PcDNA3-hBMP3基因转染关节软骨细胞及其稳定表达
作者:韩一生 胡蕴玉 惠宏襄 崔大祥 李松建
单位:710032西安,第四军医大学西京医院全军骨科研究所(韩一生、胡蕴玉、李松建);第四军医大学生物化学教研室(惠宏襄),基因研究所(崔大祥)
关键词:转染;软骨,关节;基因;骨形态蛋白
中华外科杂志990703 【摘要】 目的 探讨外源性基因hBMP3在软骨细胞获得稳定表达的可能性。 方法 将人BMP3的cDNA构建于真核表达载体PcDNA3,形成重组真核表达载体PcDNA3-hBMP3,转染培养状态下兔关节软骨细胞。利用重组DNA和基因克隆技术构建重组真核表达载体PcDNA3-hBMP3;利用细胞培养和细胞基因转染技术体外转染hBMP3基因至关节软骨细胞;利用核酸提取(Nouthern Blot)和核酸杂交技术检测细胞转染后4周hBMP3基因的表达情况。 结果 兔关节软骨细胞属贴壁生长,呈多角形,细胞一代时间5天,指数生长期为接种后2~4天。PcDNA3-hBMP3用EcoR Ⅰ和XbaⅠ 双酶切下的片段和λDNA/Hind Ⅲ Markers于1.5%琼脂糖电泳,为5.4 kb和1.4 kb,符合各自的物理图谱,表明构建重组基因成功。细胞转染后用G418筛选至4周,仍有新的细胞克隆形成,提取克隆细胞的mRNA做斑点杂交,结果显示阳性。 结论 在脂质体的介导下,重组真核表达载体PcDNA3-hBMP3转染兔关节软骨细胞且获得了稳定表达。
, http://www.100md.com
Transfection of articular chondrocytes with PcNDA3-hBMP3 and its stable expression
HAN Yisheng*,HU Yunyu, HUI Hongxiang,et al*.
Department of Orthopedics,Xijing Hospital,Xi′an 710032.
【Abstract】 Objective To explore the possibility of stable expression of PcDNA3-hBMP3 in cultured articular chondrocytes of rabbit. Methods PcDNA3-hBMP3 was constructed using gene clone technique and recombined DNA technique. With the help of profectamine, the cultured articular chondrocytes were transfected with PcDNA3-hBMP3, and the evidence of successfully stable transfection in these cells could be obtained by positive northern blot. Results The cultured articular chondrocytes of rabbits seemed to be polygonal, and its logarithmic growth phase was 2~4 days after cell inoculation. The two fragments cut from PcDNA3-hBMP3 by EcoR Ⅰ and Xba Ⅰ represented 5.4 kb and 1.4 kb by electrophoresis, which were confirmed to be the carrier and the fragment inserted originally, indicating that the construction of PcDNA3-hBMP3 was successful. The RNA extracted from cultured chondrocytes was screened for 4 weeks by G418 hibrided with the fragment cut from hBMP3 positively. Conclusions With the help of profectamine, the cultured articular chondrocytes can be transfected by recombined gene of PcDNA3-hBMP3 successfully, and their stable expression at 4 weeks after transfection is obtained.
, 百拇医药
【Key words】 Transfection Cartilage,articular Genes Bone morphogenetic protein
基因转移(gene transfer)或基因转染(gene transfection)是分子生物学迅速发展的重要标志[1-4]。转基因通常是指将目的基因通过真核表达载体导入靶细胞,以补偿靶细胞的基因缺陷,或调节靶细胞的蛋白分泌水平,或转基因的蛋白产物可封闭靶细胞(如瘤细胞)某种致病因子,最终使靶细胞获得新的生物学行为的过程[5-8]。人BMP3(hBMP3)可促进多种来源的未分化间充质细胞向软骨细胞和成骨细胞转化, 而且对鸡肢芽软骨细胞也有促进分裂和增殖的作用,促进后者Ⅱ型胶原和氨基多糖(PG)的分泌[9,10]。本研究通过基因克隆和重组DNA技术将hBMP3的cDNA构建在真核表达载体PcDNA3上(即PcDNA3-hBMP3),转染培养状态下的兔关节软骨细胞,以探讨基因转染后软骨细胞获得稳定表达的可能性。
, http://www.100md.com
材料和方法
一、实验材料
1.hBMP3全长cDNA质粒:美国加利福尼亚州遗传研究所馈赠,1.40 kb,用限制性内切酶EcoR Ⅰ(5′酶切位点)和Xbal Ⅰ(3′酶切位点)可将cDNA自质粒上切下。
2.真核表达载体PcDNA3:5.4 kb,非功能区含EcoR Ⅰ和Xbal Ⅰ酶切位点,带有抗新霉素和氨苄青霉素的标记基因:NeoRORF和AmpRORF ,含有CMV启动子和SV40增强子。
3.PcDNA3-hBMP3构建试剂:限制性内切酶( EcoR Ⅰ、Xba Ⅰ)和T4DNA 连接酶;溴化乙锭(EB)和 Rnase A(10 mg/ml);低溶点琼脂糖和普通琼脂糖(GIBCO公司);配制LB液体培养基、选择性固体培养基、TE缓冲液(pH 8.0)和TAE 电泳缓冲液。
, 百拇医药
4.软骨消化酶:0.05%睾丸透明质酸酶、0.2%冻干胰蛋白酶和0.2%Ⅱ型梭状芽孢杆菌胶原酶,用前配制并滤菌。
5.软骨细胞培养液:采用DMEM(GIBCO公司),含5%~10%胎牛血清。
6.基因转染介导试剂:脂质体(lipofectamine,GIBCO公司),1 ml装。
7.基因转染筛选试剂:G418(新霉素),1 g装。
8.仪器:CO2孵箱,低温冷冻高速离心机,水浴恒温摇床,真空干燥仪,紫外检测仪,手提长波紫外灯,水平电泳仪,恒温烤箱,电子分析天平。
二、实验方法
1.重组真核表达载体PcDNA3-hBMP3的构建、纯度测定和鉴定:大肠杆菌DH5a感受态细胞的制备(Cohen法)→hBMP3质粒DNA细菌转化→hBMP3质粒DNA小量提取和酶切鉴定→hBMP3质粒DNA酶切片断回收(冻融法)→质粒DNA含量及纯度的测定(分光光度法)→将hBMP3定向克隆至真核表达载体PcDNA3中(粘-粘连接法)→PcDNA3-hBMP3重组质粒大量制备(碱裂解法)→PcDNA3-hBMP3重组质粒DNA纯化(Sepharose 2B柱层析法)→ PcDNA3-hBMP3重组质粒含量纯度测定。PcDNA3-hBMP3的酶切鉴定:用EcoR Ⅰ和Xba Ⅰ双酶切,切下片段需电泳鉴定。
, 百拇医药
2.软骨细胞分离、培养和冻存:取出生28天新西兰兔,无菌条件取肱骨、胫骨和股骨远端,利刀削软骨成薄片移入培养皿,Hank′s液冲洗。加0.05%透明质酸酶10 ml室温下3分钟,弃酶液、Hank′s液冲洗。将软骨切成1 mm3组织块移入消化小室的内室(消化小室分内外室[11],内室放软骨和磁棒,下端用45μm尼龙网套住;外室于内室之外,放酶溶液和消化分离的软骨细胞),于外室加0.2%胰蛋白酶5 ml,磁力振荡器120 r/min,37 ℃,30分钟,取出消化瓶,用注射器从外室吸取溶液弃去,Hank′s液冲洗。外室加入0.2%胶原酶5 ml,放磁力振荡器120 r/min,37 ℃,60分钟,用注射器吸取外室分离的软骨细胞和酶溶液,倒入无菌离心管内。再加入胶原酶5 ml于外室消化60分钟。在含软骨细胞酶溶液中加入含10%胎牛血清DMEM,混匀,1?500 r/min离心3 min,离心后弃去上清,加少量Hank液,用记数板计数。一部分DMEM稀释至105/ml做原代培养,另一部分以106/ml混合3~5滴DMSO置液氮中冻存,用时复苏。
, http://www.100md.com
3.脂质体介导下PcDNA3-hBMP3基因转染关节软骨细胞:关节软骨细胞为有限细胞系,因此基因转染尽量采用1~3代细胞。基因转染所需DNA量、脂质体量以及转染的时机与细胞类型、种植密度以及培养皿大小均有关[12]。本实验细胞培养密度为1×105/ml细胞,培养液为含10%胎牛血清的DMEM 4 ml。亲代软骨细胞在CO2孵箱放置2天,在其对数生长期做转染。具体方法:配A液:0.5 ml消毒试管中加无血清DMEM100 μl和DNA质粒5 μg,混匀。配B液:试管加无血清培养液100 μl+10 μl脂质体,混匀。DNA-脂质体复合物(DNA-lipofectamine complexes)形成:混合A、B液, 轻轻混匀,混合后液体可出现混浊,室温下放置15~45分钟,后于混合液中加入0.79 ml无血清培养液,轻轻混匀。转染前可用DMEM冲洗细胞以排除血清对转染的影响,将DNA-脂质体复合物加入培养瓶内,培养液终体积为4 ml。37 ℃ CO2孵箱孵化12小时后,加0.5 ml血清而不移去原转染液,继续培养12小时。24小时后,换含G418 400 μg/ml正常培养液进行筛选。2天后收细胞测细胞RNA瞬时表达(transient expression),另一组细胞继续用G418筛选至4周,检测细胞RNA的稳定表达(stable expression)。
, http://www.100md.com
4.PcDNA3-hBMP3转染软骨细胞成功的验证(斑点杂交):(1)细胞基因组RNA的提取,分别取转染后的软骨细胞2×106,分别于3个5.0 ml Eppe-ndorf中,离心弃上清液,按标准方法提取细胞总RNA,后真空抽干乙醇,每管加适量的TE(pH 8.0)溶解DNA,紫外分光光度计定量,-20℃贮存备用。(2)探针标记,应用从PcDNA3-hBMP3切割下的片段为探针,使用地高辛标记盒标记;对照组包括阳性对照、内对照和外对照。(3)RNA斑点杂交:①转膜;②预杂交;③杂交,阳性对照采用BMP3植入3天的肌组织,此已被证实有高表达[13],阴性对照采用生理盐水,杂交时采用倍比稀释方法,BMP3片段为2.5 μg, 5.0 μg和10.0 μg;④洗膜;⑤显色;⑥照相。
结 果
1.兔关节软骨细胞的一般生物学特性:新鲜分离的原代细胞在最初的24小时为圆形呈悬浮状态,36小时内即可贴壁,48小时后可见细胞向外伸出突起以至逐渐形成多角形(图1)。细胞一代时间为5天。其指数生长期为接种后2~4天,经2~3代个别细胞可变成梭形。
, http://www.100md.com
图1培养状态下的兔关节软骨细胞
2.BMP3 cDNA酶切鉴定:用EcoR Ⅰ和Xba Ⅰ双酶分别切原质粒和PcDNA3-hBMP3,获得的片段在1.5%琼脂糖电泳其两条泳带距离一致,说明在PcDNA3插入的片段为原质粒上切下的片段,其余两条泳带为原质粒和真核表达载体。
3.重组真核表达载体PcDNA3-hBMP3酶切鉴定:用EcoR Ⅰ和 Xba Ⅰ双酶切PcDNA3-hBMP3,切下的片段和λDNA/Hind Ⅲ Markers于1.5%琼脂糖电泳,见有5.4 kb和1.4 kb两个片断泳带,前者为PcDNA3,后者为hBMP3,符合物理图谱, 说明基因重组成功。
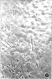
4.PcDNA3-hBMP3基因转染关节软骨细胞及其稳定表达:转染24小时后,换含G418(400 μg/ml)的DMEM进行筛选,1周内80%~90%的细胞被杀死(图2),而转染成功的零星细胞则形成新的细胞克隆(图3)。继续用G418筛选至4周,将新的克隆细胞收集,提取细胞的mRNA做斑点杂交,结果显示杂交阳性,说明克隆细胞经4周筛选后仍有外源基因的表达。
, http://www.100md.com
图2G418筛选,多数细胞死亡
图3新的细胞克隆
讨 论
软骨细胞有丝分裂活动极低,组织修复能力差。体外软骨细胞培养其有限增殖性、对接种密度的依赖以及难以保持软骨细胞表型,是软骨组织工程和建立软骨细胞库必须解决的难题。软骨细胞获得的稳定表达将使内源性BMP3增多,促进自身Ⅱ型胶原和PG的合成,有利于软骨细胞表型的保持,将为建立软骨细胞库和开展软骨组织工程创造良好条件。
基因克隆和重组DNA技术是分子生物学的核心技术。将不同来源的DNA分子定向插入到DNA分子中,形成一个新的杂合DNA分子,即定向克隆。在脂质体介导下, 这个杂合分子由于带有DNA合成的启动子和增强子, 因此在真核细胞中能扩增和表达,其表达的蛋白产物可达到人为改造细胞以及细胞遗传性状的目的。PcDNA3和hBMP3基因所在的质粒均含有EcoR Ⅰ和Xba Ⅰ两个酶切位点, 两者用双酶切后DNA两端为非同源互补的粘性末端, 两末端完全匹配,在T4DNA连接酶作用下, 即可将hBMP3片段定向地插入到PcDNA3载体中,形成能在真核中表达的重组真核表达载体PcDNA3-hBMP3。
, http://www.100md.com
通常基因转移(gene transfer)是指外源基因与宿主细胞基因组整合(chromasomal integration),理论上可长期表达的转基因过程,而基因转染常常意味外源基因不与细胞染色体整合,呈染色体外状态(episomal status),因此存在着随时间推移基因丢失的可能。这也是外源基因导入宿主细胞后的两种基本状态。导入基因与宿主细胞基因组的整合是细胞稳定表达的基础,而染色体外状态则多表现为瞬时表达。从时间上讲,细胞转染后4周以上或用G418筛选至4周细胞仍有表达,即可认为细胞存在稳定表达。PcDNA3导入宿主细胞表现为稳定表达,还是瞬时表达目前无统一的观点,从本实验结果来看,PcDNA3-hBMP3导入软骨细胞后形成了稳定的表达。
基因在大肠杆菌表达通常以质粒为载体,在体细胞表达多需病毒做载体(真核载体),但它又需要在大肠杆菌中扩增,因此也带有原核序列。载体是基因转染的关键,作为载体应具备以下条件:(1)表达型载体具有自主复制的信号,并配备有与宿主细胞相适应的起动子、增强子或加尾信号等,个别载体能够整合到宿主细胞的染色体上与基因组一同复制。(2)载体分子量要小,3~10 kb为宜,便于DNA体外操作和导入宿主细胞。(3)有一段对于它们在宿主细胞增殖非必须的DNA区域,其中含有内切酶位点,便于外源性DNA的插入。(4)载体上应有筛选标记, 如抗药性基因等(Lac Z和neor),一个检测是否插入了目的基因,另一个可检测是否导入细胞内。PcDNA3为一高效的真核表达载体,除CMV作为其启动子外,PcDNA3在其多接头位点前还附加另一高效增强子,后者是一类能促进基因转录活性的顺式调控元件,表现为:①无方向性;②远距离作用;③无基因特异性。常用的载体有逆转录病毒(RA)[14,15]、腺病毒(AV)[16,17]、腺病毒相关病毒(AAV)[18,19]和单纯疱疹病毒(HSV)[20,21]等,而乳头状瘤病毒、猿病毒、多瘤病毒、牛痘病毒、细小病毒、酵母人工染色体(YAC)和哺乳动物细胞人工染色体(MAC)等正在研究之中。
, 百拇医药
本研究有几个基本前提在实验开始前就必须考虑到:(1)需了解BMP3在靶细胞正常的表达状况,这是开展转基因研究的基础。(2)为使基因转染达到预想的目的,应以基因的蛋白产物确切的生物学效应为基础,这已被许多学者的研究所证实,当然其种系的差异对活性的影响也应考虑。(3)靶细胞选择:建系细胞对外源DNA无限制作用,生长相对稳定且存活周期长,应首选建系细胞。本研究尚无建系细胞,但非建系细胞在体外存活时间足够长(>4周)也可满足要求。(4)要有开展此项研究的最基本物质条件:有目的基因的全长DNA质粒和用于不同目的合适的表达性载体。
本研究选用有限的关节软骨细胞系(非建系细胞),在细胞2~3代进行基因转染。结果表明:兔关节软骨细胞属贴壁生长,呈多角形,4~5天一代,对数生长期为贴壁后2~4天。PcDNA3-hBMP3经酶切鉴定表明重组DNA构建成功。细胞转染后用G418筛选至4周,仍有新的细胞克隆形成,提取克隆细胞的mRNA做斑点杂交,结果表明为阳性,说明转染成功且新的细胞克隆有BMP3的表达。
, 百拇医药
PcDNA3-hBMP3转染对兔关节软骨细胞的生长曲线、DNA含量、细胞周期以及对软骨细胞Ⅱ型胶原和PG分泌的影响,尚待进一步的研究。
参考文献
1 Evans CH,Robbins PD.Possible othopedic application of gene therapy.J Bone Joint Surg(Am),1995,77:1103-1114.
2 Ghivizzani SC,Galea-Lauri J,Georgescu HI.Direct gene delivery to synovium.Arthritis Rheum,1996,39:820-828.
3 Bandara G,Robbins PD,Georgescu H.Gene transfer to synoviocytes:prospects for gene treatment of arthritis.DNA and Cell Biol,1992,11:227-231.
, http://www.100md.com
4 Bandara G,Mueller GM,Galea-lauri J.Intraarticular expression of biologically active interleukin-1-receptor-antagonist protein by ex vivo gene transfer.Proc Natl Acad Sci VSA,1993,90:10764-10768.
5 Wehling P,Schulitz KP,Robbins PD.Transfer of genes to chondrocytic cells of the lumbar spine. proposal for a treatment strategy of spinal disorders by local gene therapy.Spine,1997,22:1092-1097.
6 Kang R,Marui T,Ghivizzani SC.Ex vivo gene transfer to chondrocytes in full-thickness articular cartilage defects: a feasibility study.Osteoarthritis-cartilage,1997,5:139-143.
, 百拇医药
7 Evans C,Robins PD.Prospects for treating arthritis by gene therapy.J Rheumatol,1994,21:779-782.
8 Ghivizzani SC,Kang R,Georgescu HI.Constitutive intra-articular expression of human IL-1 beta following gene transfer to rabbit synovium produces all major pathologies of human rheumatoid arthritis.J Immunol,1997,159:3604-3612.
9 Frank P,Sams AE,Nixson AJ.Clonal analysis in vitro of chondrocyte differantiation. J Biol Chem,1989,264:377.
, 百拇医药
10 Carrington LE,Freed JC.Marquis.Dev Biol,1991,164:406.
11 魏西秦,曹峻岭,熊咏民.兔软骨细胞培养方法研究.中国地方病学杂志,1987,6:89-92.
12 Tomita T,Hashimoto H,Tomita N.In vivo direct gene transfer into articular cartilage by intraarticular injection mediated by HVJ and liposomes. Arthritis Rheum, 1997,40:901-906.
13 马真胜,胡蕴玉.骨折愈合过程中BMP4基因表达的研究.中华骨科杂志,1997,17:21-24.
14 Choudary PV,Barranger JA,Tsuji S.Retrovirus-mediated transfer of the human glucocere-brosidase gene to gaucher fibroblasts.Molec Biol Med,1986,3:293-299.
, 百拇医药
15 Hung GL,Galea-Lauri J,Mueller GM.Suppression of intra-articular responses to interleukin-1 by transfer of the interleukin-1 receptor antagonist gene to synovium.Gene Ther,1994,1:64-69.
16 Anderson WF.Human gene therapy.Science,1992,256:808-813.
17 Curiel DT,Agarwal S,Wagner E.Adenovirus enhancement of transferrin-polylysine-mediated gene delivery.Proc Natl Acad Sci VSA,1991,88:8850-8854.
18 Kotin RM.Prospects for the use of adeno-associated virus as a vector for huamn gene therapy.Hum Gene Ther,1994,5:793-801.
, 百拇医药
19 Anderson WF.Gene therapy for genetic diseases.Hum Gene Ther,1994,5:281-282.
20 Glorioso JC,Deluca NA,Goins WF.Development of herpes simplex virus vectors for gene transfer to the central nervous system. gene therapeutics,Edited by JA Wolff, 1994,281-302.
21 Arend WP.Interleukin-1 receptor antagonist.Adv Immunol,1993,54:167-227.
(收稿:1998-09-25 修回:1999-04-12), http://www.100md.com
单位:710032西安,第四军医大学西京医院全军骨科研究所(韩一生、胡蕴玉、李松建);第四军医大学生物化学教研室(惠宏襄),基因研究所(崔大祥)
关键词:转染;软骨,关节;基因;骨形态蛋白
中华外科杂志990703 【摘要】 目的 探讨外源性基因hBMP3在软骨细胞获得稳定表达的可能性。 方法 将人BMP3的cDNA构建于真核表达载体PcDNA3,形成重组真核表达载体PcDNA3-hBMP3,转染培养状态下兔关节软骨细胞。利用重组DNA和基因克隆技术构建重组真核表达载体PcDNA3-hBMP3;利用细胞培养和细胞基因转染技术体外转染hBMP3基因至关节软骨细胞;利用核酸提取(Nouthern Blot)和核酸杂交技术检测细胞转染后4周hBMP3基因的表达情况。 结果 兔关节软骨细胞属贴壁生长,呈多角形,细胞一代时间5天,指数生长期为接种后2~4天。PcDNA3-hBMP3用EcoR Ⅰ和XbaⅠ 双酶切下的片段和λDNA/Hind Ⅲ Markers于1.5%琼脂糖电泳,为5.4 kb和1.4 kb,符合各自的物理图谱,表明构建重组基因成功。细胞转染后用G418筛选至4周,仍有新的细胞克隆形成,提取克隆细胞的mRNA做斑点杂交,结果显示阳性。 结论 在脂质体的介导下,重组真核表达载体PcDNA3-hBMP3转染兔关节软骨细胞且获得了稳定表达。
, http://www.100md.com
Transfection of articular chondrocytes with PcNDA3-hBMP3 and its stable expression
HAN Yisheng*,HU Yunyu, HUI Hongxiang,et al*.
Department of Orthopedics,Xijing Hospital,Xi′an 710032.
【Abstract】 Objective To explore the possibility of stable expression of PcDNA3-hBMP3 in cultured articular chondrocytes of rabbit. Methods PcDNA3-hBMP3 was constructed using gene clone technique and recombined DNA technique. With the help of profectamine, the cultured articular chondrocytes were transfected with PcDNA3-hBMP3, and the evidence of successfully stable transfection in these cells could be obtained by positive northern blot. Results The cultured articular chondrocytes of rabbits seemed to be polygonal, and its logarithmic growth phase was 2~4 days after cell inoculation. The two fragments cut from PcDNA3-hBMP3 by EcoR Ⅰ and Xba Ⅰ represented 5.4 kb and 1.4 kb by electrophoresis, which were confirmed to be the carrier and the fragment inserted originally, indicating that the construction of PcDNA3-hBMP3 was successful. The RNA extracted from cultured chondrocytes was screened for 4 weeks by G418 hibrided with the fragment cut from hBMP3 positively. Conclusions With the help of profectamine, the cultured articular chondrocytes can be transfected by recombined gene of PcDNA3-hBMP3 successfully, and their stable expression at 4 weeks after transfection is obtained.
, 百拇医药
【Key words】 Transfection Cartilage,articular Genes Bone morphogenetic protein
基因转移(gene transfer)或基因转染(gene transfection)是分子生物学迅速发展的重要标志[1-4]。转基因通常是指将目的基因通过真核表达载体导入靶细胞,以补偿靶细胞的基因缺陷,或调节靶细胞的蛋白分泌水平,或转基因的蛋白产物可封闭靶细胞(如瘤细胞)某种致病因子,最终使靶细胞获得新的生物学行为的过程[5-8]。人BMP3(hBMP3)可促进多种来源的未分化间充质细胞向软骨细胞和成骨细胞转化, 而且对鸡肢芽软骨细胞也有促进分裂和增殖的作用,促进后者Ⅱ型胶原和氨基多糖(PG)的分泌[9,10]。本研究通过基因克隆和重组DNA技术将hBMP3的cDNA构建在真核表达载体PcDNA3上(即PcDNA3-hBMP3),转染培养状态下的兔关节软骨细胞,以探讨基因转染后软骨细胞获得稳定表达的可能性。
, http://www.100md.com
材料和方法
一、实验材料
1.hBMP3全长cDNA质粒:美国加利福尼亚州遗传研究所馈赠,1.40 kb,用限制性内切酶EcoR Ⅰ(5′酶切位点)和Xbal Ⅰ(3′酶切位点)可将cDNA自质粒上切下。
2.真核表达载体PcDNA3:5.4 kb,非功能区含EcoR Ⅰ和Xbal Ⅰ酶切位点,带有抗新霉素和氨苄青霉素的标记基因:NeoRORF和AmpRORF ,含有CMV启动子和SV40增强子。
3.PcDNA3-hBMP3构建试剂:限制性内切酶( EcoR Ⅰ、Xba Ⅰ)和T4DNA 连接酶;溴化乙锭(EB)和 Rnase A(10 mg/ml);低溶点琼脂糖和普通琼脂糖(GIBCO公司);配制LB液体培养基、选择性固体培养基、TE缓冲液(pH 8.0)和TAE 电泳缓冲液。
, 百拇医药
4.软骨消化酶:0.05%睾丸透明质酸酶、0.2%冻干胰蛋白酶和0.2%Ⅱ型梭状芽孢杆菌胶原酶,用前配制并滤菌。
5.软骨细胞培养液:采用DMEM(GIBCO公司),含5%~10%胎牛血清。
6.基因转染介导试剂:脂质体(lipofectamine,GIBCO公司),1 ml装。
7.基因转染筛选试剂:G418(新霉素),1 g装。
8.仪器:CO2孵箱,低温冷冻高速离心机,水浴恒温摇床,真空干燥仪,紫外检测仪,手提长波紫外灯,水平电泳仪,恒温烤箱,电子分析天平。
二、实验方法
1.重组真核表达载体PcDNA3-hBMP3的构建、纯度测定和鉴定:大肠杆菌DH5a感受态细胞的制备(Cohen法)→hBMP3质粒DNA细菌转化→hBMP3质粒DNA小量提取和酶切鉴定→hBMP3质粒DNA酶切片断回收(冻融法)→质粒DNA含量及纯度的测定(分光光度法)→将hBMP3定向克隆至真核表达载体PcDNA3中(粘-粘连接法)→PcDNA3-hBMP3重组质粒大量制备(碱裂解法)→PcDNA3-hBMP3重组质粒DNA纯化(Sepharose 2B柱层析法)→ PcDNA3-hBMP3重组质粒含量纯度测定。PcDNA3-hBMP3的酶切鉴定:用EcoR Ⅰ和Xba Ⅰ双酶切,切下片段需电泳鉴定。
, 百拇医药
2.软骨细胞分离、培养和冻存:取出生28天新西兰兔,无菌条件取肱骨、胫骨和股骨远端,利刀削软骨成薄片移入培养皿,Hank′s液冲洗。加0.05%透明质酸酶10 ml室温下3分钟,弃酶液、Hank′s液冲洗。将软骨切成1 mm3组织块移入消化小室的内室(消化小室分内外室[11],内室放软骨和磁棒,下端用45μm尼龙网套住;外室于内室之外,放酶溶液和消化分离的软骨细胞),于外室加0.2%胰蛋白酶5 ml,磁力振荡器120 r/min,37 ℃,30分钟,取出消化瓶,用注射器从外室吸取溶液弃去,Hank′s液冲洗。外室加入0.2%胶原酶5 ml,放磁力振荡器120 r/min,37 ℃,60分钟,用注射器吸取外室分离的软骨细胞和酶溶液,倒入无菌离心管内。再加入胶原酶5 ml于外室消化60分钟。在含软骨细胞酶溶液中加入含10%胎牛血清DMEM,混匀,1?500 r/min离心3 min,离心后弃去上清,加少量Hank液,用记数板计数。一部分DMEM稀释至105/ml做原代培养,另一部分以106/ml混合3~5滴DMSO置液氮中冻存,用时复苏。
, http://www.100md.com
3.脂质体介导下PcDNA3-hBMP3基因转染关节软骨细胞:关节软骨细胞为有限细胞系,因此基因转染尽量采用1~3代细胞。基因转染所需DNA量、脂质体量以及转染的时机与细胞类型、种植密度以及培养皿大小均有关[12]。本实验细胞培养密度为1×105/ml细胞,培养液为含10%胎牛血清的DMEM 4 ml。亲代软骨细胞在CO2孵箱放置2天,在其对数生长期做转染。具体方法:配A液:0.5 ml消毒试管中加无血清DMEM100 μl和DNA质粒5 μg,混匀。配B液:试管加无血清培养液100 μl+10 μl脂质体,混匀。DNA-脂质体复合物(DNA-lipofectamine complexes)形成:混合A、B液, 轻轻混匀,混合后液体可出现混浊,室温下放置15~45分钟,后于混合液中加入0.79 ml无血清培养液,轻轻混匀。转染前可用DMEM冲洗细胞以排除血清对转染的影响,将DNA-脂质体复合物加入培养瓶内,培养液终体积为4 ml。37 ℃ CO2孵箱孵化12小时后,加0.5 ml血清而不移去原转染液,继续培养12小时。24小时后,换含G418 400 μg/ml正常培养液进行筛选。2天后收细胞测细胞RNA瞬时表达(transient expression),另一组细胞继续用G418筛选至4周,检测细胞RNA的稳定表达(stable expression)。
, http://www.100md.com
4.PcDNA3-hBMP3转染软骨细胞成功的验证(斑点杂交):(1)细胞基因组RNA的提取,分别取转染后的软骨细胞2×106,分别于3个5.0 ml Eppe-ndorf中,离心弃上清液,按标准方法提取细胞总RNA,后真空抽干乙醇,每管加适量的TE(pH 8.0)溶解DNA,紫外分光光度计定量,-20℃贮存备用。(2)探针标记,应用从PcDNA3-hBMP3切割下的片段为探针,使用地高辛标记盒标记;对照组包括阳性对照、内对照和外对照。(3)RNA斑点杂交:①转膜;②预杂交;③杂交,阳性对照采用BMP3植入3天的肌组织,此已被证实有高表达[13],阴性对照采用生理盐水,杂交时采用倍比稀释方法,BMP3片段为2.5 μg, 5.0 μg和10.0 μg;④洗膜;⑤显色;⑥照相。
结 果
1.兔关节软骨细胞的一般生物学特性:新鲜分离的原代细胞在最初的24小时为圆形呈悬浮状态,36小时内即可贴壁,48小时后可见细胞向外伸出突起以至逐渐形成多角形(图1)。细胞一代时间为5天。其指数生长期为接种后2~4天,经2~3代个别细胞可变成梭形。
, http://www.100md.com
图1培养状态下的兔关节软骨细胞
2.BMP3 cDNA酶切鉴定:用EcoR Ⅰ和Xba Ⅰ双酶分别切原质粒和PcDNA3-hBMP3,获得的片段在1.5%琼脂糖电泳其两条泳带距离一致,说明在PcDNA3插入的片段为原质粒上切下的片段,其余两条泳带为原质粒和真核表达载体。
3.重组真核表达载体PcDNA3-hBMP3酶切鉴定:用EcoR Ⅰ和 Xba Ⅰ双酶切PcDNA3-hBMP3,切下的片段和λDNA/Hind Ⅲ Markers于1.5%琼脂糖电泳,见有5.4 kb和1.4 kb两个片断泳带,前者为PcDNA3,后者为hBMP3,符合物理图谱, 说明基因重组成功。
4.PcDNA3-hBMP3基因转染关节软骨细胞及其稳定表达:转染24小时后,换含G418(400 μg/ml)的DMEM进行筛选,1周内80%~90%的细胞被杀死(图2),而转染成功的零星细胞则形成新的细胞克隆(图3)。继续用G418筛选至4周,将新的克隆细胞收集,提取细胞的mRNA做斑点杂交,结果显示杂交阳性,说明克隆细胞经4周筛选后仍有外源基因的表达。
, http://www.100md.com
图2G418筛选,多数细胞死亡
图3新的细胞克隆
讨 论
软骨细胞有丝分裂活动极低,组织修复能力差。体外软骨细胞培养其有限增殖性、对接种密度的依赖以及难以保持软骨细胞表型,是软骨组织工程和建立软骨细胞库必须解决的难题。软骨细胞获得的稳定表达将使内源性BMP3增多,促进自身Ⅱ型胶原和PG的合成,有利于软骨细胞表型的保持,将为建立软骨细胞库和开展软骨组织工程创造良好条件。
基因克隆和重组DNA技术是分子生物学的核心技术。将不同来源的DNA分子定向插入到DNA分子中,形成一个新的杂合DNA分子,即定向克隆。在脂质体介导下, 这个杂合分子由于带有DNA合成的启动子和增强子, 因此在真核细胞中能扩增和表达,其表达的蛋白产物可达到人为改造细胞以及细胞遗传性状的目的。PcDNA3和hBMP3基因所在的质粒均含有EcoR Ⅰ和Xba Ⅰ两个酶切位点, 两者用双酶切后DNA两端为非同源互补的粘性末端, 两末端完全匹配,在T4DNA连接酶作用下, 即可将hBMP3片段定向地插入到PcDNA3载体中,形成能在真核中表达的重组真核表达载体PcDNA3-hBMP3。
, http://www.100md.com
通常基因转移(gene transfer)是指外源基因与宿主细胞基因组整合(chromasomal integration),理论上可长期表达的转基因过程,而基因转染常常意味外源基因不与细胞染色体整合,呈染色体外状态(episomal status),因此存在着随时间推移基因丢失的可能。这也是外源基因导入宿主细胞后的两种基本状态。导入基因与宿主细胞基因组的整合是细胞稳定表达的基础,而染色体外状态则多表现为瞬时表达。从时间上讲,细胞转染后4周以上或用G418筛选至4周细胞仍有表达,即可认为细胞存在稳定表达。PcDNA3导入宿主细胞表现为稳定表达,还是瞬时表达目前无统一的观点,从本实验结果来看,PcDNA3-hBMP3导入软骨细胞后形成了稳定的表达。
基因在大肠杆菌表达通常以质粒为载体,在体细胞表达多需病毒做载体(真核载体),但它又需要在大肠杆菌中扩增,因此也带有原核序列。载体是基因转染的关键,作为载体应具备以下条件:(1)表达型载体具有自主复制的信号,并配备有与宿主细胞相适应的起动子、增强子或加尾信号等,个别载体能够整合到宿主细胞的染色体上与基因组一同复制。(2)载体分子量要小,3~10 kb为宜,便于DNA体外操作和导入宿主细胞。(3)有一段对于它们在宿主细胞增殖非必须的DNA区域,其中含有内切酶位点,便于外源性DNA的插入。(4)载体上应有筛选标记, 如抗药性基因等(Lac Z和neor),一个检测是否插入了目的基因,另一个可检测是否导入细胞内。PcDNA3为一高效的真核表达载体,除CMV作为其启动子外,PcDNA3在其多接头位点前还附加另一高效增强子,后者是一类能促进基因转录活性的顺式调控元件,表现为:①无方向性;②远距离作用;③无基因特异性。常用的载体有逆转录病毒(RA)[14,15]、腺病毒(AV)[16,17]、腺病毒相关病毒(AAV)[18,19]和单纯疱疹病毒(HSV)[20,21]等,而乳头状瘤病毒、猿病毒、多瘤病毒、牛痘病毒、细小病毒、酵母人工染色体(YAC)和哺乳动物细胞人工染色体(MAC)等正在研究之中。
, 百拇医药
本研究有几个基本前提在实验开始前就必须考虑到:(1)需了解BMP3在靶细胞正常的表达状况,这是开展转基因研究的基础。(2)为使基因转染达到预想的目的,应以基因的蛋白产物确切的生物学效应为基础,这已被许多学者的研究所证实,当然其种系的差异对活性的影响也应考虑。(3)靶细胞选择:建系细胞对外源DNA无限制作用,生长相对稳定且存活周期长,应首选建系细胞。本研究尚无建系细胞,但非建系细胞在体外存活时间足够长(>4周)也可满足要求。(4)要有开展此项研究的最基本物质条件:有目的基因的全长DNA质粒和用于不同目的合适的表达性载体。
本研究选用有限的关节软骨细胞系(非建系细胞),在细胞2~3代进行基因转染。结果表明:兔关节软骨细胞属贴壁生长,呈多角形,4~5天一代,对数生长期为贴壁后2~4天。PcDNA3-hBMP3经酶切鉴定表明重组DNA构建成功。细胞转染后用G418筛选至4周,仍有新的细胞克隆形成,提取克隆细胞的mRNA做斑点杂交,结果表明为阳性,说明转染成功且新的细胞克隆有BMP3的表达。
, 百拇医药
PcDNA3-hBMP3转染对兔关节软骨细胞的生长曲线、DNA含量、细胞周期以及对软骨细胞Ⅱ型胶原和PG分泌的影响,尚待进一步的研究。
参考文献
1 Evans CH,Robbins PD.Possible othopedic application of gene therapy.J Bone Joint Surg(Am),1995,77:1103-1114.
2 Ghivizzani SC,Galea-Lauri J,Georgescu HI.Direct gene delivery to synovium.Arthritis Rheum,1996,39:820-828.
3 Bandara G,Robbins PD,Georgescu H.Gene transfer to synoviocytes:prospects for gene treatment of arthritis.DNA and Cell Biol,1992,11:227-231.
, http://www.100md.com
4 Bandara G,Mueller GM,Galea-lauri J.Intraarticular expression of biologically active interleukin-1-receptor-antagonist protein by ex vivo gene transfer.Proc Natl Acad Sci VSA,1993,90:10764-10768.
5 Wehling P,Schulitz KP,Robbins PD.Transfer of genes to chondrocytic cells of the lumbar spine. proposal for a treatment strategy of spinal disorders by local gene therapy.Spine,1997,22:1092-1097.
6 Kang R,Marui T,Ghivizzani SC.Ex vivo gene transfer to chondrocytes in full-thickness articular cartilage defects: a feasibility study.Osteoarthritis-cartilage,1997,5:139-143.
, 百拇医药
7 Evans C,Robins PD.Prospects for treating arthritis by gene therapy.J Rheumatol,1994,21:779-782.
8 Ghivizzani SC,Kang R,Georgescu HI.Constitutive intra-articular expression of human IL-1 beta following gene transfer to rabbit synovium produces all major pathologies of human rheumatoid arthritis.J Immunol,1997,159:3604-3612.
9 Frank P,Sams AE,Nixson AJ.Clonal analysis in vitro of chondrocyte differantiation. J Biol Chem,1989,264:377.
, 百拇医药
10 Carrington LE,Freed JC.Marquis.Dev Biol,1991,164:406.
11 魏西秦,曹峻岭,熊咏民.兔软骨细胞培养方法研究.中国地方病学杂志,1987,6:89-92.
12 Tomita T,Hashimoto H,Tomita N.In vivo direct gene transfer into articular cartilage by intraarticular injection mediated by HVJ and liposomes. Arthritis Rheum, 1997,40:901-906.
13 马真胜,胡蕴玉.骨折愈合过程中BMP4基因表达的研究.中华骨科杂志,1997,17:21-24.
14 Choudary PV,Barranger JA,Tsuji S.Retrovirus-mediated transfer of the human glucocere-brosidase gene to gaucher fibroblasts.Molec Biol Med,1986,3:293-299.
, 百拇医药
15 Hung GL,Galea-Lauri J,Mueller GM.Suppression of intra-articular responses to interleukin-1 by transfer of the interleukin-1 receptor antagonist gene to synovium.Gene Ther,1994,1:64-69.
16 Anderson WF.Human gene therapy.Science,1992,256:808-813.
17 Curiel DT,Agarwal S,Wagner E.Adenovirus enhancement of transferrin-polylysine-mediated gene delivery.Proc Natl Acad Sci VSA,1991,88:8850-8854.
18 Kotin RM.Prospects for the use of adeno-associated virus as a vector for huamn gene therapy.Hum Gene Ther,1994,5:793-801.
, 百拇医药
19 Anderson WF.Gene therapy for genetic diseases.Hum Gene Ther,1994,5:281-282.
20 Glorioso JC,Deluca NA,Goins WF.Development of herpes simplex virus vectors for gene transfer to the central nervous system. gene therapeutics,Edited by JA Wolff, 1994,281-302.
21 Arend WP.Interleukin-1 receptor antagonist.Adv Immunol,1993,54:167-227.
(收稿:1998-09-25 修回:1999-04-12), http://www.100md.com