CT诊断肺隔离症一例
作者:许有生 沈纪林 张伟强 王土兴 杨其根 吴金兴 俞方荣
单位:许有生(314000 浙江省嘉兴市第一医院);沈纪林(314000 浙江省嘉兴市第一医院);张伟强(314000 浙江省嘉兴市第一医院);王土兴(314000 浙江省嘉兴市第一医院)
关键词:
临床放射学杂志000730 患者 女,50岁。因胸痛不适3个月,伴胸闷、心悸而就诊。查体:两肺呼吸音稍粗糙,未闻及干湿性罗音。
胸部正侧位X线片示:左肺下叶后基底段脊柱旁有一类圆形肿块,直径约5.5cm,边缘尚光整。
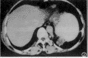
胸部CT检查: 平扫示左肺下叶后基底段主动脉旁一类圆形肿块,最大径约6.5cm,有包膜,其内低密度,均匀,CT值为15HU(图1)。增强扫描示包膜强化,但其内低密度处不强化,并见胸主动脉左后方有一分支伸向肿块(图2、3)。CT诊断为左肺下叶肺隔离症。
手术所见:左肺下叶一鸡蛋大小肿块,内有囊液。病理所见:组织块大小8.0cm×0.5cm×4.5cm,灰暗红色,胸膜面光滑。切面见一扩张囊腔,4cm×4cm大小,囊壁周围肺组织可见少数扩张的支气管,直径0.3cm。镜下可见囊壁内衬复层柱状上皮,部分伴有鳞化;囊壁外可见一厚壁动脉血管;囊周围肺组织中纤维组织增生实变。病理诊断为肺隔离症(叶内型)。
图1 CT平扫示左肺下叶后基底段脊柱旁胸主动脉后方一肿块,有包膜,其内为低密度,CT值为15HU
图2 CT增强扫描示左下肺后基底段肿块的下极部分,包膜强化,其内低密度不强化,并见胸主动脉有一分支伸向肿块(↑)
图3 CT增强扫描(图2的上一层面)示肿块之包膜及进入肿块的血管强化
讨论 肺隔离症(pulmonary sequestration)属于肺的先天性发育异常,其特点是某一肺段不与支气管连通,无呼吸功能。其叶内型位于肺实质内,与同叶正常肺组织由同一脏层胸膜包裹;若隔离肺本身另有胸膜包绕者为肺叶外型。两型的血供均来源于主动脉。隔离肺常位于下叶后基底段,以左侧多见,占80%~90%。与隔离肺相邻的肺实质内常合并局限性肺气肿和支气管扩张。CT可以明确:①肿块发生的部位;②肿块是囊性,实性,还是囊实性;③血供来自主动脉系统,即看到主动脉有一分支伸向肿块,这对诊断起决定性作用。然而对年长者的诊断要十分小心,毕竟肺隔离症少见,应密切结合病史长期动态观察,综合分析,尽量减少误诊。
作者单位:杨其根(314000 浙江省嘉兴市第一医院)
吴金兴(314000 浙江省嘉兴市第一医院)
俞方荣(314000 浙江省嘉兴市第一医院)
(收稿: 1999-03-29), 百拇医药
单位:许有生(314000 浙江省嘉兴市第一医院);沈纪林(314000 浙江省嘉兴市第一医院);张伟强(314000 浙江省嘉兴市第一医院);王土兴(314000 浙江省嘉兴市第一医院)
关键词:
临床放射学杂志000730 患者 女,50岁。因胸痛不适3个月,伴胸闷、心悸而就诊。查体:两肺呼吸音稍粗糙,未闻及干湿性罗音。
胸部正侧位X线片示:左肺下叶后基底段脊柱旁有一类圆形肿块,直径约5.5cm,边缘尚光整。
胸部CT检查: 平扫示左肺下叶后基底段主动脉旁一类圆形肿块,最大径约6.5cm,有包膜,其内低密度,均匀,CT值为15HU(图1)。增强扫描示包膜强化,但其内低密度处不强化,并见胸主动脉左后方有一分支伸向肿块(图2、3)。CT诊断为左肺下叶肺隔离症。
手术所见:左肺下叶一鸡蛋大小肿块,内有囊液。病理所见:组织块大小8.0cm×0.5cm×4.5cm,灰暗红色,胸膜面光滑。切面见一扩张囊腔,4cm×4cm大小,囊壁周围肺组织可见少数扩张的支气管,直径0.3cm。镜下可见囊壁内衬复层柱状上皮,部分伴有鳞化;囊壁外可见一厚壁动脉血管;囊周围肺组织中纤维组织增生实变。病理诊断为肺隔离症(叶内型)。
图1 CT平扫示左肺下叶后基底段脊柱旁胸主动脉后方一肿块,有包膜,其内为低密度,CT值为15HU
图2 CT增强扫描示左下肺后基底段肿块的下极部分,包膜强化,其内低密度不强化,并见胸主动脉有一分支伸向肿块(↑)
图3 CT增强扫描(图2的上一层面)示肿块之包膜及进入肿块的血管强化
讨论 肺隔离症(pulmonary sequestration)属于肺的先天性发育异常,其特点是某一肺段不与支气管连通,无呼吸功能。其叶内型位于肺实质内,与同叶正常肺组织由同一脏层胸膜包裹;若隔离肺本身另有胸膜包绕者为肺叶外型。两型的血供均来源于主动脉。隔离肺常位于下叶后基底段,以左侧多见,占80%~90%。与隔离肺相邻的肺实质内常合并局限性肺气肿和支气管扩张。CT可以明确:①肿块发生的部位;②肿块是囊性,实性,还是囊实性;③血供来自主动脉系统,即看到主动脉有一分支伸向肿块,这对诊断起决定性作用。然而对年长者的诊断要十分小心,毕竟肺隔离症少见,应密切结合病史长期动态观察,综合分析,尽量减少误诊。
作者单位:杨其根(314000 浙江省嘉兴市第一医院)
吴金兴(314000 浙江省嘉兴市第一医院)
俞方荣(314000 浙江省嘉兴市第一医院)
(收稿: 1999-03-29), 百拇医药