胆胰管十二指肠连接区小肿瘤CT诊断及鉴别
作者:郑晓林 宁永见 王承缘
单位:郑晓林 宁永见(511700 广东省东莞市人民医院放射科);王承缘(430030 武汉,同济医科大学附属同济医院放射科)
关键词:胆胰管十二指肠连接区;胰腺,癌;炎症;鉴别诊断;体层摄影术,X线计算机
临床放射学杂志001209【摘要】目的 探讨胆胰管十二指肠连接区小肿瘤的CT诊断及其鉴别点,提高CT诊断的敏感性和准确性。 材料与方法 连接区小癌22例,包括胰头癌12例(其中6例位于胰钩突),Vater's壶腹癌5例,胆总管下端癌5例;另胰头区炎症5例,以作对照分析。全部病例均经手术病理证实。 结果 (1)连接区小癌CT表现为胰头或钩突增大变形、密度改变及十二指肠内侧壁结节,胆总管壁增厚或下端结节;胰头癌突出表现为低密度区;Vater's壶腹癌、胆总管下端癌密度相对高,这与肿瘤的病理结构有关;大部分病例有胰胆管扩张,胰胆管扩张与否依据肿瘤生长的位置而定。 (2)胰头区炎症亦表现胰头增大,胰胆管扩张,但胰头密度均匀,与周围结构分界不清,胆道积气,这些可作为与肿瘤的鉴别点。 结论 连接区小癌的CT诊断及鉴别虽然还有一定的困难,但其仍不失为一种有效的诊断方法。
, 百拇医药
CT Diagnosis and Differentiation of Small Carcinoma at the Junction Area of Choledochopancreatic Duct and Duodenum
ZHENG Xiaolin, NING Yongjian, WANG Chengyuan
(Department of Radiology, Dongguan People's Hospital, Dongguan, Guangdong Province 511700, P.R.China)
【Abstract】Objective To investigate CT diagnosis of small carcinoma at the junction area of choledochopancreatic duct and duodenum, the differentiation with inflammation, and to improve the sensitivity and correctness of CT diagnosis. Materials and Methods CT scan was performed in 22 patients with pathologically-proved small carcinoma at the junction area, including carcinoma of pancreatic head (n=12, 6 originated from uncinate process), carcinoma of Vater's ampulla (n=5), and carcinoma of the distal common bile duct (n=5). Five cases with inflammation of pancreatic head were served as controls. Results (1) CT findings of small carcinoma at the junction area included enlarged or deformed pancreatic head and uncinate process, soft-tissue nodes in the internal wall of the duodenum, thickened common bile duct with soft-tissue nodes in its distal part. The characteristic sign was that the mass of the pancreatic head showed hypoattenuation. The carcinoma of Vater's ampulla and distal common bile duct, because of their pathological structures, displayed relatively high density. Dilated choledochopancreatic duct was seen in most cases, which lacked the relationship to the tumor site. (2) Inflammation of the pancreatic head showed enlargement of the head, dilated choledocho-pancreatic duct, poorly demarcated with neighboring structures and air accumulation in the bile duct. The above signs were useful in differentiation with tumors. Conclusion CT scan is still an effective method for the diagnosis of small carcinoma at the junction area of choledochopancreatic duct and duodenum, although its value is somewhat limited.
, 百拇医药
【Key words】Junction area of choledochopancreatic duct and duodenum Pancreas Carcinoma Inflammation Diagnosis Tomography,X-ray computed
胆胰管十二指肠连接区癌包括来自胰头、胆总管下端、Vater's壶腹及十二指肠乳头处的恶性肿瘤。直径≤3cm者为连接区小癌。由于上述结构解剖关系密切,所发生的肿瘤易相互侵犯,CT表现复杂,部分病例表现与炎症相似。为了加深认识,提高诊断水平,笔者收集了1992~1998年符合本文诊断标准者27例,包括5例误诊为肿瘤的炎症患者,一并分析报告如下。
1 材料与方法
27例中,男15例,女12例。年龄36~82岁,平均56.7岁。病程20天~1年。主要临床表现有黄疸、腹胀,部分患者有发热、腹痛、体重减轻等。
, 百拇医药
所用机型为GE 9800 Quick Hilight Advantage高分辨率CT机。扫描范围从肝顶至十二指肠水平部以下,层厚、层间距5~10mm,矩阵512×512,全部患者均作平扫及增强扫描。增强时团注对比剂(优维显或欧乃派克,300mgI/ml)80~100ml后立即快速扫描,扫描时间2秒,间隔时间1秒,全部增强扫描于1分钟内完成。
为了早期发现胆胰管十二指肠连接区癌的可靠征象,CT表现有胰头肿块侵犯周围组织如累及周围脂肪、包绕血管和向腹腔器官转移、广泛的淋巴结转移者不属于本文观察对象。本组病例CT表现须具备以下条件:(1)肿块≤3cm,胰头肿大≤3.0cm×3.5cm; (2)胰头边界清楚,周围脂肪清晰; (3)肠系膜动、静脉,门静脉,腹腔动脉等周围血管未被肿瘤包绕; (4)腹膜后、腹腔淋巴结无肿大; (5)无肝脏等腹腔器官转移。
将CT表现、手术所见、病理结果进行对照,着重于CT显示的肿瘤大小、有无周围侵犯、淋巴结转移与手术所见比较,以及肿瘤密度与病理结构的关系,肿瘤、炎症的异同点进行分析。
, 百拇医药
2 结果
27例连接区病变,癌22例,1例误诊为炎症,21例诊断正确;5例炎症均误诊为肿瘤。
2.1 小连接区癌的CT表现、手术及病理所见
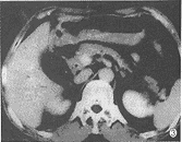
CT表现:(1)胰头轻度增大2例,约3.5cm×3.0cm,胰体、尾部相对缩小;胰钩突饱满、圆隆、分叶9例。 (2)胰头局限性低密度区5例(图1),大小约1.5cm×1.5cm~3.0cm×3.0cm,2例位于胰头前部,向外突起,边界较清楚,3例位于胰头内,边界不清,与胰腺组织呈移行状。2例胰头增大伴有弥漫性密度轻度减低,9例胰钩突密度减低,其中1例密度显著减低,但形态正常。十二指肠降部内侧壁局限性结节3例(图2),大小约1.5cm×2.0cm~2.0cm×2.0cm,密度与软组织相同,边缘清楚。增强扫描胰头病灶呈低密度或不均匀低密度区,十二指肠内侧壁结节有明显强化。 (3)胆总管下端软组织结节、局部管壁增厚、下段管壁均匀增厚各1例(图3),肝内胆管扩张18例,胆总管扩张19例,胆总管下端突然中断16例,逐渐变窄3例,胰管扩张19例。
, 百拇医药
手术病理所见: 手术病理证实胰头癌12例(6例位于胰头,6例位于胰钩突),Vater's壶腹癌5例,胆总管下端癌5例。病理类型均为腺癌,主要是乳头状腺癌和管型腺癌,2例为粘液性腺癌,1例Vater's壶腹绒毛腺瘤恶变。手术见胰头癌范围均较CT显示范围大,部分病例表面有结节,4例与十二指肠、十二指肠悬韧带粘连,1例侵犯横结肠。Vater's壶腹癌病变多局限,手术可触及硬结,1例累及胰头。5例胆总管癌均侵犯胰腺组织,1例沿管壁浸润性生长,累及肝门。本组淋巴结转移共8例,直径1.0~2.5cm,包括腹膜后淋巴结肿大3例,腹腔动脉、肠系膜淋巴结肿大2例,结肠中动脉淋巴结肿大2例,肝门淋巴结肿大1例,主要为胰头癌及胆管淋巴结转移,而Vater's壶腹癌淋巴结转移仅1例。19例胆道内有胆汁、脓液聚积,肝脏淤胆性增大,部分有早期肝硬化。
2.2 胰头区炎症的CT表现、手术及病理所见
CT表现: 胰头增大2例,胰头及胰钩突增大1例,形态不规则,胰腺组织内小叶结构消失,密度均匀,或有小点状低密度区,与十二指肠紧密粘连,无分界(图4)。胆总管下端管壁一侧不规则增厚、局限性结节各1例(图5)。5例患者均有胆总管扩张(4例有胆道积气),其中胆总管下段逐渐变窄4例,突然中断1例。





, 百拇医药
图1 胰头腺癌。胰头内局限性低密度区,形态不规则,边缘不清楚,伴有胰、胆管扩张 图2 Vater's壶腹绒毛腺瘤恶变。CT表现为胆总管下端结节,突入十二指肠内侧壁 图3 胆总管癌。胆总管壁均匀增厚,有强化,与周围胰头分界不清,与炎症表现相似,手术见肿瘤沿胆总管壁浸润,达肝门,并有肝门淋巴结转移 图4 胰头炎症。胰头弥漫性肿大,内见散在小点状低密度区,其间胰头实质密度均匀,胰头与十二指肠紧密粘连 图5胆总管下端炎症。CT表现为胆总管下端一侧壁局限性增厚,以上胆道有少许积气,病理切片可见纤维组织增生及慢性炎细胞浸润 图6 胰头癌合并炎症。胰头后部(腔静脉左前侧)见边缘模糊小低密度区,于胰颈部有一炎性假囊肿
手术病理所见: 3例胰头及胰钩突增大、变硬,但表面无结节,与胆总管、十二指肠紧密粘连形成团块状,1例胰头附近淋巴结肿大钙化,病理诊断为慢性炎症,有纤维组织增生,泡沫细胞、淋巴细胞浸润。2例胆总管下端有结节和管壁增厚,病理诊断亦为纤维组织增生及慢性炎细胞浸润。
, 百拇医药
3 讨论
胆胰管十二指肠连接区包括胆总管下端、胰管远端与十二指肠乳头及其周围2cm范围[1],原称壶腹部[2]。根据新近的研究,连接区在解剖、生理及病理上有其特殊性[1]。胆胰管十二指肠连接区癌,原称壶腹癌,是胰头癌、胆总管下端癌、Vater's壶腹癌、十二指肠乳头癌的总称[3]。理由是上述结构位于胰头内,或与胰头紧密相连,它们发生的癌肿病理性质相同,易相互侵犯而难以分清原发部位,临床表现亦完全一样。一般CT发现病例大多为中、晚期,失去了手术治疗的机会,笔者对连接区小肿瘤进行分析,力求提高认识。目前,对小胰头癌或连接区癌的影像学标准尚无统一认识,但大多数倾向肿块≤3cm标准[4]。
本组病例中,各种肿瘤的CT平扫及增强密度变化与它们的病理改变有直接关系,胰头及钩突癌平扫、增强为低密度区或不均匀低密度区,边缘模糊,分析是其病理组织中癌巢间有大量纤维组织增生,肿瘤血管少,周围胰腺组织呈炎症反应所致(图6)。Vater's壶腹癌平扫见边缘清楚的软组织结节,增强有明显强化,因Vater's壶腹癌恶性程度低,癌实质接近正常组织,血管相对丰富,故增强有明显强化。胆总管癌除管腔内结节、管壁局限性增厚外,常合并胆总管炎性增厚,CT可见结节及管壁增厚并均匀强化。虽然连接区癌的几种肿瘤有较多相同之处,但它们的预后、手术5年存活率不同。文献报道Vater's壶腹癌预后较好,手术切除后5年生存率达43%;胰头癌术后5年存活率仅4%;胆总管癌预后亦极差[5]。所以在诊断中,有必要根据肿瘤部位及上述增强特性将它们区分开来,为临床治疗提供可靠资料。
, 百拇医药
从本组结果看,CT显示连接区癌的侵犯范围有一定限度。CT观察胰头区肿块局限,无明显周围结构累及,但手术见4例胰头癌与十二指肠、十二指肠悬韧带粘连,1例侵犯横结肠,1例Vater's壶腹癌累及胰头;5例胆总管癌均侵犯胰腺组织,1例沿管壁浸润性生长,累及肝门。淋巴结转移共8例,这些限度可能是由于胰头区与十二指肠、肠系膜结构等联系密切,无明显脂肪间隔,又无固定形态,肿瘤早期浸润粘连未形成明显增厚及肿块,故在CT上无阳性发现。淋巴结肿大,特别在腹腔内,隐藏在脏器旁或脏器内,亦难显示。因此本文所谓的连接区小癌(肿块直径≤3cm)从手术结果来看并非是连接区早癌。
一般来说,胰头癌、Vater's壶腹癌、胆总管下端癌的可靠间接征象是胰胆管高度扩张,胆总管下端突然中断[6]。但本组并非完全如此,22例癌肿中,胰胆管扩张19例,其中胆总管扩张下端突然中断16例,胆总管下段逐渐变窄3例,胰管扩张19例,分析可能与肿块生长的位置、方式及大小有关,如果肿瘤体积小,生长在胰头的前或内侧,对胆管及胰管未形成压迫,因此胰、胆管不扩张;又如胆总管下段,胰胆管汇合的解剖部位有2种情况[7],即汇合于胰头实质内或胰头后方,后一种情况下,肿块较小,亦不引起胆管扩张。胆总管下段逐渐变窄亦不能排除肿瘤的可能,瘤细胞沿管壁浸润性生长或肿瘤合并炎症,均可出现此表现。
, 百拇医药
连接区癌与局部炎症的鉴别。笔者认为小肿瘤与炎症鉴别十分困难,因两者CT表现有较多相同点,肿瘤、炎症又常并存,就本组资料看来,误诊病例多为胰头癌、胆总管下端癌与炎症,需注意进行鉴别。通过回顾性分析,癌肿与炎症的鉴别点为:(1)炎症性胰头增大,边缘无分叶及结节;肿瘤所致胰头增大,边缘常有分叶及结节表现。 (2)炎症胰头边缘模糊,与十二指肠等周围结构紧密相连无分界;胰头癌边缘相对清楚。 (3)炎症胰头密度均匀,胰腺实质内的小叶及其间脂肪结构消失,或在均匀密度的基础上有小点状分布散在的水样低密度区;胰头癌多表现为局限性、边缘模糊的低密度区。炎症与胆总管癌的鉴别点:(1)炎症者胆总管壁增厚,与周围胰腺有分界;胆管癌,管壁与胰腺组织融合。 (2)炎症患者多有胆道积气;肿瘤一般无此征象。
参考文献
1,巫北海.胆胰管十二指肠连接区疾病.中国医学计算机成像杂志, 1999, 5:228
2,武忠弼,主编.病理学.第3版 北京:人民卫生出版社, 1979,296
, http://www.100md.com
3,Lawson TL, Berland LL, Foley WB. Malignant neoplasms of the pancreas, liver, and biliary tract in oncologic imaging edited by Brgg DG, Rubin P, Youker JE Pergamon Press Inc. New York, 1985, 287
4,Beat G, Karen E, Howard A. Diagnosis work up of patients with suspected pancreas carcinoma. Cancer, 1997, 9:1780
5,Steffen J, Kal J, Maliha S,et al. Pancreatic cancer: Value of dual-phase helical CT in assessing resectability. Radiology, 1998, 2:373
, 百拇医药
6,David S, Howard A, Robert M,et al. Local staging of pancreatic cancer: Criteria for unresectability of major vessels as revealed by pancreatic-phase, thin-section helical CT. AJR, 1997, 6:1439
7,郑思竞,主编.人体解剖学.第2版 北京:人民卫生出版社, 1984, 238
收稿:1999-12-08
修回:2000-07-20, 百拇医药
单位:郑晓林 宁永见(511700 广东省东莞市人民医院放射科);王承缘(430030 武汉,同济医科大学附属同济医院放射科)
关键词:胆胰管十二指肠连接区;胰腺,癌;炎症;鉴别诊断;体层摄影术,X线计算机
临床放射学杂志001209【摘要】目的 探讨胆胰管十二指肠连接区小肿瘤的CT诊断及其鉴别点,提高CT诊断的敏感性和准确性。 材料与方法 连接区小癌22例,包括胰头癌12例(其中6例位于胰钩突),Vater's壶腹癌5例,胆总管下端癌5例;另胰头区炎症5例,以作对照分析。全部病例均经手术病理证实。 结果 (1)连接区小癌CT表现为胰头或钩突增大变形、密度改变及十二指肠内侧壁结节,胆总管壁增厚或下端结节;胰头癌突出表现为低密度区;Vater's壶腹癌、胆总管下端癌密度相对高,这与肿瘤的病理结构有关;大部分病例有胰胆管扩张,胰胆管扩张与否依据肿瘤生长的位置而定。 (2)胰头区炎症亦表现胰头增大,胰胆管扩张,但胰头密度均匀,与周围结构分界不清,胆道积气,这些可作为与肿瘤的鉴别点。 结论 连接区小癌的CT诊断及鉴别虽然还有一定的困难,但其仍不失为一种有效的诊断方法。
, 百拇医药
CT Diagnosis and Differentiation of Small Carcinoma at the Junction Area of Choledochopancreatic Duct and Duodenum
ZHENG Xiaolin, NING Yongjian, WANG Chengyuan
(Department of Radiology, Dongguan People's Hospital, Dongguan, Guangdong Province 511700, P.R.China)
【Abstract】Objective To investigate CT diagnosis of small carcinoma at the junction area of choledochopancreatic duct and duodenum, the differentiation with inflammation, and to improve the sensitivity and correctness of CT diagnosis. Materials and Methods CT scan was performed in 22 patients with pathologically-proved small carcinoma at the junction area, including carcinoma of pancreatic head (n=12, 6 originated from uncinate process), carcinoma of Vater's ampulla (n=5), and carcinoma of the distal common bile duct (n=5). Five cases with inflammation of pancreatic head were served as controls. Results (1) CT findings of small carcinoma at the junction area included enlarged or deformed pancreatic head and uncinate process, soft-tissue nodes in the internal wall of the duodenum, thickened common bile duct with soft-tissue nodes in its distal part. The characteristic sign was that the mass of the pancreatic head showed hypoattenuation. The carcinoma of Vater's ampulla and distal common bile duct, because of their pathological structures, displayed relatively high density. Dilated choledochopancreatic duct was seen in most cases, which lacked the relationship to the tumor site. (2) Inflammation of the pancreatic head showed enlargement of the head, dilated choledocho-pancreatic duct, poorly demarcated with neighboring structures and air accumulation in the bile duct. The above signs were useful in differentiation with tumors. Conclusion CT scan is still an effective method for the diagnosis of small carcinoma at the junction area of choledochopancreatic duct and duodenum, although its value is somewhat limited.
, 百拇医药
【Key words】Junction area of choledochopancreatic duct and duodenum Pancreas Carcinoma Inflammation Diagnosis Tomography,X-ray computed
胆胰管十二指肠连接区癌包括来自胰头、胆总管下端、Vater's壶腹及十二指肠乳头处的恶性肿瘤。直径≤3cm者为连接区小癌。由于上述结构解剖关系密切,所发生的肿瘤易相互侵犯,CT表现复杂,部分病例表现与炎症相似。为了加深认识,提高诊断水平,笔者收集了1992~1998年符合本文诊断标准者27例,包括5例误诊为肿瘤的炎症患者,一并分析报告如下。
1 材料与方法
27例中,男15例,女12例。年龄36~82岁,平均56.7岁。病程20天~1年。主要临床表现有黄疸、腹胀,部分患者有发热、腹痛、体重减轻等。
, 百拇医药
所用机型为GE 9800 Quick Hilight Advantage高分辨率CT机。扫描范围从肝顶至十二指肠水平部以下,层厚、层间距5~10mm,矩阵512×512,全部患者均作平扫及增强扫描。增强时团注对比剂(优维显或欧乃派克,300mgI/ml)80~100ml后立即快速扫描,扫描时间2秒,间隔时间1秒,全部增强扫描于1分钟内完成。
为了早期发现胆胰管十二指肠连接区癌的可靠征象,CT表现有胰头肿块侵犯周围组织如累及周围脂肪、包绕血管和向腹腔器官转移、广泛的淋巴结转移者不属于本文观察对象。本组病例CT表现须具备以下条件:(1)肿块≤3cm,胰头肿大≤3.0cm×3.5cm; (2)胰头边界清楚,周围脂肪清晰; (3)肠系膜动、静脉,门静脉,腹腔动脉等周围血管未被肿瘤包绕; (4)腹膜后、腹腔淋巴结无肿大; (5)无肝脏等腹腔器官转移。
将CT表现、手术所见、病理结果进行对照,着重于CT显示的肿瘤大小、有无周围侵犯、淋巴结转移与手术所见比较,以及肿瘤密度与病理结构的关系,肿瘤、炎症的异同点进行分析。
, 百拇医药
2 结果
27例连接区病变,癌22例,1例误诊为炎症,21例诊断正确;5例炎症均误诊为肿瘤。
2.1 小连接区癌的CT表现、手术及病理所见
CT表现:(1)胰头轻度增大2例,约3.5cm×3.0cm,胰体、尾部相对缩小;胰钩突饱满、圆隆、分叶9例。 (2)胰头局限性低密度区5例(图1),大小约1.5cm×1.5cm~3.0cm×3.0cm,2例位于胰头前部,向外突起,边界较清楚,3例位于胰头内,边界不清,与胰腺组织呈移行状。2例胰头增大伴有弥漫性密度轻度减低,9例胰钩突密度减低,其中1例密度显著减低,但形态正常。十二指肠降部内侧壁局限性结节3例(图2),大小约1.5cm×2.0cm~2.0cm×2.0cm,密度与软组织相同,边缘清楚。增强扫描胰头病灶呈低密度或不均匀低密度区,十二指肠内侧壁结节有明显强化。 (3)胆总管下端软组织结节、局部管壁增厚、下段管壁均匀增厚各1例(图3),肝内胆管扩张18例,胆总管扩张19例,胆总管下端突然中断16例,逐渐变窄3例,胰管扩张19例。
, 百拇医药
手术病理所见: 手术病理证实胰头癌12例(6例位于胰头,6例位于胰钩突),Vater's壶腹癌5例,胆总管下端癌5例。病理类型均为腺癌,主要是乳头状腺癌和管型腺癌,2例为粘液性腺癌,1例Vater's壶腹绒毛腺瘤恶变。手术见胰头癌范围均较CT显示范围大,部分病例表面有结节,4例与十二指肠、十二指肠悬韧带粘连,1例侵犯横结肠。Vater's壶腹癌病变多局限,手术可触及硬结,1例累及胰头。5例胆总管癌均侵犯胰腺组织,1例沿管壁浸润性生长,累及肝门。本组淋巴结转移共8例,直径1.0~2.5cm,包括腹膜后淋巴结肿大3例,腹腔动脉、肠系膜淋巴结肿大2例,结肠中动脉淋巴结肿大2例,肝门淋巴结肿大1例,主要为胰头癌及胆管淋巴结转移,而Vater's壶腹癌淋巴结转移仅1例。19例胆道内有胆汁、脓液聚积,肝脏淤胆性增大,部分有早期肝硬化。
2.2 胰头区炎症的CT表现、手术及病理所见
CT表现: 胰头增大2例,胰头及胰钩突增大1例,形态不规则,胰腺组织内小叶结构消失,密度均匀,或有小点状低密度区,与十二指肠紧密粘连,无分界(图4)。胆总管下端管壁一侧不规则增厚、局限性结节各1例(图5)。5例患者均有胆总管扩张(4例有胆道积气),其中胆总管下段逐渐变窄4例,突然中断1例。
, 百拇医药
图1 胰头腺癌。胰头内局限性低密度区,形态不规则,边缘不清楚,伴有胰、胆管扩张 图2 Vater's壶腹绒毛腺瘤恶变。CT表现为胆总管下端结节,突入十二指肠内侧壁 图3 胆总管癌。胆总管壁均匀增厚,有强化,与周围胰头分界不清,与炎症表现相似,手术见肿瘤沿胆总管壁浸润,达肝门,并有肝门淋巴结转移 图4 胰头炎症。胰头弥漫性肿大,内见散在小点状低密度区,其间胰头实质密度均匀,胰头与十二指肠紧密粘连 图5胆总管下端炎症。CT表现为胆总管下端一侧壁局限性增厚,以上胆道有少许积气,病理切片可见纤维组织增生及慢性炎细胞浸润 图6 胰头癌合并炎症。胰头后部(腔静脉左前侧)见边缘模糊小低密度区,于胰颈部有一炎性假囊肿
手术病理所见: 3例胰头及胰钩突增大、变硬,但表面无结节,与胆总管、十二指肠紧密粘连形成团块状,1例胰头附近淋巴结肿大钙化,病理诊断为慢性炎症,有纤维组织增生,泡沫细胞、淋巴细胞浸润。2例胆总管下端有结节和管壁增厚,病理诊断亦为纤维组织增生及慢性炎细胞浸润。
, 百拇医药
3 讨论
胆胰管十二指肠连接区包括胆总管下端、胰管远端与十二指肠乳头及其周围2cm范围[1],原称壶腹部[2]。根据新近的研究,连接区在解剖、生理及病理上有其特殊性[1]。胆胰管十二指肠连接区癌,原称壶腹癌,是胰头癌、胆总管下端癌、Vater's壶腹癌、十二指肠乳头癌的总称[3]。理由是上述结构位于胰头内,或与胰头紧密相连,它们发生的癌肿病理性质相同,易相互侵犯而难以分清原发部位,临床表现亦完全一样。一般CT发现病例大多为中、晚期,失去了手术治疗的机会,笔者对连接区小肿瘤进行分析,力求提高认识。目前,对小胰头癌或连接区癌的影像学标准尚无统一认识,但大多数倾向肿块≤3cm标准[4]。
本组病例中,各种肿瘤的CT平扫及增强密度变化与它们的病理改变有直接关系,胰头及钩突癌平扫、增强为低密度区或不均匀低密度区,边缘模糊,分析是其病理组织中癌巢间有大量纤维组织增生,肿瘤血管少,周围胰腺组织呈炎症反应所致(图6)。Vater's壶腹癌平扫见边缘清楚的软组织结节,增强有明显强化,因Vater's壶腹癌恶性程度低,癌实质接近正常组织,血管相对丰富,故增强有明显强化。胆总管癌除管腔内结节、管壁局限性增厚外,常合并胆总管炎性增厚,CT可见结节及管壁增厚并均匀强化。虽然连接区癌的几种肿瘤有较多相同之处,但它们的预后、手术5年存活率不同。文献报道Vater's壶腹癌预后较好,手术切除后5年生存率达43%;胰头癌术后5年存活率仅4%;胆总管癌预后亦极差[5]。所以在诊断中,有必要根据肿瘤部位及上述增强特性将它们区分开来,为临床治疗提供可靠资料。
, 百拇医药
从本组结果看,CT显示连接区癌的侵犯范围有一定限度。CT观察胰头区肿块局限,无明显周围结构累及,但手术见4例胰头癌与十二指肠、十二指肠悬韧带粘连,1例侵犯横结肠,1例Vater's壶腹癌累及胰头;5例胆总管癌均侵犯胰腺组织,1例沿管壁浸润性生长,累及肝门。淋巴结转移共8例,这些限度可能是由于胰头区与十二指肠、肠系膜结构等联系密切,无明显脂肪间隔,又无固定形态,肿瘤早期浸润粘连未形成明显增厚及肿块,故在CT上无阳性发现。淋巴结肿大,特别在腹腔内,隐藏在脏器旁或脏器内,亦难显示。因此本文所谓的连接区小癌(肿块直径≤3cm)从手术结果来看并非是连接区早癌。
一般来说,胰头癌、Vater's壶腹癌、胆总管下端癌的可靠间接征象是胰胆管高度扩张,胆总管下端突然中断[6]。但本组并非完全如此,22例癌肿中,胰胆管扩张19例,其中胆总管扩张下端突然中断16例,胆总管下段逐渐变窄3例,胰管扩张19例,分析可能与肿块生长的位置、方式及大小有关,如果肿瘤体积小,生长在胰头的前或内侧,对胆管及胰管未形成压迫,因此胰、胆管不扩张;又如胆总管下段,胰胆管汇合的解剖部位有2种情况[7],即汇合于胰头实质内或胰头后方,后一种情况下,肿块较小,亦不引起胆管扩张。胆总管下段逐渐变窄亦不能排除肿瘤的可能,瘤细胞沿管壁浸润性生长或肿瘤合并炎症,均可出现此表现。
, 百拇医药
连接区癌与局部炎症的鉴别。笔者认为小肿瘤与炎症鉴别十分困难,因两者CT表现有较多相同点,肿瘤、炎症又常并存,就本组资料看来,误诊病例多为胰头癌、胆总管下端癌与炎症,需注意进行鉴别。通过回顾性分析,癌肿与炎症的鉴别点为:(1)炎症性胰头增大,边缘无分叶及结节;肿瘤所致胰头增大,边缘常有分叶及结节表现。 (2)炎症胰头边缘模糊,与十二指肠等周围结构紧密相连无分界;胰头癌边缘相对清楚。 (3)炎症胰头密度均匀,胰腺实质内的小叶及其间脂肪结构消失,或在均匀密度的基础上有小点状分布散在的水样低密度区;胰头癌多表现为局限性、边缘模糊的低密度区。炎症与胆总管癌的鉴别点:(1)炎症者胆总管壁增厚,与周围胰腺有分界;胆管癌,管壁与胰腺组织融合。 (2)炎症患者多有胆道积气;肿瘤一般无此征象。
参考文献
1,巫北海.胆胰管十二指肠连接区疾病.中国医学计算机成像杂志, 1999, 5:228
2,武忠弼,主编.病理学.第3版 北京:人民卫生出版社, 1979,296
, http://www.100md.com
3,Lawson TL, Berland LL, Foley WB. Malignant neoplasms of the pancreas, liver, and biliary tract in oncologic imaging edited by Brgg DG, Rubin P, Youker JE Pergamon Press Inc. New York, 1985, 287
4,Beat G, Karen E, Howard A. Diagnosis work up of patients with suspected pancreas carcinoma. Cancer, 1997, 9:1780
5,Steffen J, Kal J, Maliha S,et al. Pancreatic cancer: Value of dual-phase helical CT in assessing resectability. Radiology, 1998, 2:373
, 百拇医药
6,David S, Howard A, Robert M,et al. Local staging of pancreatic cancer: Criteria for unresectability of major vessels as revealed by pancreatic-phase, thin-section helical CT. AJR, 1997, 6:1439
7,郑思竞,主编.人体解剖学.第2版 北京:人民卫生出版社, 1984, 238
收稿:1999-12-08
修回:2000-07-20, 百拇医药