三叉神经鞘瘤的MRI诊断
作者:李春芳 王承缘 朱文珍
单位:李春芳(434000 湖北省荆州市第一医院影像中心);王承缘 朱文珍(430030 同济医科大学附属同济医院放射科)
关键词:三叉神经;神经鞘瘤;磁共振成像
放射学实践990210 【摘要】 目的:分析三叉神经鞘瘤的MRI表现。方法:搜集经手术和病理证实的三叉神经鞘瘤6例,其中并发神经纤维瘤病2例,均行MR平扫及增强检查。结果:肿瘤MR表现以哑铃状骑跨征为主。肿瘤大多为实性,边界清楚,有完整的包膜肿瘤呈等、混杂或长T1、长T2信号,注射Gd-DTPA后实性病灶呈均匀强化,囊性病灶呈环状强化。结论:MRI以其特有的多方位断层、多参数成像对三叉神经鞘瘤的定位、定性诊断具有很高的准确性。
MRI diagnosis of trigeminal neurinoma
, http://www.100md.com
Li Chunfang,Wang Chengyuan,Zhu Wenzhen.
(Department of Radiology,Hubei Jinzhou First Hospital,Jinzhou 434000)
【Abstract】 Purpose:To analyse MRI manifestations of trigeminal neurinoma.Methods:6 cases of trigeminal neurinoma proved by surgury and pathology were studied.Plain and Gadolinium-enhanced MRI were performed.Results:Most trigeminal neurinnoma were demarcated and encapsulated tumors,mild hypointensity on T1WI and hyperintensity on T2WI.Gadolinium-enhanced MRI demonstrated unifom enhancement in solid lesion and ring-like enhancement in cystic lesion.Conclusion:MRI is an excellent method in the diagnosis of trigeminal neurinoma.
, 百拇医药
【Key words】 Trigeminal nerve Neurinoma MR imaging
三叉神经鞘瘤是一种较少见的颅内肿瘤,随着CT、MRI等新的影像技术的临床应用,本病的诊断准确性不断提高。为了增强对本病MRI的认识,我们总结了6例经手术病理证实的三叉神经鞘瘤,并对其MRI表现进行了分析。
材料与方法
本文收集了1995年~1998年3月间行MRI检查并经手术病理证实的三叉神经鞘瘤6例,男2例、女4例,年龄18~64岁,平均45.8岁。病史最长达8年最短为1个月。6例中2例并发神经纤维瘤病。主要临床表现和症状:头痛;患侧面部进行性麻木、感觉异常、重者有面瘫(2例);所有病例均有第Ⅴ颅神经受损体征,3例因累及第Ⅲ、Ⅳ、Ⅵ颅神经引起相应的症状如复视、眼球运动受限、眼球突出、角膜反射减退等;3例因压迫小脑、脑干引起共济失调。
, http://www.100md.com
所有患者均行MR平扫增强。检查设备为GE1.5T Signa advantge磁共振仪。平扫采用自旋回波(SE)脉冲序列和快速自旋回波(FSE)脉冲序列,行T1WI矢状位、T2WI轴位扫描。T1WI:TR400~600ms,TE16~20ms;T2WITR2500~3500ms,TE85~100ms。扫描层厚5mm,间距2mm。扫描矩阵256×256,平均激励次数(NEX)2次。增强扫描造影剂Gd-DTPA0.1mmol/kg,采用常规SE脉冲序列T1WI轴位及3D/FSPGR/20 0.9mm薄层无间距扫描后矢、冠、轴位重建成像。
结 果
6例中5例为单发病灶,1例为多发病灶。其中左侧3例、右侧4例,共7个肿瘤。肿瘤最大为6.4cm×3.1cm×3.0cm,最小为2.8cm×1.5cm×1.0cm。MR检查示5例单发肿瘤呈哑铃状骑跨于中后颅窝之间(图1、2),1例除见骑跨征象外,其另1病灶呈卵圆形位于中颅窝。肿瘤有5个发生囊变,且4个较大的囊腔均位于后颅窝,而2例并发神经纤维瘤病者基本为实性,仅一个肿瘤在中后颅窝均有多个小囊腔(图3、4)。位于中颅窝的肿瘤边界都清楚,周边见完整肿瘤包膜,多呈等或混杂T1长T2信号。而位于后颅窝的肿瘤边界清楚,但大部分无肿瘤包膜,呈长T1长T2信号。注射Gd-DTPA后扫描,肿瘤实体部分均匀强化,囊性部分呈环状、结节状强化(图5、6)。位于中颅窝半月节的肿瘤均累及海绵窦、Meckl氏腔(图7、8),同时还对颞叶深部的海马回等产生压迫。位于神经根的肿瘤对小脑、脑干、桥小脑角池及第四脑室产生压迫,引起相应的MRI表现。
, 百拇医药
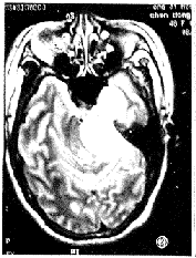
图1 左侧三叉神经鞘瘤。横轴位T1加权像显示肿瘤呈哑铃形,骑跨于中后颅窝之间,呈混杂稍低信号,中颅窝肿瘤边界清楚,可见肿瘤包膜,后颅窝肿瘤发生囊变,边界模糊,无肿瘤包膜。
图2 同图1病例,横轴位T2加权像显示肿瘤呈较均匀高信号,第四脑和脑干受压变形,同侧海绵窦受侵。
图3 同图1病例,注射Gd-DTPA后横轴位T1加权像显示中颅窝实性肿瘤呈均匀强化,后颅窝囊性肿瘤壁呈环状强化。
图4 右侧三叉神经鞘瘤。横轴位T1加权像显示肿瘤呈哑铃形骑跨于中后颅窝,呈混杂等或稍低信号,第四脑室受压变形,右岩骨尖骨质吸收。
, http://www.100md.com
图5 同图4病例,横轴位T2加权像显示肿瘤呈较均匀高信号。
图6 同图4病例,注射Gd-DTPA后横轴位T1加权像显示肿瘤实性部分呈均匀强化,囊性部分呈环状强化。

图7、8 双侧三叉神经鞘瘤。注射Gd-DTPA增强3D-FSPGR重建轴位像显示右侧肿瘤呈哑铃状骑跨于中后颅窝,左侧肿瘤呈斜卵形位于半月神经节。肿瘤均为实性,呈均匀强化,双侧海绵窦受侵。
手术所见 位于鞍旁的肿瘤均生长于硬膜外,硬膜被肿瘤抬起,边界清楚。位于后颅窝的肿瘤均生长于硬膜下,边界不清。实性部分肿瘤质韧、呈灰白色。囊性部分肿瘤内为清亮或黄绿色液体。
, 百拇医药
讨 论
三叉神经鞘瘤为起源于三叉神经半月节或三叉神经鞘的脑外良性肿瘤,占颅内肿瘤的0.2%~1%,占颅神经鞘瘤的4%~6%,其发病率仅次于听神经瘤[1]。常在30~60岁出现临床表现,女性多于男性(4∶2)。可并发神经纤维瘤病Ⅱ型,且发病年龄相对较轻(2例)。大多数原发病灶为单发,并发神经纤维瘤病时为多发(1例)。
三叉神经鞘瘤的发生部位据文献统计[2,3],46%的病灶位于中颅窝三叉神经半月节;29%的病灶位于后颅窝三叉神经根部;另25%的病灶呈哑铃状骑跨于中、后颅窝之间。本组病例6个病灶呈哑铃状骑跨于中后颅窝之间,1个病灶呈卵圆形位于中颅窝,与文献报告有所不同。
骑跨于中后颅窝之间呈哑铃状是三叉神经鞘瘤典型的形态特征。发生于中颅窝半月节的肿瘤位于硬膜外,由于受硬脑膜的限制,一般病灶相对较小,实性瘤体较多,形态规则,边界清楚,有完整或部分完整肿瘤包膜。发生于后颅窝神经根部肿瘤位于硬膜内,由于不受硬脑膜限制,往往瘤体较大,呈膨胀性生长,易发生囊变,故囊性瘤体较多,往往边界较模糊,多无肿瘤包膜。本组病例还表明,肿瘤单发病灶发生囊变较多,并发神经纤维瘤病、多发病灶则以实性肿瘤较多。
, http://www.100md.com
三叉神经鞘瘤的MRI信号无特征性表现[4,5],肿瘤为实性时呈等T1或混杂T1、长T2信号,肿瘤为囊性时则呈长T1长T2信号。肿瘤周围几乎无水肿。增强MR扫描时实体肿瘤为均匀强化,囊性肿瘤为环状、结节状强化。
三叉神经鞘瘤的鉴别诊断主要应同桥小脑角(CPA)和鞍旁Meckl氏腔部位的脑膜瘤、胆脂瘤及听神经瘤等相鉴别[6]。位于CPA的听神经瘤往往位置偏后,伴有内听道扩大,听神经形态异常,也不形成跨颅窝的肿块,而三叉神经鞘瘤患者往往能显示正常的听神经。CPA和Meckl氏腔的脑膜瘤常可累及中后颅窝,但脑膜瘤多为椭圆形,很少呈哑铃形。在MRI信号上脑膜瘤具有特征性的等T1等T2信号,三叉神经鞘瘤T2信号明显高于脑膜瘤。增强扫描脑膜瘤较三叉神经鞘瘤强化更明显,脑膜瘤也很少环状强化。位于CPA的胆脂瘤大都形态规则,边缘锐利,在MRI信号上较三叉神经鞘瘤呈更低的长T1信号,增强扫描胆脂瘤不强化,三叉神经鞘瘤均有强化。
, http://www.100md.com
在扫描方式上我们体会:除用常规SE脉冲序列外,采用SPGR除能缩短成像时间外,还具有密度分辨率高的特点,对显示肿瘤的内部结构和环状强化均较SE序列好。并可做进一步图像后处理。
综上所述,三叉神经鞘瘤的MRI检查以其特有的多方位、多参数成像不仅可以作出准确的定位诊断,而且根据其不同的MRI表现也可以作出较准确的定性诊断。
参考文献
1 Daniele R,Robeit FS,Andrew S,et al. Megnetic resonance imaging and trigeminal schwannoma.Surg Neurol,1987, 28∶67.
2 Richard HL,Richard TR,John PS, et al.Trigeminal nerve tumon comparison of CT and MRI:case report. J Neurosury,1987,67∶124.
, 百拇医药
3 Lesoin F,Rousseaux M,Villette L,et al.Neurinomas of the trigeminal nerve.Acta Neurochir(Wien),1986, 82∶118.
4 Stark DD,Bradley WG.Magnetie resonance imaging.St.Louis:Mosby,1988, 425.
5 陶晓峰,施增儒.三叉神经鞘瘤的磁共振检查.中华神经外科杂志,1992,8(4)∶296.
6 缪飞,沈天真,陈星荣,等.听神经瘤的MRI诊断.中华放射学杂志,1994,28∶525.
(1999-01-05 收稿), http://www.100md.com
单位:李春芳(434000 湖北省荆州市第一医院影像中心);王承缘 朱文珍(430030 同济医科大学附属同济医院放射科)
关键词:三叉神经;神经鞘瘤;磁共振成像
放射学实践990210 【摘要】 目的:分析三叉神经鞘瘤的MRI表现。方法:搜集经手术和病理证实的三叉神经鞘瘤6例,其中并发神经纤维瘤病2例,均行MR平扫及增强检查。结果:肿瘤MR表现以哑铃状骑跨征为主。肿瘤大多为实性,边界清楚,有完整的包膜肿瘤呈等、混杂或长T1、长T2信号,注射Gd-DTPA后实性病灶呈均匀强化,囊性病灶呈环状强化。结论:MRI以其特有的多方位断层、多参数成像对三叉神经鞘瘤的定位、定性诊断具有很高的准确性。
MRI diagnosis of trigeminal neurinoma
, http://www.100md.com
Li Chunfang,Wang Chengyuan,Zhu Wenzhen.
(Department of Radiology,Hubei Jinzhou First Hospital,Jinzhou 434000)
【Abstract】 Purpose:To analyse MRI manifestations of trigeminal neurinoma.Methods:6 cases of trigeminal neurinoma proved by surgury and pathology were studied.Plain and Gadolinium-enhanced MRI were performed.Results:Most trigeminal neurinnoma were demarcated and encapsulated tumors,mild hypointensity on T1WI and hyperintensity on T2WI.Gadolinium-enhanced MRI demonstrated unifom enhancement in solid lesion and ring-like enhancement in cystic lesion.Conclusion:MRI is an excellent method in the diagnosis of trigeminal neurinoma.
, 百拇医药
【Key words】 Trigeminal nerve Neurinoma MR imaging
三叉神经鞘瘤是一种较少见的颅内肿瘤,随着CT、MRI等新的影像技术的临床应用,本病的诊断准确性不断提高。为了增强对本病MRI的认识,我们总结了6例经手术病理证实的三叉神经鞘瘤,并对其MRI表现进行了分析。
材料与方法
本文收集了1995年~1998年3月间行MRI检查并经手术病理证实的三叉神经鞘瘤6例,男2例、女4例,年龄18~64岁,平均45.8岁。病史最长达8年最短为1个月。6例中2例并发神经纤维瘤病。主要临床表现和症状:头痛;患侧面部进行性麻木、感觉异常、重者有面瘫(2例);所有病例均有第Ⅴ颅神经受损体征,3例因累及第Ⅲ、Ⅳ、Ⅵ颅神经引起相应的症状如复视、眼球运动受限、眼球突出、角膜反射减退等;3例因压迫小脑、脑干引起共济失调。
, http://www.100md.com
所有患者均行MR平扫增强。检查设备为GE1.5T Signa advantge磁共振仪。平扫采用自旋回波(SE)脉冲序列和快速自旋回波(FSE)脉冲序列,行T1WI矢状位、T2WI轴位扫描。T1WI:TR400~600ms,TE16~20ms;T2WITR2500~3500ms,TE85~100ms。扫描层厚5mm,间距2mm。扫描矩阵256×256,平均激励次数(NEX)2次。增强扫描造影剂Gd-DTPA0.1mmol/kg,采用常规SE脉冲序列T1WI轴位及3D/FSPGR/20 0.9mm薄层无间距扫描后矢、冠、轴位重建成像。
结 果
6例中5例为单发病灶,1例为多发病灶。其中左侧3例、右侧4例,共7个肿瘤。肿瘤最大为6.4cm×3.1cm×3.0cm,最小为2.8cm×1.5cm×1.0cm。MR检查示5例单发肿瘤呈哑铃状骑跨于中后颅窝之间(图1、2),1例除见骑跨征象外,其另1病灶呈卵圆形位于中颅窝。肿瘤有5个发生囊变,且4个较大的囊腔均位于后颅窝,而2例并发神经纤维瘤病者基本为实性,仅一个肿瘤在中后颅窝均有多个小囊腔(图3、4)。位于中颅窝的肿瘤边界都清楚,周边见完整肿瘤包膜,多呈等或混杂T1长T2信号。而位于后颅窝的肿瘤边界清楚,但大部分无肿瘤包膜,呈长T1长T2信号。注射Gd-DTPA后扫描,肿瘤实体部分均匀强化,囊性部分呈环状、结节状强化(图5、6)。位于中颅窝半月节的肿瘤均累及海绵窦、Meckl氏腔(图7、8),同时还对颞叶深部的海马回等产生压迫。位于神经根的肿瘤对小脑、脑干、桥小脑角池及第四脑室产生压迫,引起相应的MRI表现。
, 百拇医药
图1 左侧三叉神经鞘瘤。横轴位T1加权像显示肿瘤呈哑铃形,骑跨于中后颅窝之间,呈混杂稍低信号,中颅窝肿瘤边界清楚,可见肿瘤包膜,后颅窝肿瘤发生囊变,边界模糊,无肿瘤包膜。
图2 同图1病例,横轴位T2加权像显示肿瘤呈较均匀高信号,第四脑和脑干受压变形,同侧海绵窦受侵。
图3 同图1病例,注射Gd-DTPA后横轴位T1加权像显示中颅窝实性肿瘤呈均匀强化,后颅窝囊性肿瘤壁呈环状强化。
图4 右侧三叉神经鞘瘤。横轴位T1加权像显示肿瘤呈哑铃形骑跨于中后颅窝,呈混杂等或稍低信号,第四脑室受压变形,右岩骨尖骨质吸收。
, http://www.100md.com
图5 同图4病例,横轴位T2加权像显示肿瘤呈较均匀高信号。
图6 同图4病例,注射Gd-DTPA后横轴位T1加权像显示肿瘤实性部分呈均匀强化,囊性部分呈环状强化。
图7、8 双侧三叉神经鞘瘤。注射Gd-DTPA增强3D-FSPGR重建轴位像显示右侧肿瘤呈哑铃状骑跨于中后颅窝,左侧肿瘤呈斜卵形位于半月神经节。肿瘤均为实性,呈均匀强化,双侧海绵窦受侵。
手术所见 位于鞍旁的肿瘤均生长于硬膜外,硬膜被肿瘤抬起,边界清楚。位于后颅窝的肿瘤均生长于硬膜下,边界不清。实性部分肿瘤质韧、呈灰白色。囊性部分肿瘤内为清亮或黄绿色液体。
, 百拇医药
讨 论
三叉神经鞘瘤为起源于三叉神经半月节或三叉神经鞘的脑外良性肿瘤,占颅内肿瘤的0.2%~1%,占颅神经鞘瘤的4%~6%,其发病率仅次于听神经瘤[1]。常在30~60岁出现临床表现,女性多于男性(4∶2)。可并发神经纤维瘤病Ⅱ型,且发病年龄相对较轻(2例)。大多数原发病灶为单发,并发神经纤维瘤病时为多发(1例)。
三叉神经鞘瘤的发生部位据文献统计[2,3],46%的病灶位于中颅窝三叉神经半月节;29%的病灶位于后颅窝三叉神经根部;另25%的病灶呈哑铃状骑跨于中、后颅窝之间。本组病例6个病灶呈哑铃状骑跨于中后颅窝之间,1个病灶呈卵圆形位于中颅窝,与文献报告有所不同。
骑跨于中后颅窝之间呈哑铃状是三叉神经鞘瘤典型的形态特征。发生于中颅窝半月节的肿瘤位于硬膜外,由于受硬脑膜的限制,一般病灶相对较小,实性瘤体较多,形态规则,边界清楚,有完整或部分完整肿瘤包膜。发生于后颅窝神经根部肿瘤位于硬膜内,由于不受硬脑膜限制,往往瘤体较大,呈膨胀性生长,易发生囊变,故囊性瘤体较多,往往边界较模糊,多无肿瘤包膜。本组病例还表明,肿瘤单发病灶发生囊变较多,并发神经纤维瘤病、多发病灶则以实性肿瘤较多。
, http://www.100md.com
三叉神经鞘瘤的MRI信号无特征性表现[4,5],肿瘤为实性时呈等T1或混杂T1、长T2信号,肿瘤为囊性时则呈长T1长T2信号。肿瘤周围几乎无水肿。增强MR扫描时实体肿瘤为均匀强化,囊性肿瘤为环状、结节状强化。
三叉神经鞘瘤的鉴别诊断主要应同桥小脑角(CPA)和鞍旁Meckl氏腔部位的脑膜瘤、胆脂瘤及听神经瘤等相鉴别[6]。位于CPA的听神经瘤往往位置偏后,伴有内听道扩大,听神经形态异常,也不形成跨颅窝的肿块,而三叉神经鞘瘤患者往往能显示正常的听神经。CPA和Meckl氏腔的脑膜瘤常可累及中后颅窝,但脑膜瘤多为椭圆形,很少呈哑铃形。在MRI信号上脑膜瘤具有特征性的等T1等T2信号,三叉神经鞘瘤T2信号明显高于脑膜瘤。增强扫描脑膜瘤较三叉神经鞘瘤强化更明显,脑膜瘤也很少环状强化。位于CPA的胆脂瘤大都形态规则,边缘锐利,在MRI信号上较三叉神经鞘瘤呈更低的长T1信号,增强扫描胆脂瘤不强化,三叉神经鞘瘤均有强化。
, http://www.100md.com
在扫描方式上我们体会:除用常规SE脉冲序列外,采用SPGR除能缩短成像时间外,还具有密度分辨率高的特点,对显示肿瘤的内部结构和环状强化均较SE序列好。并可做进一步图像后处理。
综上所述,三叉神经鞘瘤的MRI检查以其特有的多方位、多参数成像不仅可以作出准确的定位诊断,而且根据其不同的MRI表现也可以作出较准确的定性诊断。
参考文献
1 Daniele R,Robeit FS,Andrew S,et al. Megnetic resonance imaging and trigeminal schwannoma.Surg Neurol,1987, 28∶67.
2 Richard HL,Richard TR,John PS, et al.Trigeminal nerve tumon comparison of CT and MRI:case report. J Neurosury,1987,67∶124.
, 百拇医药
3 Lesoin F,Rousseaux M,Villette L,et al.Neurinomas of the trigeminal nerve.Acta Neurochir(Wien),1986, 82∶118.
4 Stark DD,Bradley WG.Magnetie resonance imaging.St.Louis:Mosby,1988, 425.
5 陶晓峰,施增儒.三叉神经鞘瘤的磁共振检查.中华神经外科杂志,1992,8(4)∶296.
6 缪飞,沈天真,陈星荣,等.听神经瘤的MRI诊断.中华放射学杂志,1994,28∶525.
(1999-01-05 收稿), http://www.100md.com