维持性血液透析患者并发严重肺出血
作者:胡伟新 黎磊石
单位:南京军区南京总医院 解放军肾脏病研究所 南京,210002
关键词:血液透析;肺出血;微型多血管炎
1 病情摘要1 病情摘要
1.1 病史 48岁女性患者,进行维持性血液透析治疗3个月之后出现严重咯血伴呼吸困难于1998-10-09入院。
患者1998年3月起出现恶心,呕吐,一个月后检查发现血清肌酐(SCr)升高达500 μmol/L,尿蛋白3+,尿红细胞+,血压正常,尿量2000 ml/d,夜尿2~4次,在当地医院输液治疗后出现严重浮肿、不能平卧,SCr上升至700μmol/L,外院开始行血液透析(血透)半个月,因血透中反复出现高热被迫停止血透,给予非透析治疗近一个月后因病情日益危重于1998-07-11转入我院。当时患者全身高度浮肿,Ⅲ度全心衰竭,胸片显示心脏增大,两侧胸腔积液,肺郁血,Hb 71g/L,SCr 1000μmol/L,ΒUN35.5mmol/L。经紧急血透数次脱水后浮肿渐退、心衰症状明显好转,但夜间仍不能完全平卧。尿量由1000ml/d减少至100~200ml/d。检查双肾体积无缩小(左肾103mm×47.9mm,右肾104mm×44mm),但皮质回声增强。尿蛋白3+,尿红细胞2+,WBC 0~2/HP。超声心动图显示左心房及左心室扩大,二尖瓣返流,中等量心包积液。在门诊行维持性血透过程中患者开始有轻微咳嗽,咳白痰,有时痰中混有很少量鲜红色血丝,每日1~2次。十余天后出现发热,体温38.5℃,痰中带血量逐渐增多,有时见暗红色血块。给予氨苄西林注射3天后体温降至正常,但咯血无好转,胸部X片显示右上肺片状渗出性阴影(图1)。曾继续抗感染治疗,咯血继续加重,发展为咯满口暗红色或鲜红色血痰,每日约200ml,再次发热(38~39℃),复查胸片发现两肺渗出性病灶明显加重(图2),乃急诊收住入院。患者体重从透析初57kg降至48kg,每次透析时仍充分脱水。其它部位无出血现象。以往无关节肿痛或不规划发热病史。
, http://www.100md.com
图1 咯血初,两肺散在斑片状实变影伴两侧胸腔积液,心影增大
图2 大咯血时,两肺弥漫斑片状致密影,边界不清,羽毛状分布,部分融合,病灶延伸至周边肺野、两侧胸腔积液基本吸收
1.2 体检 体温38.5℃,脉搏96次/min,呼吸22次/min,血压16.6/10.0 kPa(125/75 mmHg)。慢性病容。重度贫血貌,半卧位,紫绀不明显。发育正常,营养不良。浅表淋巴结未触及,颈静脉怒张。肝颈返流征(+)。两肺呼吸音减低,可闻及散在细湿罗音,右上肺更为明显。心界向左扩大,心率88次/min,心律齐,未闻及第三心音。心尖区可闻及Ⅲ级收缩期杂音。腹略膨隆。肝肋下触及,脾肋下1指,质中度,腹水征(+),四肢关节无异常,双下肢无浮肿。
, http://www.100md.com
1.3 实验室检查 Hb 43g/L,WBC 5.8×109/L(N 0.72,L 0.23),嗜酸性粒细胞计数100×106/L,血小板15×109/L。试管法凝血时间6 min,血块2 h开始退缩,12 h血块收缩完全。SCr 691μmol/L,BUN 26.5 mmol/L,白蛋白30g/L,球蛋白36.3g/L,SGPT 22U/L,SGOT 16U/L。动脉血气分析(未吸氧):pH 7.49,PaO2 6.2kPa,PaCO2 4.2 kPa,SaPO2 85.6%,SBE 0.6mmol/L,HCO3-23.2mmol/L。尿蛋白3+,红细胞250万/ml(均一型)。
胸部X线检查:两肺野普遍呈毛玻璃样改变,多处片絮状阴影,中上肺野为著,边缘模糊,肺门阴增大。心尖向左下扩大,心胸比0.60,两侧肋隔角变钝,考虑“肺水肿伴肺部感染”(图2),EKG窦性心律。
, http://www.100md.com
痰液:暗红及鲜红色泡沫血痰,未见血块及脓性成分,痰液呈腥味,无臭,不分层,痰涂片布满红细胞,无大量脓细胞,未发现含铁血黄素细胞。未找到霉菌孢子及菌丝,抗酸杆菌阴性。
1.4 入院后处理 入院后即给予高流量吸氧,舒普深抗感染及一般止血治疗,间断输新鲜全血,采用无肝素透析。充分脱水,并限制液体进入量。积极寻找咯血原因。多次查痰结核杆菌,霉菌及巨细胞病毒均阴性,痰培养无菌生长。血清军团菌抗体阴性。经治疗后体温降至正常,但咯血仍不止,每日血痰量达300~350ml。入院第三天进行会诊讨论,详细分析了病情及肺部病变特征,考虑不能排除肺-肾综合征所导致的肺出血。立即急症查血抗GBM、抗中性粒细胞胞浆抗体(ANCA)、ANA、血清补体和冷球蛋白。发现血清荧光法P-ANCA阳性(滴度1:80),ELISA法测定抗髓过氧化物抗体(MPO-ANCA)阳性(滴度1:50)。抗GBM抗体 、ANA及抗蛋白酶3(PR3-ANCA)抗体阴性,补体及冷球蛋白水平正常。立即静脉注射甲基强的松龙,0.5g/d(总计2.0g),同时继续给予舒普深抗感染。治疗第二天咯血量减少至100ml,此后咯血量逐日减少,血痰由红色转为暗红色,呼吸困难显著减轻,复查胸片肺部阴影明显吸收,动脉血氧及氧饱和度恢复正常,临床上诊断为微型多血管炎(MPA),肺血管炎导致肺出血。因此在甲基强的松龙冲击疗法结束后继续给予强的松30mg/d。痰量减少至5~15ml/d,呈白色泡沫状,体温正常,病情趋于平衡。但十天后患者再次出现大量咯血(200ml/d),性质如前,两肺又出现大片絮状阴影,复查血ANCA及MPO-ANCA仍为阳性,滴度无下降。再次予甲基强的松龙静脉冲击治疗(0.5g/d连续使用6天),咯血逐渐消失,痰量减少(5~10ml/d)。10天后再次追加甲基强的松龙0.5g/d×2d。随后继续口服维持量强的松,并加用霉酚酸酯(MMF)1.0g/d。经过上述治疗后病情日趋稳定,咳嗽、咳痰逐渐消失,患者能够平卧。肺部病灶逐渐吸收(图3),动脉血气恢复正常(不吸氧时PaO2 11.8 kPa,PaCO2 3.6kPa,SaPO2 97%,血清ANCA及MPO-ANCA转为阴性。为明确诊断,在确定患者出凝血功能无异常情况下,于1998-12-18(入院后二个月)在B超引导下行经皮肾活检术。此时,患者双肾较前已有缩小,左肾90.9mm×40mm,右肾90.3mm×40.3mm。肾活检病理结果如下:
, http://www.100md.com
图3 大剂量激素冲击治疗后,两肺病变基本吸收
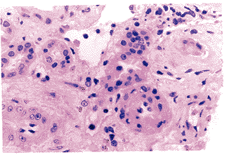
光镜下所有32个肾小球均呈现纤维性新月体,新月体挤压毛细血管袢,使袢闭锁,仅个别球见少数袢开放。囊壁增厚、分层,囊外纤维化明显。PASM-Masson染色见肾小球基底膜节段双轨,未见免疫复合物沉积。小管间质病变重,弥漫性小管基膜增厚、萎缩,少数小管腔囊样扩张,内见巨大蛋白管型,多处见钙化。间质区域增宽明显,有弥漫的单个核细胞浸润。动脉管壁增厚,有的见炎细胞浸润,未见坏死性病变(图4,见插页图)。免疫荧光检查仅见IgG+,C3++颗粒状沉积于系膜区及血管袢。
图4A 肾小球纤维素性环状新月体,血管袢被挤压(PAS,×400)
, 百拇医药
图4B 间质小动脉较多单个核细胞浸润(HE,×400)
1.5 确定诊断 根据临床表现、肾脏病理和血清ANCA,诊断为微型多血管炎(microscopic polyangiitis,MPA)
2 讨 论
本例是一终末期肾衰患者,患者就医的主要问题是在维持性血透过程中出现大咯血、两肺弥漫性病变伴呼吸功能不全。从最初诊断为终末期肾衰病例合并心衰、肺部感染,到最后诊断为系统性小血管炎用大剂量免疫抑制剂治疗后咯血停止、肺部病变消失,在诊断和治疗过程中经历了一段曲折的过程。
2.1 血透患者咯血的鉴别诊断 患者咯血在院外处理近一个月未能控制,肺部病变反而加重,大口咯血,危及生命成为当时病情中的焦点。终末期肾衰患者伴咯血、肺部病变应考虑多种原因[1~4],常见者有下列可能性:①左心衰、肺水肿;②肺结核;③军团病;④肺梗塞;⑤凝血障碍;⑥Goodpasture综合征;⑦免疫管状肾病(Immunotactoid或fibrillary glomerulopathy)伴肺损伤;⑧系统性小血管炎伴肺、肾损害。
, http://www.100md.com
在鉴别诊断中,咯血的特点及并存的症状、肺部病变性质均有重要参考价值。本例咯血的特点是:①早期为痰中带血丝,逐步加重,发展至大口咯新鲜血;②痰中含暗红色或鲜红色血液,无血块或脓性分泌物,无典型左心衰的粉红色泡沫样血痰;③咯血初期两上肺已经出现斑片状病灶,但无发热。随着咯血加重,两肺病灶进行性扩展,至极期时的肺部影像学表现为病灶弥漫分布于两肺,上中肺野、中外带更重,呈云雾状至斑片状,边界模糊;④贫血进行性加重,血红蛋白从70g/L降至43g/L;⑤无明显毒血症、午后发热、盗汗等症状;⑥无胸痛、呼吸窘迫、呛咳等症状,但血气分析血氧饱和度进行性下降。本例鉴别的要点如下:
2.1.1 充血性左心衰 尿毒症患者由于容量负荷过高、心肌病变、尿毒症毒素等影响常常导致心衰,严重者发生肺水肿。当存在血浆胶体渗透压低下、尿毒症毒素对肺泡毛细血管壁的毒性作用时,更容易发生肺水肿。本例病初有心衰史,入院时颈静脉显露、左心室扩大、肺门影增大,确实有血容量过高的表现,但仔细分析不能诊断为单纯肺水肿。急性肺水肿时:①可有粉红色或淡血性泡沫血痰,但极少出现大量新鲜血痰;②X线检查主要表现为肺门周围的蝴蝶状阴影,周围肺野常常透亮;③血红蛋白不下降;④在血透超滤脱水后,呼吸困难可迅速缓解,肺部病灶也迅速消退,这一点是尿毒症肺水肿最主要的特征。但本患者行维持性血透,严格控制了体重的增长之后,血透脱水不能缓解症状,肺部X线表现并不符合肺水肿。因此,本例虽然在病初一度可能有容量负荷过度,但整个病情不可能以单纯肺淤血解释。
, http://www.100md.com
2.1.2 肺部感染 肾病患者由于营养不良、使用免疫抑制剂及尿毒症等因素,造成免疫功能低下,容易发生肺部感染,如已有肺郁血或肺水肿,更易继发肺部感染。此例有发热、咳嗽、咯血及两肺弥漫性浸润,须考虑肺部感染的可能。但一般化脓性细菌感染如肺炎链球菌、克雷白杆菌等导致的肺炎虽可有痰中带血,不致出现大口咯血。本例病程中几度发热,使用抗生素药物后体温正常,但咯血无好转,说明肺部可能有继发细菌感染,但不是咯血原因。尿毒症患者结核感染的发生率较高,可出现咯血,甚至大咯血。但本病例不符合肺结核的大咯血之处甚多;①无结核中毒症状,如午后发热、盗汗等;②结核的咯血常表现为痰中带有少量血块或新鲜血,大口咯血主要见于支气管病变或血管破裂,大口咳新鲜血,无或很少有泡沫。本例咯血表现为大量泡沫样血痰,血与痰混匀,与结核的大咯血明显不同;③肺部影像学检查:肺结核病灶多呈局限性分布(两上肺最多见),急性或亚急性粟粒性肺结核的病灶可呈弥漫性分布,但病灶一般有比较清楚的界限,本例肺部X线检查既不符合粟粒性肺结核,也不似一般浸润性病灶,而且变化很大;④痰多次检查未发现抗酸杆菌,虽曾有发热,但体温与咯血无相关性。军团菌病为常见病,可同时累及肺和肾,临床表现很不典型。有时可有咯血,但不致出现如此大口咯血。本例军团菌抗体检查为阴性。
, 百拇医药
2.1.3 肺梗塞 由于患者有肾病综合征,可并发深静脉血栓形成而导致肺栓塞和肺梗塞,出现咯血。但这类患者起病急骤,往往有胸痛,肺部X线检查呈局限性致密影,本例无这些表现。
2.1.4 凝血功能障碍 尿毒症患者本身存在凝血、止血功能障碍,同时在血透过程中使用肝素可加重出血。但检查患者血小板数量、试管法凝血时间及血块退缩功能均正常,因此,可排除由于凝血障碍导致的肺出血。但临床上需注意在咯血(或其它出血)的患者避免继续使用任何抗凝药物而加重出血。
2.1.5 免疫管状肾病伴肺损伤 免疫管状肾病伴肺部受累的患者也可有咯血,诊断需由肾活检或肺活检才能确定,皮质激素治疗有效。
2.1.6 原发病并发的肺小血管炎(肺-肾综合征,pulmonary-renal yndrome) 在排除了以上并发症的咯血原因后,应考虑与原发病并存的肺部血管炎。肺与肾脏病变同时存在可以广义地称为肺肾综合征(与以往曾将Goodpasture综合征称为肺-肾综合征概念不同),泛指由于疾病本身导致肺和肾血管损伤,引起肾小球肾炎(多数为急进性肾炎)和肺部病变的临床综合征[3~4],病因可包括Goodpasture综合征、系统性小血管炎(Wegener肉芽肿、MPA等)、自身免疫性疾病(系统性红斑狼疮、类风湿性关节炎等)、过敏性紫癜等。在经过认真分析诊断后,本例临床征象符合这一综合征:①仔细追问病史,患者肾脏病起病急骤,表现为大量尿蛋白和血尿、肾功能进行性恶化。入院时虽已至终末期肾脏病,肾脏并未缩小,病史符合急进性肾炎;②大量均匀的血痰,富含泡沫,很少血块或大口喷血,反应肺内小血管及毛细血管性出血;③胸片:肺内病灶极为弥漫,以中外带为主,形态多变,符合肺出血的变化;④按肺泡出血给予大剂量激素治疗有效,证实了肺泡出血的诊断。
, 百拇医药
除临床和X线特征外,另有两项检查有助于肺出血的诊断:①测定肺泡一氧化碳的运转系数(KCO)或弥散能力[1],据文献报道,诊断肺出血的敏感性高于X线检查。如果KCO值超过基础值的30%,或测定值达预计值的130%,则高度提示肺出血。但此项检查用于临床有明显的局限性(需要KCO的基础值,不适合危重患者,出血时间如果超过48 h,KCO可恢复正常),不适合临床作为常规检查。②气管镜检查及肺泡灌洗液的检查[1,2],对鉴别肺部感染或出血有帮助。在急性肺出血时,气管镜检查可发现广泛小支气内出血,肺部感染时肺泡灌洗液检查有大量脓细胞。
在确定为肺肾综合征后,还需结合临床特征和血清学检查明确其原因。本例主要考虑以下可能:①系统性红斑狼疮(SLE):女性患者首先应排除SLE,但本例年龄较大,血清ANA、抗-dsDNA均阴性,补体水平正常,而且肺出血量很大不支持SLE主要累及毛细血管及间质的特点:②Goodpasture综合征(抗GBM疾病):好发于男性青壮年及中老年女性。本例血清抗GBM抗体阴性;③系统性小血管炎:伴有皮疹、关节炎或消化道出血的高龄肺出血患者应高度考虑系统性血管炎,尤其是Wegener肉芽肿和MPA。血清ANCA测定对诊断很有帮助,但ANCA阴性并不能否定血管炎,确定血管炎的诊断及血管炎的类型和病变特征,必须依靠受累组织活检。本例血清荧光法ANCA高滴度阳性,抗MPO抗体也阳性,结合临床符合系统性小血管炎,特别是MPA的诊断。本例早期处理即按此进行,取得了良好的效疗。后期肾活检则进一步证实了诊断。
, 百拇医药
2.2 诊断微型多血管炎(MPA)的依据 在明确为系统性血管炎之后,还需进一步确定血管炎的类型。系统性血管至今尚无令人满意的统一的分类方法[2],现有分类方法特别强调以下三个方面:①根据受累血管的大小分为大血管炎(包括Takayasu动脉炎、Gaint动脉炎)、中型血管炎(PAN、Kawasaki病)和小血管炎(包括Wegener肉芽肿、MPA、Churg-Struss综合征);②有无肉芽肿:伴有肉芽肿的血管炎主要为Wegener肉芽肿和Churg-Struss综合征;③血清ANCA是否阳性:Wegener肉芽肿、MPA和Churg-Struss综合征这三类小血管炎血清ANCA阳性率最高,因而也称为ANCA相关小血管炎。其它类型血管炎ANCA阳性率低。由于本例存在弥漫性肾实质和广泛肺泡毛细血管损伤,血管病变累及小血管(肺泡毛细血管、肾小球血管袢及小叶间动脉),血清ANCA阳性,因此可以考虑为ANCA相关性小血管炎[2]。
表现有肺-肾综合征的小血管炎以ANCA相关性小血管炎如Wegener肉芽肿和MPA最常见。但也必须排除如过敏性紫癜(HSP)、冷球蛋白血症、类风湿性关节炎导致的血管炎等,这些疾病同样可累及小血管,表现有肺-肾综合征。由于患者无皮肤紫癜、关节炎、血清冷球蛋白水平及补体正常、肾小球无免疫球蛋白沉积,故可否定这些疾病。本例的主要鉴别疾病包括Wegener肉芽肿、MPA与Churg-Struss综合征。Wegener肉芽肿与MPA均表现为坏死性小血管炎,前者的主要特征是炎症部位存在肉芽肿,MPA无肉芽肿性病变。但有时两者在临床和组织学上可以有相似的表现[5],特别是组织学检查无巨细胞或肉芽肿形成时更难鉴别。本例可以排除Wegener肉芽肿的诊断,理由如下:①呼吸系统损害仅表现为广泛肺泡出血,无上呼吸道炎症。Wegener肉芽肿的上呼吸道炎症(鼻炎、鼻窦炎)更为常见,占70%~80%。②胸部X线检查无结节样病变或空洞形成:Wegener肉芽肿肺部结节样病灶多见,并可有空洞形成,而MPA表现为肺泡出血或间质性炎症;③肾组织中无巨细胞及肉芽肿性病变;④最重要的一点是血清ANCA类型不符合:Wegener肉芽肿的ANCA类型,以C-ANCA最常见,其抗原成分主要为蛋白酶3(PR3-ANCA)。MPA病例c-ANCA和p-ANCA各占50%,ANCA的抗原成分以MPO更为多见[2]。本例ANCA类型为p-ANCA和MPO-ANCA。因此,综合临床、血清ANCA及组织学特征,本例应诊断为MPA。
, http://www.100md.com
Churg-Struss综合征(CCS,变应性肉芽肿性血管炎)也是常表现为肺肾综合征的系统性小血管炎之一,常侵犯呼吸道及肾脏。表现为过敏鼻炎、过敏性肺炎及短暂性肺部浸润,肺出血少见,但也有报道造成致死性咯血者[6]。特点是伴有血嗜酸性粒细胞增多症及组织中大量嗜酸性粒细胞浸润。肾脏病变轻重不一,肾小球的改变包括局灶节段性坏死以及新月体形成。其突出的变化应该是小血管壁上及周围组织中大量嗜酸性粒细胞浸润。不过在那些曾经接受过皮质激素治疗的病例,嗜酸性粒细胞可以缺如。因此,在与MPA的鉴别诊断上造成了困难。ANCA对着两者的鉴别帮助不大。鉴于本例是终末期肾衰时才行肾活检,除肯定为100%新月体形成外,其它组织学变化被明显的肾纤维化所掩盖。因此,只能根据本例肾脏病变较之肺部病变更为严重的特点,考虑其诊断以MPA更为恰当。
2.3 肾功能衰竭病例确定病因诊断的必要性 慢性肾衰病因众多,针对病因的治疗仍是延缓慢性肾衰进展的重要环节,本例如果早期能行肾活检明确血管炎的诊断并积极治疗,不仅有可能改善肾功能,甚至摆脱透析,还可能为咯血的病因诊断尽早提供可靠的依据或避免肺出血的发生。不少临床工作者往往忽略了慢性肾衰的病因诊断,认为已经到了尿毒症就是透析治疗,显然是一种不全面的认识。明确慢性肾衰的病因至少有以下临床意义:
, http://www.100md.com
2.3.1 针对原发病进行治疗可以改善肾功能,使肾功能保持长期稳定 狼疮性肾炎、各类血管炎造成的肾衰,免疫抑制剂治疗可以改善肾功能;梗阻性肾病在解除输尿管或膀胱梗阻后肾功能即可明显恢复。因此,对所有慢性肾衰,应尽量明确病因。我们最近观察了222例慢性肾衰的肾活检病理[7]。这些患者临床虽已诊断为慢性肾衰,但肾脏无明显缩小,肾活检后有86.9%明确了病因或病理类型。其中原发性肾炎(包括IgA肾病、FSGS、MPGN)仅占38.9%,慢性间质性肾炎占11.3%。继发性肾病所占比例达27.6%,其中血管炎占12.7%,狼疮性肾炎占10.9%,浆细胞有关的肾病(如骨髓瘤肾病、轻链沉积病及AL淀粉样变性等)占了4%。这些继发性肾脏病经过相应的治疗后肾功能均有好转,部分地缓解了患者的病情。
2.3.2 不同原因慢性肾衰的病理生理并不相同 慢性肾小球肾炎导致的肾衰,高血压常见、尿蛋白丢失较多,因此控制血压显得尤为重要。而慢性小管间质性疾病,极易发生酸中毒、低血钾和低血钠、容量不足而加快肾衰的进展,因此,处理上更应注意纠正酸中毒和电介质紊乱,避免容量不足。以往多注重慢性肾炎引起的慢性肾衰,往往忽略间质性肾炎。
, 百拇医药
2.3.3 避免盲目使用免疫抑制剂 给慢性肾衰伴有大量蛋白尿的患者盲目使用免疫抑制剂的事件经常发生。在慢性肾衰时,除非有强力使用免疫抑制的指征,否则免疫抑制剂有害无益,可以加重氮质血症,甚至并发严重感染导致患者死亡。由于本例原发病为系统性血管炎,尽管肾病已到终末期,但由于存在活动性肺血管炎,因此,才能使用大剂量激素。
小结 本例整个诊断和治疗过程比较复杂,最后诊断明确,治疗成功。有几点收获:①对任何临床问题,都应仔细分析其特征,避免误诊。本例咯血一直原因不明,主要原因是未详细分析咯血的特点及胸部X线特征;②肾病患者出现肾外脏器损伤时,一定要排除系统性疾病;③对任何原因不明的肾衰,应尽量明确病因或病变性质,不能简单地认为患者已是终末期肾衰可以不再了解原发病。特别要强调胶原血管病、自家免疫性疾病造成的肾衰有很大的可逆性,积极治疗后肾功能可明显改善;④胶原血管病的肾脏损伤与肾外脏器损伤并不呈并行关系,肾脏病变无活动,并不代表肾外其它脏器不活动;⑤本例血清ANCA水平与血管炎的活动密切相关,动态测定血清ANCA变化有助于判断血管炎的活动性。
, 百拇医药
参考文献
1 Dweik RA,Arrolige AC,Cash JM et al.Alveolar hemorrhage in patients with rheumatic disease.Rheum Dis Clin North Am,1997;23:395
2 Falk RJ,Jennette C.ANCA small-vessel vasculitis.J Am Soc Nephrol,1997;8:314
3 Boyce NW,Holdsworth SR.Pulmonary manifestations of the clinical syndrome of acute glomerulonephritis and lung hemorrhage.Am J Kidney Dis,1986;8:31
, http://www.100md.com 4 Salant DJ.Immunopathogenesis of crescentic glomerulonephritis and lung purpura. Kidney Int.1987;32:408
5 D’Agati VD,Appel GB.Polyarteritis nodosa,Wegener’s granulomatosis, Churg-Struss syndrome,Temporal arteritis,Takayasu’s arteritis,and Lymphomatoid granulomatosis.In:Renal Patholoy. With Clinical and Functional Correlations,second edition,edited by C Craig Tisher and Barry B,Brenner JB.Philadephia:Lippincot Company:1994:P1087
6 Clutterbuck EJ,Pusey CD.Sever alveilar haemorrhage in Churg-Struss syndrome. Eur J Res Dis,1987;71:158
7 慢性肾功能衰竭肾活检的临床意义(待发表)
1999-01-02收稿, 百拇医药
单位:南京军区南京总医院 解放军肾脏病研究所 南京,210002
关键词:血液透析;肺出血;微型多血管炎
1 病情摘要1 病情摘要
1.1 病史 48岁女性患者,进行维持性血液透析治疗3个月之后出现严重咯血伴呼吸困难于1998-10-09入院。
患者1998年3月起出现恶心,呕吐,一个月后检查发现血清肌酐(SCr)升高达500 μmol/L,尿蛋白3+,尿红细胞+,血压正常,尿量2000 ml/d,夜尿2~4次,在当地医院输液治疗后出现严重浮肿、不能平卧,SCr上升至700μmol/L,外院开始行血液透析(血透)半个月,因血透中反复出现高热被迫停止血透,给予非透析治疗近一个月后因病情日益危重于1998-07-11转入我院。当时患者全身高度浮肿,Ⅲ度全心衰竭,胸片显示心脏增大,两侧胸腔积液,肺郁血,Hb 71g/L,SCr 1000μmol/L,ΒUN35.5mmol/L。经紧急血透数次脱水后浮肿渐退、心衰症状明显好转,但夜间仍不能完全平卧。尿量由1000ml/d减少至100~200ml/d。检查双肾体积无缩小(左肾103mm×47.9mm,右肾104mm×44mm),但皮质回声增强。尿蛋白3+,尿红细胞2+,WBC 0~2/HP。超声心动图显示左心房及左心室扩大,二尖瓣返流,中等量心包积液。在门诊行维持性血透过程中患者开始有轻微咳嗽,咳白痰,有时痰中混有很少量鲜红色血丝,每日1~2次。十余天后出现发热,体温38.5℃,痰中带血量逐渐增多,有时见暗红色血块。给予氨苄西林注射3天后体温降至正常,但咯血无好转,胸部X片显示右上肺片状渗出性阴影(图1)。曾继续抗感染治疗,咯血继续加重,发展为咯满口暗红色或鲜红色血痰,每日约200ml,再次发热(38~39℃),复查胸片发现两肺渗出性病灶明显加重(图2),乃急诊收住入院。患者体重从透析初57kg降至48kg,每次透析时仍充分脱水。其它部位无出血现象。以往无关节肿痛或不规划发热病史。
, http://www.100md.com
图1 咯血初,两肺散在斑片状实变影伴两侧胸腔积液,心影增大
图2 大咯血时,两肺弥漫斑片状致密影,边界不清,羽毛状分布,部分融合,病灶延伸至周边肺野、两侧胸腔积液基本吸收
1.2 体检 体温38.5℃,脉搏96次/min,呼吸22次/min,血压16.6/10.0 kPa(125/75 mmHg)。慢性病容。重度贫血貌,半卧位,紫绀不明显。发育正常,营养不良。浅表淋巴结未触及,颈静脉怒张。肝颈返流征(+)。两肺呼吸音减低,可闻及散在细湿罗音,右上肺更为明显。心界向左扩大,心率88次/min,心律齐,未闻及第三心音。心尖区可闻及Ⅲ级收缩期杂音。腹略膨隆。肝肋下触及,脾肋下1指,质中度,腹水征(+),四肢关节无异常,双下肢无浮肿。
, http://www.100md.com
1.3 实验室检查 Hb 43g/L,WBC 5.8×109/L(N 0.72,L 0.23),嗜酸性粒细胞计数100×106/L,血小板15×109/L。试管法凝血时间6 min,血块2 h开始退缩,12 h血块收缩完全。SCr 691μmol/L,BUN 26.5 mmol/L,白蛋白30g/L,球蛋白36.3g/L,SGPT 22U/L,SGOT 16U/L。动脉血气分析(未吸氧):pH 7.49,PaO2 6.2kPa,PaCO2 4.2 kPa,SaPO2 85.6%,SBE 0.6mmol/L,HCO3-23.2mmol/L。尿蛋白3+,红细胞250万/ml(均一型)。
胸部X线检查:两肺野普遍呈毛玻璃样改变,多处片絮状阴影,中上肺野为著,边缘模糊,肺门阴增大。心尖向左下扩大,心胸比0.60,两侧肋隔角变钝,考虑“肺水肿伴肺部感染”(图2),EKG窦性心律。
, http://www.100md.com
痰液:暗红及鲜红色泡沫血痰,未见血块及脓性成分,痰液呈腥味,无臭,不分层,痰涂片布满红细胞,无大量脓细胞,未发现含铁血黄素细胞。未找到霉菌孢子及菌丝,抗酸杆菌阴性。
1.4 入院后处理 入院后即给予高流量吸氧,舒普深抗感染及一般止血治疗,间断输新鲜全血,采用无肝素透析。充分脱水,并限制液体进入量。积极寻找咯血原因。多次查痰结核杆菌,霉菌及巨细胞病毒均阴性,痰培养无菌生长。血清军团菌抗体阴性。经治疗后体温降至正常,但咯血仍不止,每日血痰量达300~350ml。入院第三天进行会诊讨论,详细分析了病情及肺部病变特征,考虑不能排除肺-肾综合征所导致的肺出血。立即急症查血抗GBM、抗中性粒细胞胞浆抗体(ANCA)、ANA、血清补体和冷球蛋白。发现血清荧光法P-ANCA阳性(滴度1:80),ELISA法测定抗髓过氧化物抗体(MPO-ANCA)阳性(滴度1:50)。抗GBM抗体 、ANA及抗蛋白酶3(PR3-ANCA)抗体阴性,补体及冷球蛋白水平正常。立即静脉注射甲基强的松龙,0.5g/d(总计2.0g),同时继续给予舒普深抗感染。治疗第二天咯血量减少至100ml,此后咯血量逐日减少,血痰由红色转为暗红色,呼吸困难显著减轻,复查胸片肺部阴影明显吸收,动脉血氧及氧饱和度恢复正常,临床上诊断为微型多血管炎(MPA),肺血管炎导致肺出血。因此在甲基强的松龙冲击疗法结束后继续给予强的松30mg/d。痰量减少至5~15ml/d,呈白色泡沫状,体温正常,病情趋于平衡。但十天后患者再次出现大量咯血(200ml/d),性质如前,两肺又出现大片絮状阴影,复查血ANCA及MPO-ANCA仍为阳性,滴度无下降。再次予甲基强的松龙静脉冲击治疗(0.5g/d连续使用6天),咯血逐渐消失,痰量减少(5~10ml/d)。10天后再次追加甲基强的松龙0.5g/d×2d。随后继续口服维持量强的松,并加用霉酚酸酯(MMF)1.0g/d。经过上述治疗后病情日趋稳定,咳嗽、咳痰逐渐消失,患者能够平卧。肺部病灶逐渐吸收(图3),动脉血气恢复正常(不吸氧时PaO2 11.8 kPa,PaCO2 3.6kPa,SaPO2 97%,血清ANCA及MPO-ANCA转为阴性。为明确诊断,在确定患者出凝血功能无异常情况下,于1998-12-18(入院后二个月)在B超引导下行经皮肾活检术。此时,患者双肾较前已有缩小,左肾90.9mm×40mm,右肾90.3mm×40.3mm。肾活检病理结果如下:
, http://www.100md.com
图3 大剂量激素冲击治疗后,两肺病变基本吸收
光镜下所有32个肾小球均呈现纤维性新月体,新月体挤压毛细血管袢,使袢闭锁,仅个别球见少数袢开放。囊壁增厚、分层,囊外纤维化明显。PASM-Masson染色见肾小球基底膜节段双轨,未见免疫复合物沉积。小管间质病变重,弥漫性小管基膜增厚、萎缩,少数小管腔囊样扩张,内见巨大蛋白管型,多处见钙化。间质区域增宽明显,有弥漫的单个核细胞浸润。动脉管壁增厚,有的见炎细胞浸润,未见坏死性病变(图4,见插页图)。免疫荧光检查仅见IgG+,C3++颗粒状沉积于系膜区及血管袢。
图4A 肾小球纤维素性环状新月体,血管袢被挤压(PAS,×400)
, 百拇医药
图4B 间质小动脉较多单个核细胞浸润(HE,×400)
1.5 确定诊断 根据临床表现、肾脏病理和血清ANCA,诊断为微型多血管炎(microscopic polyangiitis,MPA)
2 讨 论
本例是一终末期肾衰患者,患者就医的主要问题是在维持性血透过程中出现大咯血、两肺弥漫性病变伴呼吸功能不全。从最初诊断为终末期肾衰病例合并心衰、肺部感染,到最后诊断为系统性小血管炎用大剂量免疫抑制剂治疗后咯血停止、肺部病变消失,在诊断和治疗过程中经历了一段曲折的过程。
2.1 血透患者咯血的鉴别诊断 患者咯血在院外处理近一个月未能控制,肺部病变反而加重,大口咯血,危及生命成为当时病情中的焦点。终末期肾衰患者伴咯血、肺部病变应考虑多种原因[1~4],常见者有下列可能性:①左心衰、肺水肿;②肺结核;③军团病;④肺梗塞;⑤凝血障碍;⑥Goodpasture综合征;⑦免疫管状肾病(Immunotactoid或fibrillary glomerulopathy)伴肺损伤;⑧系统性小血管炎伴肺、肾损害。
, http://www.100md.com
在鉴别诊断中,咯血的特点及并存的症状、肺部病变性质均有重要参考价值。本例咯血的特点是:①早期为痰中带血丝,逐步加重,发展至大口咯新鲜血;②痰中含暗红色或鲜红色血液,无血块或脓性分泌物,无典型左心衰的粉红色泡沫样血痰;③咯血初期两上肺已经出现斑片状病灶,但无发热。随着咯血加重,两肺病灶进行性扩展,至极期时的肺部影像学表现为病灶弥漫分布于两肺,上中肺野、中外带更重,呈云雾状至斑片状,边界模糊;④贫血进行性加重,血红蛋白从70g/L降至43g/L;⑤无明显毒血症、午后发热、盗汗等症状;⑥无胸痛、呼吸窘迫、呛咳等症状,但血气分析血氧饱和度进行性下降。本例鉴别的要点如下:
2.1.1 充血性左心衰 尿毒症患者由于容量负荷过高、心肌病变、尿毒症毒素等影响常常导致心衰,严重者发生肺水肿。当存在血浆胶体渗透压低下、尿毒症毒素对肺泡毛细血管壁的毒性作用时,更容易发生肺水肿。本例病初有心衰史,入院时颈静脉显露、左心室扩大、肺门影增大,确实有血容量过高的表现,但仔细分析不能诊断为单纯肺水肿。急性肺水肿时:①可有粉红色或淡血性泡沫血痰,但极少出现大量新鲜血痰;②X线检查主要表现为肺门周围的蝴蝶状阴影,周围肺野常常透亮;③血红蛋白不下降;④在血透超滤脱水后,呼吸困难可迅速缓解,肺部病灶也迅速消退,这一点是尿毒症肺水肿最主要的特征。但本患者行维持性血透,严格控制了体重的增长之后,血透脱水不能缓解症状,肺部X线表现并不符合肺水肿。因此,本例虽然在病初一度可能有容量负荷过度,但整个病情不可能以单纯肺淤血解释。
, http://www.100md.com
2.1.2 肺部感染 肾病患者由于营养不良、使用免疫抑制剂及尿毒症等因素,造成免疫功能低下,容易发生肺部感染,如已有肺郁血或肺水肿,更易继发肺部感染。此例有发热、咳嗽、咯血及两肺弥漫性浸润,须考虑肺部感染的可能。但一般化脓性细菌感染如肺炎链球菌、克雷白杆菌等导致的肺炎虽可有痰中带血,不致出现大口咯血。本例病程中几度发热,使用抗生素药物后体温正常,但咯血无好转,说明肺部可能有继发细菌感染,但不是咯血原因。尿毒症患者结核感染的发生率较高,可出现咯血,甚至大咯血。但本病例不符合肺结核的大咯血之处甚多;①无结核中毒症状,如午后发热、盗汗等;②结核的咯血常表现为痰中带有少量血块或新鲜血,大口咯血主要见于支气管病变或血管破裂,大口咳新鲜血,无或很少有泡沫。本例咯血表现为大量泡沫样血痰,血与痰混匀,与结核的大咯血明显不同;③肺部影像学检查:肺结核病灶多呈局限性分布(两上肺最多见),急性或亚急性粟粒性肺结核的病灶可呈弥漫性分布,但病灶一般有比较清楚的界限,本例肺部X线检查既不符合粟粒性肺结核,也不似一般浸润性病灶,而且变化很大;④痰多次检查未发现抗酸杆菌,虽曾有发热,但体温与咯血无相关性。军团菌病为常见病,可同时累及肺和肾,临床表现很不典型。有时可有咯血,但不致出现如此大口咯血。本例军团菌抗体检查为阴性。
, 百拇医药
2.1.3 肺梗塞 由于患者有肾病综合征,可并发深静脉血栓形成而导致肺栓塞和肺梗塞,出现咯血。但这类患者起病急骤,往往有胸痛,肺部X线检查呈局限性致密影,本例无这些表现。
2.1.4 凝血功能障碍 尿毒症患者本身存在凝血、止血功能障碍,同时在血透过程中使用肝素可加重出血。但检查患者血小板数量、试管法凝血时间及血块退缩功能均正常,因此,可排除由于凝血障碍导致的肺出血。但临床上需注意在咯血(或其它出血)的患者避免继续使用任何抗凝药物而加重出血。
2.1.5 免疫管状肾病伴肺损伤 免疫管状肾病伴肺部受累的患者也可有咯血,诊断需由肾活检或肺活检才能确定,皮质激素治疗有效。
2.1.6 原发病并发的肺小血管炎(肺-肾综合征,pulmonary-renal yndrome) 在排除了以上并发症的咯血原因后,应考虑与原发病并存的肺部血管炎。肺与肾脏病变同时存在可以广义地称为肺肾综合征(与以往曾将Goodpasture综合征称为肺-肾综合征概念不同),泛指由于疾病本身导致肺和肾血管损伤,引起肾小球肾炎(多数为急进性肾炎)和肺部病变的临床综合征[3~4],病因可包括Goodpasture综合征、系统性小血管炎(Wegener肉芽肿、MPA等)、自身免疫性疾病(系统性红斑狼疮、类风湿性关节炎等)、过敏性紫癜等。在经过认真分析诊断后,本例临床征象符合这一综合征:①仔细追问病史,患者肾脏病起病急骤,表现为大量尿蛋白和血尿、肾功能进行性恶化。入院时虽已至终末期肾脏病,肾脏并未缩小,病史符合急进性肾炎;②大量均匀的血痰,富含泡沫,很少血块或大口喷血,反应肺内小血管及毛细血管性出血;③胸片:肺内病灶极为弥漫,以中外带为主,形态多变,符合肺出血的变化;④按肺泡出血给予大剂量激素治疗有效,证实了肺泡出血的诊断。
, 百拇医药
除临床和X线特征外,另有两项检查有助于肺出血的诊断:①测定肺泡一氧化碳的运转系数(KCO)或弥散能力[1],据文献报道,诊断肺出血的敏感性高于X线检查。如果KCO值超过基础值的30%,或测定值达预计值的130%,则高度提示肺出血。但此项检查用于临床有明显的局限性(需要KCO的基础值,不适合危重患者,出血时间如果超过48 h,KCO可恢复正常),不适合临床作为常规检查。②气管镜检查及肺泡灌洗液的检查[1,2],对鉴别肺部感染或出血有帮助。在急性肺出血时,气管镜检查可发现广泛小支气内出血,肺部感染时肺泡灌洗液检查有大量脓细胞。
在确定为肺肾综合征后,还需结合临床特征和血清学检查明确其原因。本例主要考虑以下可能:①系统性红斑狼疮(SLE):女性患者首先应排除SLE,但本例年龄较大,血清ANA、抗-dsDNA均阴性,补体水平正常,而且肺出血量很大不支持SLE主要累及毛细血管及间质的特点:②Goodpasture综合征(抗GBM疾病):好发于男性青壮年及中老年女性。本例血清抗GBM抗体阴性;③系统性小血管炎:伴有皮疹、关节炎或消化道出血的高龄肺出血患者应高度考虑系统性血管炎,尤其是Wegener肉芽肿和MPA。血清ANCA测定对诊断很有帮助,但ANCA阴性并不能否定血管炎,确定血管炎的诊断及血管炎的类型和病变特征,必须依靠受累组织活检。本例血清荧光法ANCA高滴度阳性,抗MPO抗体也阳性,结合临床符合系统性小血管炎,特别是MPA的诊断。本例早期处理即按此进行,取得了良好的效疗。后期肾活检则进一步证实了诊断。
, 百拇医药
2.2 诊断微型多血管炎(MPA)的依据 在明确为系统性血管炎之后,还需进一步确定血管炎的类型。系统性血管至今尚无令人满意的统一的分类方法[2],现有分类方法特别强调以下三个方面:①根据受累血管的大小分为大血管炎(包括Takayasu动脉炎、Gaint动脉炎)、中型血管炎(PAN、Kawasaki病)和小血管炎(包括Wegener肉芽肿、MPA、Churg-Struss综合征);②有无肉芽肿:伴有肉芽肿的血管炎主要为Wegener肉芽肿和Churg-Struss综合征;③血清ANCA是否阳性:Wegener肉芽肿、MPA和Churg-Struss综合征这三类小血管炎血清ANCA阳性率最高,因而也称为ANCA相关小血管炎。其它类型血管炎ANCA阳性率低。由于本例存在弥漫性肾实质和广泛肺泡毛细血管损伤,血管病变累及小血管(肺泡毛细血管、肾小球血管袢及小叶间动脉),血清ANCA阳性,因此可以考虑为ANCA相关性小血管炎[2]。
表现有肺-肾综合征的小血管炎以ANCA相关性小血管炎如Wegener肉芽肿和MPA最常见。但也必须排除如过敏性紫癜(HSP)、冷球蛋白血症、类风湿性关节炎导致的血管炎等,这些疾病同样可累及小血管,表现有肺-肾综合征。由于患者无皮肤紫癜、关节炎、血清冷球蛋白水平及补体正常、肾小球无免疫球蛋白沉积,故可否定这些疾病。本例的主要鉴别疾病包括Wegener肉芽肿、MPA与Churg-Struss综合征。Wegener肉芽肿与MPA均表现为坏死性小血管炎,前者的主要特征是炎症部位存在肉芽肿,MPA无肉芽肿性病变。但有时两者在临床和组织学上可以有相似的表现[5],特别是组织学检查无巨细胞或肉芽肿形成时更难鉴别。本例可以排除Wegener肉芽肿的诊断,理由如下:①呼吸系统损害仅表现为广泛肺泡出血,无上呼吸道炎症。Wegener肉芽肿的上呼吸道炎症(鼻炎、鼻窦炎)更为常见,占70%~80%。②胸部X线检查无结节样病变或空洞形成:Wegener肉芽肿肺部结节样病灶多见,并可有空洞形成,而MPA表现为肺泡出血或间质性炎症;③肾组织中无巨细胞及肉芽肿性病变;④最重要的一点是血清ANCA类型不符合:Wegener肉芽肿的ANCA类型,以C-ANCA最常见,其抗原成分主要为蛋白酶3(PR3-ANCA)。MPA病例c-ANCA和p-ANCA各占50%,ANCA的抗原成分以MPO更为多见[2]。本例ANCA类型为p-ANCA和MPO-ANCA。因此,综合临床、血清ANCA及组织学特征,本例应诊断为MPA。
, http://www.100md.com
Churg-Struss综合征(CCS,变应性肉芽肿性血管炎)也是常表现为肺肾综合征的系统性小血管炎之一,常侵犯呼吸道及肾脏。表现为过敏鼻炎、过敏性肺炎及短暂性肺部浸润,肺出血少见,但也有报道造成致死性咯血者[6]。特点是伴有血嗜酸性粒细胞增多症及组织中大量嗜酸性粒细胞浸润。肾脏病变轻重不一,肾小球的改变包括局灶节段性坏死以及新月体形成。其突出的变化应该是小血管壁上及周围组织中大量嗜酸性粒细胞浸润。不过在那些曾经接受过皮质激素治疗的病例,嗜酸性粒细胞可以缺如。因此,在与MPA的鉴别诊断上造成了困难。ANCA对着两者的鉴别帮助不大。鉴于本例是终末期肾衰时才行肾活检,除肯定为100%新月体形成外,其它组织学变化被明显的肾纤维化所掩盖。因此,只能根据本例肾脏病变较之肺部病变更为严重的特点,考虑其诊断以MPA更为恰当。
2.3 肾功能衰竭病例确定病因诊断的必要性 慢性肾衰病因众多,针对病因的治疗仍是延缓慢性肾衰进展的重要环节,本例如果早期能行肾活检明确血管炎的诊断并积极治疗,不仅有可能改善肾功能,甚至摆脱透析,还可能为咯血的病因诊断尽早提供可靠的依据或避免肺出血的发生。不少临床工作者往往忽略了慢性肾衰的病因诊断,认为已经到了尿毒症就是透析治疗,显然是一种不全面的认识。明确慢性肾衰的病因至少有以下临床意义:
, http://www.100md.com
2.3.1 针对原发病进行治疗可以改善肾功能,使肾功能保持长期稳定 狼疮性肾炎、各类血管炎造成的肾衰,免疫抑制剂治疗可以改善肾功能;梗阻性肾病在解除输尿管或膀胱梗阻后肾功能即可明显恢复。因此,对所有慢性肾衰,应尽量明确病因。我们最近观察了222例慢性肾衰的肾活检病理[7]。这些患者临床虽已诊断为慢性肾衰,但肾脏无明显缩小,肾活检后有86.9%明确了病因或病理类型。其中原发性肾炎(包括IgA肾病、FSGS、MPGN)仅占38.9%,慢性间质性肾炎占11.3%。继发性肾病所占比例达27.6%,其中血管炎占12.7%,狼疮性肾炎占10.9%,浆细胞有关的肾病(如骨髓瘤肾病、轻链沉积病及AL淀粉样变性等)占了4%。这些继发性肾脏病经过相应的治疗后肾功能均有好转,部分地缓解了患者的病情。
2.3.2 不同原因慢性肾衰的病理生理并不相同 慢性肾小球肾炎导致的肾衰,高血压常见、尿蛋白丢失较多,因此控制血压显得尤为重要。而慢性小管间质性疾病,极易发生酸中毒、低血钾和低血钠、容量不足而加快肾衰的进展,因此,处理上更应注意纠正酸中毒和电介质紊乱,避免容量不足。以往多注重慢性肾炎引起的慢性肾衰,往往忽略间质性肾炎。
, 百拇医药
2.3.3 避免盲目使用免疫抑制剂 给慢性肾衰伴有大量蛋白尿的患者盲目使用免疫抑制剂的事件经常发生。在慢性肾衰时,除非有强力使用免疫抑制的指征,否则免疫抑制剂有害无益,可以加重氮质血症,甚至并发严重感染导致患者死亡。由于本例原发病为系统性血管炎,尽管肾病已到终末期,但由于存在活动性肺血管炎,因此,才能使用大剂量激素。
小结 本例整个诊断和治疗过程比较复杂,最后诊断明确,治疗成功。有几点收获:①对任何临床问题,都应仔细分析其特征,避免误诊。本例咯血一直原因不明,主要原因是未详细分析咯血的特点及胸部X线特征;②肾病患者出现肾外脏器损伤时,一定要排除系统性疾病;③对任何原因不明的肾衰,应尽量明确病因或病变性质,不能简单地认为患者已是终末期肾衰可以不再了解原发病。特别要强调胶原血管病、自家免疫性疾病造成的肾衰有很大的可逆性,积极治疗后肾功能可明显改善;④胶原血管病的肾脏损伤与肾外脏器损伤并不呈并行关系,肾脏病变无活动,并不代表肾外其它脏器不活动;⑤本例血清ANCA水平与血管炎的活动密切相关,动态测定血清ANCA变化有助于判断血管炎的活动性。
, 百拇医药
参考文献
1 Dweik RA,Arrolige AC,Cash JM et al.Alveolar hemorrhage in patients with rheumatic disease.Rheum Dis Clin North Am,1997;23:395
2 Falk RJ,Jennette C.ANCA small-vessel vasculitis.J Am Soc Nephrol,1997;8:314
3 Boyce NW,Holdsworth SR.Pulmonary manifestations of the clinical syndrome of acute glomerulonephritis and lung hemorrhage.Am J Kidney Dis,1986;8:31
, http://www.100md.com 4 Salant DJ.Immunopathogenesis of crescentic glomerulonephritis and lung purpura. Kidney Int.1987;32:408
5 D’Agati VD,Appel GB.Polyarteritis nodosa,Wegener’s granulomatosis, Churg-Struss syndrome,Temporal arteritis,Takayasu’s arteritis,and Lymphomatoid granulomatosis.In:Renal Patholoy. With Clinical and Functional Correlations,second edition,edited by C Craig Tisher and Barry B,Brenner JB.Philadephia:Lippincot Company:1994:P1087
6 Clutterbuck EJ,Pusey CD.Sever alveilar haemorrhage in Churg-Struss syndrome. Eur J Res Dis,1987;71:158
7 慢性肾功能衰竭肾活检的临床意义(待发表)
1999-01-02收稿, 百拇医药