妊娠高血压综合征患者胎盘和脐带血管内皮细胞损伤与肿瘤坏死因子的关系
作者:杨菁 徐望明 谢青贞
单位:本研究受湖北省自然科学基金资助(编号:SJ-970572);杨菁(430060 武汉, 湖北医科大学附属第一医院妇产科);徐望明(430060 武汉, 湖北医科大学附属第一医院妇产科);谢青贞(430060 武汉, 湖北医科大学附属第一医院妇产科)
关键词:肿瘤坏死因子;妊娠并发症,心血管;高血压;内皮血管;病理学
中华妇产科杂志000507 【摘要】 目的 探讨妊娠高血压综合征(妊高征)患者胎盘和脐带血管内皮细胞损伤及功能变化与肿瘤坏死因子(TNF)的关系。方法 采用放射免疫分析法,测定41例妊高征患者(妊高征组)和35例正常妊娠妇女(对照组)血浆TNF、内皮素和一氧化氮的水平;采用透射电镜观察两组胎盘和脐带血管内皮细胞的超微结构,并与在体外人重组TNF(rTNF)作用下培养的脐带血管内皮细胞形态相比较。结果 (1)妊高征组血浆TNF和内皮素分别为(2.27±0.42)μg/L和(73.31±9.98)ng/L,一氧化氮为(104.93±20.54)μmol/L; 对照组血浆TNF和内皮素分别为(1.72±0.25)μg/L和(52.32±10.44)ng/L, 一氧化氮水平为(138.25±22.16)μmol/L。妊高征组TNF及内皮素增高,一氧化氮减少。两组比较,差异有显著性(P<0.05)。 (2)电镜显示,妊高征组中除轻度患者的胎盘及脐带血管未见异常改变外,中、重度患者的胎盘和脐带血管内皮细胞均有损伤性表现。与rTNF作用下于体外培养的脐带血管内皮细胞形态学的改变相似。结论 TNF可引起胎盘和脐带血管内皮细胞损伤,可导致血管调节因子失衡,在妊高征的发病中有一定作用。
, http://www.100md.com
Endothelial Dysfunction and Injury of Placental and Umbilical Vessels in Pregnancy-induced Hypertension is Associated with Tumor Necrosis Factor
YANG Jing,XU Wangming,XIE Qingzhen
(Department of Obstetrics and Gynecology, First Affiliated Hospital of Hubei Medical University, Wuhan 430060, China)
【Abstract】 Objective To investigate the relation between endothelial dysfunction and injury of placental and umbilical vessels in pregnancy-induced hypertension (PIH) and tumor necrosis factor (TNF). Methods The concentration of plasma TNF, endothelin (ET) and nitric oxide (NO) in PIH women and normal pregnant women (control group) were measured. The ultrastructure of placenta and umbilical vein endothelial cells in PIH and normal pregnant women was observed.The ultrastructure of endothelial cells in culture with TNF (400u/ml) was also observed. Results Maternal plasma TNF and ET levels in PIH patients were (2.27±0.42) μg/L and (73.31± 9.98) ng/L, respectively, higher than that in the control [TNF and ET lever were (1.72±0.25)μg/L and (2.32±10.44)ng/L, respectively]. NO level in PIH patients was (104.93±20.54)μmol/L, lower than that in the control [NO lever was (138.25±22.16)μmol/L] (P<0.05). The ultrastructure of placental and umbilical vascular endothelial cells in moderate and severe PIH patients revealed injured. Similar injury was observed in endothelial cells in culture with TNF. Conclusions TNF can induce the endothelial cells dysfunction and injury. It may be involved the pathogenesis of PIH.
, 百拇医药
【Key words】 Tumor necrosis factor;Pregnancy complications, cardiovascular; Hypertension;Endothelium, vascular; Pathology
随着医学基础研究的深入,妊娠高血压综合征(妊高征)的病因学研究不断取得新的进展。目前普遍认为,内皮细胞损伤是妊高征发病的中心环节[1],但造成血管内皮细胞损伤的原因仍不清楚。有研究认为,妊高征患者血浆中的肿瘤坏死因子(TNF)水平在产前、产后均较正常妊娠妇女明显增高[2]。本研究测定了妊高征患者和正常妊娠妇女血浆TNF、内皮素和一氧化氮的水平,并采用电镜观察胎盘和脐带血管内皮细胞的超微结构,以进一步探讨妊高征患者胎盘和脐带血管内皮细胞损伤与TNF的关系。
材料与方法
一、 研究对象
, http://www.100md.com
选择1997年6月至1998年10月在我院妇产科分娩的妊高征患者和正常孕妇76例,分组如下。
1.妊高征组:41例,平均年龄(27.72±3.64)岁,平均孕周(37.90±2.79)周。其中轻度14例,中度11例,重度16例,均按全国统编教材《妇产科学》(第4版)进行诊断和分类[3]。
2.对照组:35例,为正常妊娠妇女,平均年龄(27.40±2.96)岁,平均孕周(38.28±1.32)周。两组孕妇既往无心、肝、肾脏及内分泌疾病史,近期无感染性疾病史。
二、 方法
1.胎盘及脐带血管的电镜观察:随机选择8例(正常及轻、中、重度妊高征各2例)进行胎盘及脐带血管内皮细胞的电镜观察。胎盘娩出后,立即在直视下取材,分别剪取胎盘及脐带各1小块组织,生理盐水冲洗干净后,切成2.0 mm×2.0 mm×2.0 mm大小,固定于2.5%戊二醛溶液中,经醋酸双氧铀及枸橼酸铅染色,812树脂包埋,超薄切片,进行透射电镜观察。
, 百拇医药
2.血管内皮细胞培养及人重组肿瘤坏死因子(rTNF)的处理:ECV304脐带血管内皮细胞株购自武汉大学典型培养物保藏中心。将血管内皮细胞进行传代培养[4]。在传代培养中分别采用两种处理方法:(1)培养液中加入含10%小牛血清的等量改良伊格尔培养液;(2)培养液中加入浓度为400U/ml的rTNF(北京邦定生物医学公司产品)。连续7 d观察两组脐带血管内皮细胞的细胞生长情况,并在培养3 d后制作标本[5],进行透射电镜观察。
3.TNF、内皮素和一氧化氮检测:(1) 血液样本的采集与处理:所有孕妇于临产前采集静脉血,分别放入含乙二胺四乙酸和抑肽酶的试管中, 以3 500 r/min离心15 min,取血浆置-20℃保存,进行测定TNF和内皮素。另取静脉血2 ml不抗凝,待血液凝固后, 以1 500 r/min离心10 min,取血清置-20℃保存,进行一氧化氮测定。(2)测定方法:TNF和内皮素均采用放射免疫分析法,试剂盒由长城免疫试剂所提供。一氧化氮通过测定其代谢产物亚硝酸盐浓度来代替,试剂盒由南京聚力生物医学工程研究所提供,实验步骤严格按药盒说明书进行。
, 百拇医药
三、 统计学方法
本研究采用t检验。
结果
一、 两组孕妇血浆TNF、内皮素和一氧化氮水平的比较
与对照组比较,妊高征组TNF和内皮素水平明显增高,一氧化氮水平降低,并以中、重度妊高征患者变化明显。两组比较,差异有显著性(P<0.05)。见表1。
表1 两组孕妇血浆TNF、内皮素和一氧化氮比较(
±s) 组别
例数
TNF(μg/L)
内皮素
, http://www.100md.com
(ng/L)
一氧化氮
(μmol/L)
对照组
35
1.72±0.25
52.32±10.44
138.25±22.16
妊高征组
41
2.27±0.42
73.31± 9.98
, 百拇医药
104.93±20.54
轻度
14
2.18±0.49
62.62±12.41
127.25±26.56
中度
11
2.31±0.38
77.71± 9.41
97.25±21.58
重度
, http://www.100md.com
16
2.32±0.41
79.61± 8.81
90.28±15.61
二、两组孕妇胎盘和脐带血管的超微结构观察
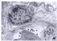
对照组胎盘绒毛血管内皮细胞呈单层结构,与滋养层细胞靠近,基底膜薄,不易见。脐带血管内皮细胞连接紧密,细胞表面有丰富的微绒毛,胞浆内细胞器丰富,核膜完整。妊高征组中除轻度患者的胎盘绒毛及脐带血管未见明显异常改变外,中、重度患者的胎盘绒毛及脐带血管均有明显的损伤性表现,内皮细胞肿胀增生,向管腔突出;细胞间连接疏松,红细胞漏出至管腔外;胞浆内线粒体和内质网肿胀扩张,细胞核膜不完整;内皮细胞外平滑肌及胶原纤维增生(图1~3)。
, 百拇医药
图1 内皮细胞胞浆肿胀。×1200
图2 内皮细胞突向管腔。×3000
图3 内质网扩张,线粒体肿胀。×15000
三、rTNF对培养的脐带血管内皮细胞的影响
经rTNF作用后,脐带血管内皮细胞内质网有不同程度的扩张,线粒体的改变主要表现为浓缩、深染,与妊高征的胎盘和脐带血管内皮细胞损伤性表现类似(图4)。
图4 经肿瘤坏死因子孵育3d后的脐静脉内皮细胞,内质网扩张×15000
, 百拇医药
讨论
一、 血管内皮细胞损伤在妊高征发病中的作用
尽管妊高征的发病机理尚未完全明了,但越来越多的研究表明,血管内皮细胞损伤在妊高征的发病中可能起着关键性作用。目前认为,血管内皮细胞是具有十分重要生理作用的多功能“器官”,它通过释放血管活性物质,如一氧化氮、内皮素、前列环素等调节血管张力,并具有合成、代谢功能和产生参与机体免疫功能的细胞因子、受体等。因此,其结构与功能受损是临床多种疾病发生发展的病理基础。不少研究表明,妊高征患者存在血管内皮细胞损伤的病理学依据[1,6]。本研究显示,妊高征患者胎盘及脐带血管内皮细胞有损伤性表现,而正常妊娠的胎盘及脐带血管内皮细胞无此表现。说明内皮细胞一旦受损,可通过细胞因子的自分泌或旁分泌构成的网络系统相互发生作用,导致恶性循环,使妊高征病情有自身加剧的趋势。
二、TNF对血管内皮细胞损伤及其功能的作用
, 百拇医药
TNF是一种主要由活化的单核巨噬细胞产生的多肽,参与体内多种生理与免疫过程。有学者推测,TNF是妊高征患者血浆中存在的损害内皮细胞系统的主要毒性因子之一[7]。我们在以往的工作中发现,妊高征患者血浆中TNF水平明显高于正常妊娠妇女,并伴有内皮素的相应变化。本研究也发现,rTNF对体外培养的血管内皮细胞的损伤作用,在形态学上与妊高征患者的胎盘和脐带血管内皮细胞改变相似。为此提供了新的理论依据。
本研究还表明,在妊高征患者血浆TNF增加的同时,还伴有内皮素增加和一氧化氮的减少,并且以中、重度妊高征的变化为显著。说明当血液中TNF增高时,除TNF对血管内皮细胞的直接损伤外,还可能导致内皮细胞的功能紊乱,如增加血管收缩因子(如内皮素)的生成和释放,减少血管舒张因子(如一氧化氮)的生成和释放,使血管调节因子失衡[7,8],导致全身小动脉痉挛,外周阻力增高,而导致妊高征。但TNF在妊高征发病中的确切作用,尚待进一步研究。
, http://www.100md.com (本文图1~4见插页第7页)
参考文献
1,Friedman SA, Eyal S, Emeis JJ,et al. Biochemical corroboration of endothelial involvement in severe preecclampsia.Am J Obstet Gynecol, 1995,172:202-205.
2,徐望明,杨菁,陈辉霖,等.肿瘤坏死因子在妊高征发病中的作用. 中华妇产科杂志,1997,32:9-11.
3,乐杰,主编.妇产科学.第4版.北京:人民卫生出版社,1998.115-117.
4,鄂征,主编.组织培养与细胞技术.北京:北京医科大学-中国协和医科大学联合出版社,1995.123-300.
, 百拇医药
5,章静波,主编. 细胞生物学实用方法与技术. 北京:北京医科大学-中国协和医科大学联合出版社,1995.186-245.
6,Khong TY, Sawyer IH, Heryet AR. An immunohistologic study of endothelialization of utero placental vessels in human-evidence that endothelium is focally disrupted by trophoblast in preecclampsia. Am J Obstet Gynecol, 1992,167:751-756.
7,徐望明,杨菁,王彩霞.肿瘤坏死因子对妊高征致病作用与内皮素的关系.中国实用妇科与产科杂志,1998,14:25-27.
8,Morris NH, Eaton BM, Decker G.Nitric oxide,the endothelium, pregnancy and preeclampsia. Br J Obstet Gynecol,1996,103:4-9.
(收稿日期:1999-07-23), 百拇医药
单位:本研究受湖北省自然科学基金资助(编号:SJ-970572);杨菁(430060 武汉, 湖北医科大学附属第一医院妇产科);徐望明(430060 武汉, 湖北医科大学附属第一医院妇产科);谢青贞(430060 武汉, 湖北医科大学附属第一医院妇产科)
关键词:肿瘤坏死因子;妊娠并发症,心血管;高血压;内皮血管;病理学
中华妇产科杂志000507 【摘要】 目的 探讨妊娠高血压综合征(妊高征)患者胎盘和脐带血管内皮细胞损伤及功能变化与肿瘤坏死因子(TNF)的关系。方法 采用放射免疫分析法,测定41例妊高征患者(妊高征组)和35例正常妊娠妇女(对照组)血浆TNF、内皮素和一氧化氮的水平;采用透射电镜观察两组胎盘和脐带血管内皮细胞的超微结构,并与在体外人重组TNF(rTNF)作用下培养的脐带血管内皮细胞形态相比较。结果 (1)妊高征组血浆TNF和内皮素分别为(2.27±0.42)μg/L和(73.31±9.98)ng/L,一氧化氮为(104.93±20.54)μmol/L; 对照组血浆TNF和内皮素分别为(1.72±0.25)μg/L和(52.32±10.44)ng/L, 一氧化氮水平为(138.25±22.16)μmol/L。妊高征组TNF及内皮素增高,一氧化氮减少。两组比较,差异有显著性(P<0.05)。 (2)电镜显示,妊高征组中除轻度患者的胎盘及脐带血管未见异常改变外,中、重度患者的胎盘和脐带血管内皮细胞均有损伤性表现。与rTNF作用下于体外培养的脐带血管内皮细胞形态学的改变相似。结论 TNF可引起胎盘和脐带血管内皮细胞损伤,可导致血管调节因子失衡,在妊高征的发病中有一定作用。
, http://www.100md.com
Endothelial Dysfunction and Injury of Placental and Umbilical Vessels in Pregnancy-induced Hypertension is Associated with Tumor Necrosis Factor
YANG Jing,XU Wangming,XIE Qingzhen
(Department of Obstetrics and Gynecology, First Affiliated Hospital of Hubei Medical University, Wuhan 430060, China)
【Abstract】 Objective To investigate the relation between endothelial dysfunction and injury of placental and umbilical vessels in pregnancy-induced hypertension (PIH) and tumor necrosis factor (TNF). Methods The concentration of plasma TNF, endothelin (ET) and nitric oxide (NO) in PIH women and normal pregnant women (control group) were measured. The ultrastructure of placenta and umbilical vein endothelial cells in PIH and normal pregnant women was observed.The ultrastructure of endothelial cells in culture with TNF (400u/ml) was also observed. Results Maternal plasma TNF and ET levels in PIH patients were (2.27±0.42) μg/L and (73.31± 9.98) ng/L, respectively, higher than that in the control [TNF and ET lever were (1.72±0.25)μg/L and (2.32±10.44)ng/L, respectively]. NO level in PIH patients was (104.93±20.54)μmol/L, lower than that in the control [NO lever was (138.25±22.16)μmol/L] (P<0.05). The ultrastructure of placental and umbilical vascular endothelial cells in moderate and severe PIH patients revealed injured. Similar injury was observed in endothelial cells in culture with TNF. Conclusions TNF can induce the endothelial cells dysfunction and injury. It may be involved the pathogenesis of PIH.
, 百拇医药
【Key words】 Tumor necrosis factor;Pregnancy complications, cardiovascular; Hypertension;Endothelium, vascular; Pathology
随着医学基础研究的深入,妊娠高血压综合征(妊高征)的病因学研究不断取得新的进展。目前普遍认为,内皮细胞损伤是妊高征发病的中心环节[1],但造成血管内皮细胞损伤的原因仍不清楚。有研究认为,妊高征患者血浆中的肿瘤坏死因子(TNF)水平在产前、产后均较正常妊娠妇女明显增高[2]。本研究测定了妊高征患者和正常妊娠妇女血浆TNF、内皮素和一氧化氮的水平,并采用电镜观察胎盘和脐带血管内皮细胞的超微结构,以进一步探讨妊高征患者胎盘和脐带血管内皮细胞损伤与TNF的关系。
材料与方法
一、 研究对象
, http://www.100md.com
选择1997年6月至1998年10月在我院妇产科分娩的妊高征患者和正常孕妇76例,分组如下。
1.妊高征组:41例,平均年龄(27.72±3.64)岁,平均孕周(37.90±2.79)周。其中轻度14例,中度11例,重度16例,均按全国统编教材《妇产科学》(第4版)进行诊断和分类[3]。
2.对照组:35例,为正常妊娠妇女,平均年龄(27.40±2.96)岁,平均孕周(38.28±1.32)周。两组孕妇既往无心、肝、肾脏及内分泌疾病史,近期无感染性疾病史。
二、 方法
1.胎盘及脐带血管的电镜观察:随机选择8例(正常及轻、中、重度妊高征各2例)进行胎盘及脐带血管内皮细胞的电镜观察。胎盘娩出后,立即在直视下取材,分别剪取胎盘及脐带各1小块组织,生理盐水冲洗干净后,切成2.0 mm×2.0 mm×2.0 mm大小,固定于2.5%戊二醛溶液中,经醋酸双氧铀及枸橼酸铅染色,812树脂包埋,超薄切片,进行透射电镜观察。
, 百拇医药
2.血管内皮细胞培养及人重组肿瘤坏死因子(rTNF)的处理:ECV304脐带血管内皮细胞株购自武汉大学典型培养物保藏中心。将血管内皮细胞进行传代培养[4]。在传代培养中分别采用两种处理方法:(1)培养液中加入含10%小牛血清的等量改良伊格尔培养液;(2)培养液中加入浓度为400U/ml的rTNF(北京邦定生物医学公司产品)。连续7 d观察两组脐带血管内皮细胞的细胞生长情况,并在培养3 d后制作标本[5],进行透射电镜观察。
3.TNF、内皮素和一氧化氮检测:(1) 血液样本的采集与处理:所有孕妇于临产前采集静脉血,分别放入含乙二胺四乙酸和抑肽酶的试管中, 以3 500 r/min离心15 min,取血浆置-20℃保存,进行测定TNF和内皮素。另取静脉血2 ml不抗凝,待血液凝固后, 以1 500 r/min离心10 min,取血清置-20℃保存,进行一氧化氮测定。(2)测定方法:TNF和内皮素均采用放射免疫分析法,试剂盒由长城免疫试剂所提供。一氧化氮通过测定其代谢产物亚硝酸盐浓度来代替,试剂盒由南京聚力生物医学工程研究所提供,实验步骤严格按药盒说明书进行。
, 百拇医药
三、 统计学方法
本研究采用t检验。
结果
一、 两组孕妇血浆TNF、内皮素和一氧化氮水平的比较
与对照组比较,妊高征组TNF和内皮素水平明显增高,一氧化氮水平降低,并以中、重度妊高征患者变化明显。两组比较,差异有显著性(P<0.05)。见表1。
表1 两组孕妇血浆TNF、内皮素和一氧化氮比较(
例数
TNF(μg/L)
内皮素
, http://www.100md.com
(ng/L)
一氧化氮
(μmol/L)
对照组
35
1.72±0.25
52.32±10.44
138.25±22.16
妊高征组
41
2.27±0.42
73.31± 9.98
, 百拇医药
104.93±20.54
轻度
14
2.18±0.49
62.62±12.41
127.25±26.56
中度
11
2.31±0.38
77.71± 9.41
97.25±21.58
重度
, http://www.100md.com
16
2.32±0.41
79.61± 8.81
90.28±15.61
二、两组孕妇胎盘和脐带血管的超微结构观察
对照组胎盘绒毛血管内皮细胞呈单层结构,与滋养层细胞靠近,基底膜薄,不易见。脐带血管内皮细胞连接紧密,细胞表面有丰富的微绒毛,胞浆内细胞器丰富,核膜完整。妊高征组中除轻度患者的胎盘绒毛及脐带血管未见明显异常改变外,中、重度患者的胎盘绒毛及脐带血管均有明显的损伤性表现,内皮细胞肿胀增生,向管腔突出;细胞间连接疏松,红细胞漏出至管腔外;胞浆内线粒体和内质网肿胀扩张,细胞核膜不完整;内皮细胞外平滑肌及胶原纤维增生(图1~3)。
, 百拇医药
图1 内皮细胞胞浆肿胀。×1200
图2 内皮细胞突向管腔。×3000
图3 内质网扩张,线粒体肿胀。×15000
三、rTNF对培养的脐带血管内皮细胞的影响
经rTNF作用后,脐带血管内皮细胞内质网有不同程度的扩张,线粒体的改变主要表现为浓缩、深染,与妊高征的胎盘和脐带血管内皮细胞损伤性表现类似(图4)。
图4 经肿瘤坏死因子孵育3d后的脐静脉内皮细胞,内质网扩张×15000
, 百拇医药
讨论
一、 血管内皮细胞损伤在妊高征发病中的作用
尽管妊高征的发病机理尚未完全明了,但越来越多的研究表明,血管内皮细胞损伤在妊高征的发病中可能起着关键性作用。目前认为,血管内皮细胞是具有十分重要生理作用的多功能“器官”,它通过释放血管活性物质,如一氧化氮、内皮素、前列环素等调节血管张力,并具有合成、代谢功能和产生参与机体免疫功能的细胞因子、受体等。因此,其结构与功能受损是临床多种疾病发生发展的病理基础。不少研究表明,妊高征患者存在血管内皮细胞损伤的病理学依据[1,6]。本研究显示,妊高征患者胎盘及脐带血管内皮细胞有损伤性表现,而正常妊娠的胎盘及脐带血管内皮细胞无此表现。说明内皮细胞一旦受损,可通过细胞因子的自分泌或旁分泌构成的网络系统相互发生作用,导致恶性循环,使妊高征病情有自身加剧的趋势。
二、TNF对血管内皮细胞损伤及其功能的作用
, 百拇医药
TNF是一种主要由活化的单核巨噬细胞产生的多肽,参与体内多种生理与免疫过程。有学者推测,TNF是妊高征患者血浆中存在的损害内皮细胞系统的主要毒性因子之一[7]。我们在以往的工作中发现,妊高征患者血浆中TNF水平明显高于正常妊娠妇女,并伴有内皮素的相应变化。本研究也发现,rTNF对体外培养的血管内皮细胞的损伤作用,在形态学上与妊高征患者的胎盘和脐带血管内皮细胞改变相似。为此提供了新的理论依据。
本研究还表明,在妊高征患者血浆TNF增加的同时,还伴有内皮素增加和一氧化氮的减少,并且以中、重度妊高征的变化为显著。说明当血液中TNF增高时,除TNF对血管内皮细胞的直接损伤外,还可能导致内皮细胞的功能紊乱,如增加血管收缩因子(如内皮素)的生成和释放,减少血管舒张因子(如一氧化氮)的生成和释放,使血管调节因子失衡[7,8],导致全身小动脉痉挛,外周阻力增高,而导致妊高征。但TNF在妊高征发病中的确切作用,尚待进一步研究。
, http://www.100md.com (本文图1~4见插页第7页)
参考文献
1,Friedman SA, Eyal S, Emeis JJ,et al. Biochemical corroboration of endothelial involvement in severe preecclampsia.Am J Obstet Gynecol, 1995,172:202-205.
2,徐望明,杨菁,陈辉霖,等.肿瘤坏死因子在妊高征发病中的作用. 中华妇产科杂志,1997,32:9-11.
3,乐杰,主编.妇产科学.第4版.北京:人民卫生出版社,1998.115-117.
4,鄂征,主编.组织培养与细胞技术.北京:北京医科大学-中国协和医科大学联合出版社,1995.123-300.
, 百拇医药
5,章静波,主编. 细胞生物学实用方法与技术. 北京:北京医科大学-中国协和医科大学联合出版社,1995.186-245.
6,Khong TY, Sawyer IH, Heryet AR. An immunohistologic study of endothelialization of utero placental vessels in human-evidence that endothelium is focally disrupted by trophoblast in preecclampsia. Am J Obstet Gynecol, 1992,167:751-756.
7,徐望明,杨菁,王彩霞.肿瘤坏死因子对妊高征致病作用与内皮素的关系.中国实用妇科与产科杂志,1998,14:25-27.
8,Morris NH, Eaton BM, Decker G.Nitric oxide,the endothelium, pregnancy and preeclampsia. Br J Obstet Gynecol,1996,103:4-9.
(收稿日期:1999-07-23), 百拇医药