界清楚的水样均匀密度囊肿。病灶与胃窦关系密切
3.3 各类腹腔脏器外囊性病变CT诊断及鉴别诊断
回顾分析本组27例囊性病变的发生部位、形态、密度、边界、壁的厚薄,与周围组织器官的关系及结合临床症状,就可以发现不同的腹腔脏器外囊性病变的CT表现有其各自不同的特点,这些特点在鉴别诊断时起到关键性的作用。
3.3.1 部位:囊性畸胎瘤以发生于腹膜后及盆腔内多见,发生于盆腔内者要注意与卵巢皮样囊肿鉴别,后者发生部位上有一处与子宫一面以上相贴[3]。囊性淋巴管瘤发生于肠系膜上多见,Sadola[2]认为囊性淋巴管瘤分为淋巴管水瘤及淋巴管瘤,前者多发生于手术或外伤后淋巴管阻塞致淋巴管异常囊样扩张,后者由于先天性或后天发育障碍导致淋巴管移位、错位,淋巴通道受阻扩张形成,故发生的部位与淋巴管的走向一致。中肾管囊肿主要发生于肾输尿管行程[4],是中肾管源性残余组织形成的囊肿。慢性血肿与腹腔脓肿可见于腹腔内及腹膜后,与其外伤的部位有关。囊性转移瘤以发生于腹腔内多见。消化道重复畸形与消化道关系密切。
, 百拇医药
3.3.2 形态:除囊性转移瘤外,其余腹腔脏器外囊性肿块形态多较规则。囊性淋巴管瘤长轴多与淋巴管走向一致[5]。慢性血肿多为单房,呈圆形或椭圆形。中肾管囊肿为单房长条管状。囊性转移瘤形态多不规则。
3.3.3 密度:囊性畸胎瘤多数密度不均,可见CT值为-50~-110HU的脂肪影及斑片状的具有骨皮质、骨髓腔结构的骨化影如牙齿、下颌骨等。囊性淋巴管瘤、中肾管囊肿、腹部脓肿、转移瘤多为密度均匀的水样密度肿块。部分脓肿腔内可见气体密度影。慢性血肿囊内密度不均匀,可见小血块影。
3.3.4 囊壁:密度均匀的不含脂肪及钙化的纯囊性畸胎瘤与囊性淋巴管瘤均可分房,两者鉴别有一定困难。但从本组病例来看,囊性畸胎瘤壁厚薄不均,有时可见呈楔形、三角形的厚壁,增强后壁可见中度强化,而囊性淋巴管瘤为薄壁或无壁肿块,增强后囊壁轻度强化,有助于两者鉴别。慢性血肿与腹部脓肿为厚壁囊性肿块,但脓肿壁更完整,更光滑些,其壁强化较血肿明显。转移瘤壁可为薄壁或厚壁,可见壁上结节样强化。中肾管囊肿多为薄壁无强化。肠重复畸形囊壁薄、均匀,轻度强化,B超可见囊壁有蠕动,这点可以作为与囊性淋巴管瘤的鉴别要点。
, http://www.100md.com
3.3.5 与周围组织器官的关系:囊性畸胎瘤、囊性淋巴管瘤、中肾管囊肿、慢性血肿、肠重复畸形(除合并感染外)多与周围结构分界清楚,相邻组织器官多有受压移位征象,囊性畸胎瘤肿块一般较大,周围组织受压较明显。转移瘤与周围组织结构有时不清,且占位征象明显,本组2例均见肝外侧缘受压变形。脓肿周围组织结构不清,邻近腹壁肿胀,与炎症渗出性反应有关。
3.3.6 临床表现:囊性畸胎瘤与淋巴管囊肿发病年龄较小,以儿童与青少年多见。囊性淋巴管瘤多数是无意中扪及肿块,无腹痛及腹胀史。淋巴管囊肿主要是腹部扪及囊性肿块,腹痛、腹胀。转移瘤多以中老年人多见,具有原发性恶性囊性病变史。慢性血肿多有外伤史。腹部脓肿多有发热、腹痛病史,抗炎治疗有好转。肠重复畸形常常表现为消化道出血、呕吐、包块等。
腹腔脏器外囊肿还应与胰腺炎性假囊肿鉴别,后者有较明显的胰腺炎病史,鉴别不难。
陈春美 在中山医科大学附属第一医院进修
, 百拇医药
参考文献
1,Ros PR, Olmsted WW, Moser RP,et al. Mesenteric and omental cysts: Histologic classification with imaging correlation. Radiology, 1987, 164:327
2,Sadola E. Cystic lymphangioma of the jejunal mesentery in an adult. J Clin Ultrasound, 1987, 15:542
3,汤积耀,张朝桐,赵汝康.女性腹部巨大囊性病变CT诊断(附25例报告).影像诊断与介入放射学, 1997, 6:32
4,许达生,陈君禄,黄兆民,主编.临床CT诊断学(CT诊断要点、少见征象与误诊分析).广州:广东科技出版社, 1998, 288
5,Doouglas PC, Lawrence CS, Jim C,et al. CT and MR imaging in cystic abdominal lymphangiomatosis. Journal of Computer Assisted Tomography, 1989, 13:534
(收稿:1999-07-12), 百拇医药