双侧睾丸间质细胞瘤一例
作者:蔡辉 郝俊梅 王威
单位:264000 山东烟台毓璜顶医院病理科
关键词:
患者男 患者男,30岁。1周前无意中触及右侧睾丸肿物,较硬,无疼痛,无乳腺肥大,于1998年4月15日入院。B超检查示:双侧睾丸分别探及大小不等的强回声区。右侧边界尚清晰,内回声不均质,以低回声为主,部分为强回声;双侧附睾大小形态未见异常。彩色多普勒示:低回声区内血流信号较丰富。静脉肾盂造影(—)。1998年4月20日手术,术中见双侧睾丸肿物位于睾丸实质内,边缘规则。
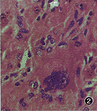
病理检查:大体检查:右侧睾丸肿物2.2 cm×1.7 cm,有包膜,切面暗红,质实如肝。左侧肿物碎组织3块,体积2.0 cm×1.8 cm×0.7 cm,切面暗红色。镜下观察:双侧睾丸肿瘤结构相同。瘤细胞排列成团或索状,少数瘤细胞排列成管状。瘤细胞胞体较大,类圆形,边界清楚,胞质嗜酸性或空泡状,有的胞浆含有脂褐素,还可见Reinke结晶, Masson染色结晶呈红色。瘤细胞核大小较为一致,圆形或卵圆形,位于细胞中心,染色质细,有1~2个嗜碱性小核仁(图1),偶见双核、多核瘤细胞(图2)。少数瘤细胞有轻度异形。肿瘤间质为血管丰富的纤维组织(图3),有的区域间质透明变性。肿瘤周围的曲细精管大小不一,数量少,管腔内成熟的精子较少,基底膜增厚及纤维化。


图1 瘤细胞较大,类圆形,边界清楚,胞质嗜酸性,含有脂褐素,部分瘤细胞核仁明显 HE×132
图2 瘤组织中可见多核瘤细胞 HE×132
图3 示瘤细胞胞浆空亮,核仁可见,瘤细胞之间血管丰富 HE×66
病理诊断:双侧睾丸间质细胞瘤
(收稿:1998-06-10 修回:1998-10-14), 百拇医药
单位:264000 山东烟台毓璜顶医院病理科
关键词:
患者男 患者男,30岁。1周前无意中触及右侧睾丸肿物,较硬,无疼痛,无乳腺肥大,于1998年4月15日入院。B超检查示:双侧睾丸分别探及大小不等的强回声区。右侧边界尚清晰,内回声不均质,以低回声为主,部分为强回声;双侧附睾大小形态未见异常。彩色多普勒示:低回声区内血流信号较丰富。静脉肾盂造影(—)。1998年4月20日手术,术中见双侧睾丸肿物位于睾丸实质内,边缘规则。
病理检查:大体检查:右侧睾丸肿物2.2 cm×1.7 cm,有包膜,切面暗红,质实如肝。左侧肿物碎组织3块,体积2.0 cm×1.8 cm×0.7 cm,切面暗红色。镜下观察:双侧睾丸肿瘤结构相同。瘤细胞排列成团或索状,少数瘤细胞排列成管状。瘤细胞胞体较大,类圆形,边界清楚,胞质嗜酸性或空泡状,有的胞浆含有脂褐素,还可见Reinke结晶, Masson染色结晶呈红色。瘤细胞核大小较为一致,圆形或卵圆形,位于细胞中心,染色质细,有1~2个嗜碱性小核仁(图1),偶见双核、多核瘤细胞(图2)。少数瘤细胞有轻度异形。肿瘤间质为血管丰富的纤维组织(图3),有的区域间质透明变性。肿瘤周围的曲细精管大小不一,数量少,管腔内成熟的精子较少,基底膜增厚及纤维化。
图1 瘤细胞较大,类圆形,边界清楚,胞质嗜酸性,含有脂褐素,部分瘤细胞核仁明显 HE×132
图2 瘤组织中可见多核瘤细胞 HE×132
图3 示瘤细胞胞浆空亮,核仁可见,瘤细胞之间血管丰富 HE×66
病理诊断:双侧睾丸间质细胞瘤
(收稿:1998-06-10 修回:1998-10-14), 百拇医药