新鲜羊膜移植治疗严重的急性炎症期及瘢痕期眼表疾病的临床研究
http://www.100md.com
37c医学网
作者:陈家祺 周世有 黄挺 刘祖国 陈龙山 林跃生
单位:陈家祺(广州,中山医科大学中山眼科中心 510060);周世有(广州,中山医科大学中山眼科中心 510060);黄挺(广州,中山医科大学中山眼科中心 510060);刘祖国(广州,中山医科大学中山眼科中心 510060);陈龙山(广州,中山医科大学中山眼科中心 510060) 林跃生(广州,中山医科大学中山眼科中心 510060)
关键词:羊膜;移植;同种;烧伤;化学;角膜溃疡
中华眼科杂志000104 【摘要】 目的 探讨新鲜羊膜移植治疗严重的急性炎症期和瘢痕期眼表疾病的可行性并对其疗效进行评价。方法 选择本院急性化学伤、热烧伤共5例(6只眼),复发性蚕蚀性角膜溃疡8例(8只眼),各种原因导致的大面积睑球粘连42例(49只眼),共计55例(63只眼)临床连续住院患者,分别行单纯新鲜羊膜移植术38例(46只眼),羊膜移植联合板层角膜移植术8例(8只眼),羊膜移植联合角膜缘移植术9例(9只眼)。术后均经印迹细胞学追踪观察移植后羊膜上皮细胞存活的时间。术后随访观察6~18个月,平均11个月。结果 55例术后临床上均未见新鲜羊膜植片急性排斥反应。严重急性眼烧伤的6只眼中,术后5只眼无角结膜进行性溶解和穿孔,无新生血管和假性胬肉侵入角膜表面,虹膜亦未见萎缩,视力有不同程度的提高。复发性蚕蚀性角膜溃疡8只眼术后未见复发。严重睑球粘连49只眼中,46只眼恢复了眼球的运动功能,3只眼术后3个月再次发生睑球粘连。泪液分泌功能基本正常者羊膜上皮细胞移植后可存活约3个月。结论 新鲜羊膜移植可有效地用于重建角结膜表面,减轻炎性反应,减少新生血管的生成,抑制纤维组织增生,同时可用于防止蚕蚀性角膜溃疡的复发。充分清除眼表的病变组织和羊膜移植片的缝合固定,对羊膜移植重建眼表功能极其重要。
, 百拇医药
A clinical study on fresh amniotic membrane transplantation for treatment of severe ocular surface disorders at acute inflammatory and cicatricial stage
CHEN Jiaqi, ZHOU Shiyou, HUANG Ting
(Zhongshan Ophthalmic Center, Sun Yat-sen University of Medical Sciences, Guangzhou 510060, China)
【Abstract】 Objective To investigate the safety and evaluate the effect of fresh amniotic membrane transplantation to reconstruct the ocular surface with severe inflammation and scarring. Method Amniotic membrane transplantation (38 cases, 46 eyes), or combined with either limbal transplantation (9 cases, 9 eyes) or lamellar keratoplasty (8 cases, 8 eyes) was performed on ocular surface burns (5 cases, 6 eyes), recurrent Mooren′s ulcer (8 cases, 8 eyes) and severe symblepharon (38 cases, 46 eyes). All the patients were followed-up for 6-18 months (mean, 11 months). Impression cytology was examined in 21 eyes with normal tear secretion post-operatively. Results No acute rejection was observed after fresh amniotic membrane transplantation. No progressive melt and perforation were seen in five out of six eyes with burns in reconstructed ocular surfaces. Neovascularization, pseudopterygium and iris atrophy were not found during the follow-up. Visual acuity was improved in various degrees. Corneal ulceration was not noted in 8 cases (8 eyes) with frequently recurrent Mooren′s ulcer. Ocular surface reconstruction was successful in 46 of 49 eyes with severe symblepharon. Symblepharon occurred in the remaining three eyes but much less than pre-transplantation in degree. Amniotic epithelia have been examined in about three months on the transplanted eyes with normal tear secretion. Conclusion Fresh amniotic membrane can be used as a graft to reconstruct ocular surface. Such transplantation can effectively reduce neovascularization, fibrosis and inflammation. Our data indicated that complete removal of pathological tissues and perfect fixation of amniotic membrane graft are crucial steps in the reconstruction of ocular surface.
, 百拇医药
【Key words】 Amnion;Transplantation, homologous; Burns, chemical; Corneal ulcer
近年来许多学者在羊膜生物学特性的研究中发现,羊膜具有抗原性低、促进眼表上皮化、减轻炎性反应、抑制纤维组织增生和新生血管形成等作用[1]。用羊膜修复眼结膜和角膜缺损区的创面,可提供一个理想的基底膜,使其迅速上皮化及创口愈合,已受到眼科学界的广泛重视[2,3]。但目前许多学者多采用低温(-80℃)保存的羊膜重建静止期眼表疾病的眼表。用此法保存的羊膜其上皮细胞已经灭活[4],移植后羊膜需受眼的眼表上皮细胞增殖、移行并覆盖才能完成眼表病灶区的上皮化;同时羊膜组织中所含的各种利于促进眼表组织正常修复的活性成分保存后是否会出现效价衰减或其它变化等尚不十分清楚[5]。为使某些严重眼表疾病在治疗上能很快地完成创面的上皮化,我们于1998年2月采用新鲜羊膜移植重建严重急性期和瘢痕期的眼表,并通过临床观察和印迹细胞学进行追踪,观察移植后羊膜上皮细胞的存活时间,探讨新鲜羊膜移植重建眼表的可行性和控制急性期眼表疾病、治疗瘢痕期眼表疾病的价值以及与羊膜移植相关的显微手术技术。
, 百拇医药
资料与方法
一、病例选择
选择本院连续住院眼表疾病患者55例(63只眼),其中男34例(39只眼),女21例(24只眼)。年龄4~56岁,平均31.5岁。
急性期眼表病变:严重的角膜结膜化学伤或热烧伤后全角膜溶解、结膜缺血坏死,共5例(6只眼);复发性蚕蚀性角膜溃疡8例(8只眼)。严重瘢痕期眼表病变:陈旧性化学伤或热烧伤所致的严重睑球粘连、角膜假性胬肉侵入、眼表结膜缺损面积达1/2以上甚至近完全性结膜囊缺失,共36例(41只眼);Stevens-Johnson综合征伴有大面积睑球粘连者6例(8只眼)。术后随访6~18个月,平均11个月。
二、新鲜羊膜的制备
取HBsAg、衣原体、人免疫缺陷病毒及梅毒均阴性的健康孕妇剖宫产所获得的胎盘(羊膜)。取材均在无菌操作下完成。将胎盘(羊膜)用无菌生理盐水冲洗干净,置于含青霉素5×104 U/L、链霉素5×104 U/L及二性霉素B 2.5 mg/L的生理盐水中浸泡10 min,钝性剥离羊膜,使其与绒毛膜分离。将羊膜平铺于粘贴手术巾的纸片上,羊膜的粗糙面与纸的粗糙面相贴,羊膜上皮面向上。将上述附有羊膜的纸片修剪成5 cm×8 cm大小,置于青霉素1×105 U/L、链霉素1×105 U/L的DMEM培养基中,4℃冰箱中保存,备用。所制羊膜均于取材后12 h内使用。
, 百拇医药
三、羊膜移植手术方式
手术均于显微镜下完成,不同病例手术方法各异。术后常规绷带加压包扎,尽早敞开滴眼,对泪液功能分泌缺乏者,可频繁滴用人工泪液(潇莱威眼液),联合角膜缘移植或板层角膜移植术者加用糖皮质激素眼液(典必殊眼液)和1%的环孢素A油剂滴眼。
1.急性期严重的酸碱化学伤或热烧伤(角结膜广泛坏死溶解):(1)单纯的羊膜移植术:用显微剪剪除眼球表面坏死的全周近角膜缘处的球结膜和浅层巩膜直至血循环征象出现,然后用刀片切削、清除角膜表面的坏死组织,彻底止血后用等大的羊膜覆盖于角结膜创面上(上皮面向上),先用8-0可吸收缝线(Ethicon)将羊膜植片全周边缘与患眼球结膜创缘缝合固定,缝线必须经过表浅巩膜组织。再于角膜缘3、6、9及12点钟处用10-0尼龙缝线将羊膜固定于浅层巩膜。(2)羊膜移植联合带活性角膜缘的全板层角膜移植术:在清理角结膜创面后,先完成移植带活性角膜缘的全板层角膜植片,然后在其球结膜前段缺损区施行全周环形羊膜移植,羊膜植片固定同(1)。
, http://www.100md.com
2.复发性蚕蚀性角膜溃疡:手术方式的选择取决于溃疡部位、深度及范围。(1)病灶位于角膜周边部、溃疡深度较浅(未超过角膜厚度的1/2)且范围较小(未累及瞳孔区)者,先行角膜病灶清创后,将病灶区相邻的球结膜做4~6 mm切除。然后用等大的羊膜修复其角结膜创面,用10-0尼龙缝线将羊膜固定于角、结膜创缘处。(2)蚕蚀性角膜溃疡深度大于角膜厚度的1/2,且范围较广时,可行带角膜缘的板层角膜移植术、病灶区相邻球结膜切除联合羊膜移植术。
3.严重瘢痕期眼表疾病的眼表重建:术中用剪刀分离眼表的瘢痕组织并剪除上皮下的增殖组织,使残存的结膜组织后徙,暴露需重建的眼表植床。操作时应仔细,不可致角膜穿孔、损伤正常巩膜组织和眼外肌。于角膜3、6、9及12点钟方位近角膜缘的浅层巩膜处用6-0的可吸收缝线(Ethicon)分别作4针牵引缝线,以便随意牵引、充分暴露移植床。取同创面大小的羊膜移植片覆盖于结膜上,用8-0可吸收缝线(Ethicon)将角膜缘、角膜缘后6~8 mm处及睑板创面予以缝合固定。术中注意形成足够宽松的穹窿部。
, http://www.100md.com
9例(9只眼)角膜缘缺乏者,可采用联合角膜缘移植术以使角膜创面上皮化;7例(7只眼)角膜表面也用羊膜覆盖以重建角膜表面。术中尽可能将角膜创面剖削至基质基本正常,其中3例因植床为全混浊的瘢痕化或血管化组织,术中不能判断角膜厚度而未行植床的切削,直接行羊膜移植术。
四、印迹细胞学
对13例陈旧性眼化学伤和8例蚕蚀性角膜溃疡(泪液分泌功能大致正常)者,分别于术后2周、1、2、3、4及6个月进行印迹细胞学检查。方法:用0.4%盐酸丁氧普鲁卡因表麻后,于患者术眼的植片区域及对侧眼的相应位置用消毒的硝酸纤维素纸覆盖(粗糙面向下),用玻璃棒压迫几秒钟后取出,再将其置于95%酒精液中固定15 min以上,然后依次用0.5%高碘酸氧化,Schiff液染色,偏重亚硫酸漂洗,苏木素复染,最后透明、烘干、封片。于40倍的光学显微镜下查找标本上有无呈过碘酸希夫染色(periodic acid Schiff staining, PAS)阳性的杯状细胞[6]。
, 百拇医药
结果
一、羊膜植片情况
98.4%(62/63)新鲜的羊膜植片未见溃烂、溶解或吸收,无新生血管长入,周边对合、愈合良好,无染色。术后4~5 d羊膜呈灰白色,轻度水肿,随后逐渐透明,厚度正常。
1.急性期眼表病变术后情况:5例(6只眼)严重急性眼烧伤者中,5只眼术后角结膜未见继续溶解,无穿孔;裂隙灯检查虹膜未见萎缩,视力均较术前(3只眼光感,2只眼眼前手动)有不同程度的提高,手术后视力均达眼前50 cm指数。但均可见角膜表面的羊膜植片下有微窄的裂隙状积液或板层角膜移植片大泡性改变(图1~4)。可能为患眼的角膜内皮细胞受损后失代偿所致。1只眼因上、下睑严重缺损,未能有效地重建修复,出现明显的睑裂闭合不全,致使羊膜植片溶解。
8例蚕蚀性角膜溃疡均为多次复发者,平均术后1~3个月复发。新鲜羊膜移植术后随访观察6~13个月,均未见复发(图5,6)。
, http://www.100md.com
2.严重瘢痕期眼表病变术后情况:36例(41只眼)睑球粘连者中,38只眼形成了足够深的穹窿部且恢复了眼球运动功能,随访观察6~18个月,平均11个月;未见睑球粘连(图7~9)。其中13只因陈旧性眼化学伤行羊膜移植的患眼中,3只眼术后1周出现羊膜溶解,其植床均为瘢痕化或血管化;10只眼未见溶解。3只眼术后3个月再次发生部分睑球粘连,其面积远较术前小。








, 百拇医药
图1 急性碱化学伤(氢氧化钾)后3周,全角膜溶解、变薄(箭头1);全周角膜缘苍白、坏死(箭头2);全周球结膜充血,假性胬肉样增生(箭头3)
图2术后7个月,羊膜植片透明(箭头1)角膜植片下1/2处水肿,上皮呈大泡样改变(箭头2)
图3急性碱化学伤(氢氧化钠)后3周,眼表情况同图1
图4 示图3术后6个月,羊膜植片存在(箭头1),下方羊膜下轻度裂隙状积液(箭头2)
图5术前复发性蚕蚀性角膜溃疡(箭头)
图6 示图5术后13个月外观像
图7 Stevens-Johnson综合征,角膜表面全混浊,干燥,鳞状化(箭头)
, http://www.100md.com 图8 示图7术后18个月,上穹隆及眼表面上方形成良好(箭头)
图9 示图7术后18个月,羊膜植片透明(箭头)
二、印迹细胞学检查
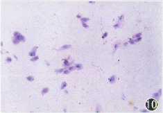
21例(21只眼)患者术后3个月羊膜植片表面印痕细胞学检查,均未见PAS阳性的杯状细胞(图10);术后4个月时,可见PAS阳性细胞。
图10 术后3个月,羊膜植片表面的印迹细胞学检查未见呈PAS阳性的杯状细胞
讨论
一、新鲜羊膜移植的可行性
羊膜是一种具有透明、有一定韧性且又无神经、血管和淋巴管的组织,其厚度约0.02~0.05 mm;是胚胎来源的组织,抗原性甚微。Akle等[7]报道单纯的新鲜羊膜在人体几乎不引起异物反应,抗原性极低;在志愿者的上肢皮下植入7周后仍未见受者血中的淋巴细胞杀伤羊膜上皮细胞。与本研究结果一致,新鲜羊膜植片移植后多数(98.4%)不发生溶解和溃烂。尽管羊膜中含有极少量的成纤维细胞,但新鲜羊膜移植后并不引起急性免疫排斥反应。
, http://www.100md.com
二、羊膜上皮细胞的存活时间及其意义
维持眼表上皮的稳定性是眼表重建成功的一个重要关键。本研究结果发现,术后3个月植片表面未见呈PAS阳性的杯状细胞长入,4个月时方可见PAS阳性细胞。同时可见术后羊膜表面光滑,且荧光素和孟加拉红染色均为阴性。而Prabhasawat和Tseng[8]报道,凡是在部分结膜重建者保存的羊膜均可促进杯状细胞和非杯状细胞的结膜上皮细胞的分化与长入。据此推断,术后3个月结膜上皮并未侵入羊膜植片表面,羊膜上皮仍然存活,因此阻止了杯状细胞的长入;此后羊膜上皮细胞则被结膜上皮细胞平稳更替。
新鲜羊膜因其带有完整的上皮层,可立即重建眼表上皮,防止胶原组织暴露,阻止胶原的溶解。有活性的羊膜上皮还可合成细胞因子,如β-转化生长因子、干扰素等成分[5,9],它们可能在眼表重建的过程中发挥着积极作用。本研究的急性期化学伤病例中,5只眼经羊膜移植后均阻止了角膜的进行性溶解和坏死,避免了角膜穿孔,且伤眼的虹膜亦未见明显萎缩的征象。因此,我们认为此现象的出现与有活性的羊膜生物学特性有密切的关系。
, 百拇医药
三、羊膜移植控制严重活动期眼表疾病的评价
严重急性期眼表化学伤或热烧伤时角结膜广泛坏死、溶解,传统的处理方法是在角膜即将穿孔时清理创面并行治疗性角膜移植术,结果多数植片呈血管化或继续溶解,行睑缘缝合术虽然可免除角膜穿孔,但术后多数出现严重的睑球粘连。在本组病例中,6只眼均经羊膜移植或羊膜移植联合板层角膜移植术,5只眼取得满意的效果。结果表明,新鲜羊膜在应用于急性严重的眼表烧伤时,不仅能有效地防止角结膜溶解及角膜穿孔,防止睑球粘连,减少新生血管的形成,而且可推迟角膜缘的排斥反应,恢复一定程度的视力。新鲜羊膜中的某些活性成分可减轻角膜局部炎性反应,为进一步处理创造了条件。但是羊膜移植并不能改善已经失代偿的角膜内皮。须注意的是,严重的眼表烧伤者常伴有眼睑缺损,使泪膜受到破坏。因此,术中应尽可能地重建眼睑,术后频繁滴用人工泪液,否则羊膜植片也将会出现血管化甚至溶解。
本组8例(8只眼)复发性蚕蚀性角膜溃疡采用羊膜移植或羊膜移植联合板层角膜移植治疗,经随访观察,未见复发。其中1例曾用单纯的板层角膜移植术并滴用1%环孢素A眼液,术后复发3次,平均术后1个月复发1次,第3次复发时行羊膜移植联合部分板层角膜移植术,术后随访观察13个月仍未见复发。因此推测,羊膜移植术后可抑制新生血管的长入,从而减少免疫反应细胞的来源,并更换了免疫反应中的靶组织,从而达到防止蚕蚀性角膜溃疡复发。我们认为,用羊膜移植术治疗蚕蚀性角膜溃疡以防止其复发是一个较有研究前景的治疗手段。
, http://www.100md.com
四、羊膜移植治疗严重瘢痕期眼表疾病的评价
本研究所选择的病例其睑球粘连面积均超过上方或下方结膜囊的1/2以上。以往对这类严重的睑球粘连患者常行睑球粘连分离联合自体唇粘膜移植术,并取得一定的效果。但移植后的唇粘膜组织逐渐变得肥厚且富含血管而呈红色,影响外观[10]。本研究结果表明,利用羊膜重建瘢痕期睑球粘连的眼表,能提供一个含基底膜和基质成分的胶原支架,以使受体的结膜或角膜表型的上皮细胞扩展及移行于其上,达到真正的结膜及角膜眼表的重建,减少新生血管的生成,阻止假性胬肉的长入,甚至可延长角膜缘的存活,是眼表重建的重要进展。羊膜取材方便,来源广泛,成本低,不失为一种富有前景的眼表重建生物学材料。
五、羊膜移植重建眼表的显微技术要点
1.彻底清除病变组织:急性炎症期的眼表面坏死组织应该清除干净。坏死的球结膜须彻底剪除。使用刮除或剖切方法清除表浅坏死组织,使巩膜达到正常界面,角膜的基质基本正常。瘢痕期的病例,术中应充分分离睑球粘连,切除增殖的瘢痕组织,恢复眼球的运动功能。否则会影响术后羊膜植片的存活甚至发生溶解。本组13只眼行羊膜移植重建角膜表面,3只眼因角膜的瘢痕和血管组织未能剖切干净,致使植片在术后约1周时溶解;而10只眼植床剖至相对正常者则在观察期内未见溶解。这足以证明植床剖切的重要性。
, 百拇医药
2.创面的烧灼止血:当急性期眼表清创或瘢痕期眼表彻底松解后形成创面的活动性出血点必须用微型止血器充分止血,否则可引起羊膜植片下积血,从而导致移植片延迟愈合甚至溶解、坏死。本组病例中,3只因陈旧性碱化学伤后而致严重睑球粘连眼术后再次发生部分睑球粘连(面积较术前小),均与术中出现羊膜植片下积血有关。
3.羊膜植片的缝合固定:羊膜移植重建眼表的手术操作过程优劣直接关系到其预后。羊膜与周边结膜及移植床组织(巩膜和睑板)裸露创面的仔细、充分地缝合固定至关重要。它不仅有利于羊膜植片的贴附和生长,还有利于受体正常表型的眼表上皮细胞增殖、移行于羊膜植片之上。一般而言,缝合固定多大的羊膜面积,就能形成多大面积的眼表。为方便缝合和完成穹窿部重建的手术操作,在近角膜缘的板层巩膜上分别于3、6、9及12点钟位作4针牵引缝线尤为重要。术中穹窿部形成良好的判断标准应为眼球上、下转动及闭睑功能完全恢复正常。此外,为确保穹隆部的形成,可考虑作2对穹隆部的临时提吊缝线,于眉毛下缘的皮肤穿出并用小硅胶片在皮肤面结扎,2周后拆除。
, 百拇医药
总之,新鲜羊膜移植可有效地用于重建角结膜表面,并且不引起临床上的急性免疫排斥反应,其上皮细胞可存活约3个月。它不仅可作为理想的生物支架作用,而且其有活性的羊膜上皮细胞也许还可发挥更多的积极作用。
参考文献
1 Shimazaki J, Yang HY, Tsubota K. Amniotic membrane transplantation for ocular surface reconstruction in patients with chemical and thermal burns. Ophthalmology,1997,104:2068-2076.
2 Kim JC, Tseng SC. Transplantation of preserved human amniotic membrane for surface reconstruction in severely damaged rabbit corneas. Cornea,1995,14:473-484.
, 百拇医药
3 Tseng SC,Prabhasawat P,Lee SH.Amniotic membrane transplantation for conjunctival surface reconstruction. Am J Ophthalmol,1997,124:765-774.
4 Dua HS, Azuara-Blanco A. Amniotic membrane transplantation. Br J Ophthalmol,1999,83:748-752.
5 Sato H, Shimazaki J, Shinozaki N, et al. Role of growth factors for ocular surface reconstruction after amniotic membrane transplantation. Invest Ophthalmol Vis Sci,1998,39 Suppl:S428.
, http://www.100md.com
6 Nelson JD, Havener VR, Cameron JD. Cellulose acetate impressions of the ocular surface:dry eye states. Arch Ophthalmol,1983,101:1869-1872.
7 Akle CA, Adinolfi M, Welsh KI, et al. Immunogenicity of human amniotic epithelial cells after transplantation into volunteers. Lancet,1981,2:1003-1005.
8 Prabhasawat P, Tseng SC. Impression cytology study of epithelial phenotype of ocular surface reconstructed by preserved human amniotic membrane. Arch Ophthalmol,1997,115:1360-1367.
9 Imakawa K, Ji Y, Yamaguchi H, et al. Co-expression of transforming growth factor beta and interferon tau during peri-implantation period in the ewe. Endocr J,1998,45:441-450.
10 陈家祺,杨斌,赵秀蓉. 自体唇粘膜移植术治疗严重睑球粘连. 实用眼科杂志,1992,10:536-538.
(收稿日期:1999-08-12), 百拇医药
单位:陈家祺(广州,中山医科大学中山眼科中心 510060);周世有(广州,中山医科大学中山眼科中心 510060);黄挺(广州,中山医科大学中山眼科中心 510060);刘祖国(广州,中山医科大学中山眼科中心 510060);陈龙山(广州,中山医科大学中山眼科中心 510060) 林跃生(广州,中山医科大学中山眼科中心 510060)
关键词:羊膜;移植;同种;烧伤;化学;角膜溃疡
中华眼科杂志000104 【摘要】 目的 探讨新鲜羊膜移植治疗严重的急性炎症期和瘢痕期眼表疾病的可行性并对其疗效进行评价。方法 选择本院急性化学伤、热烧伤共5例(6只眼),复发性蚕蚀性角膜溃疡8例(8只眼),各种原因导致的大面积睑球粘连42例(49只眼),共计55例(63只眼)临床连续住院患者,分别行单纯新鲜羊膜移植术38例(46只眼),羊膜移植联合板层角膜移植术8例(8只眼),羊膜移植联合角膜缘移植术9例(9只眼)。术后均经印迹细胞学追踪观察移植后羊膜上皮细胞存活的时间。术后随访观察6~18个月,平均11个月。结果 55例术后临床上均未见新鲜羊膜植片急性排斥反应。严重急性眼烧伤的6只眼中,术后5只眼无角结膜进行性溶解和穿孔,无新生血管和假性胬肉侵入角膜表面,虹膜亦未见萎缩,视力有不同程度的提高。复发性蚕蚀性角膜溃疡8只眼术后未见复发。严重睑球粘连49只眼中,46只眼恢复了眼球的运动功能,3只眼术后3个月再次发生睑球粘连。泪液分泌功能基本正常者羊膜上皮细胞移植后可存活约3个月。结论 新鲜羊膜移植可有效地用于重建角结膜表面,减轻炎性反应,减少新生血管的生成,抑制纤维组织增生,同时可用于防止蚕蚀性角膜溃疡的复发。充分清除眼表的病变组织和羊膜移植片的缝合固定,对羊膜移植重建眼表功能极其重要。
, 百拇医药
A clinical study on fresh amniotic membrane transplantation for treatment of severe ocular surface disorders at acute inflammatory and cicatricial stage
CHEN Jiaqi, ZHOU Shiyou, HUANG Ting
(Zhongshan Ophthalmic Center, Sun Yat-sen University of Medical Sciences, Guangzhou 510060, China)
【Abstract】 Objective To investigate the safety and evaluate the effect of fresh amniotic membrane transplantation to reconstruct the ocular surface with severe inflammation and scarring. Method Amniotic membrane transplantation (38 cases, 46 eyes), or combined with either limbal transplantation (9 cases, 9 eyes) or lamellar keratoplasty (8 cases, 8 eyes) was performed on ocular surface burns (5 cases, 6 eyes), recurrent Mooren′s ulcer (8 cases, 8 eyes) and severe symblepharon (38 cases, 46 eyes). All the patients were followed-up for 6-18 months (mean, 11 months). Impression cytology was examined in 21 eyes with normal tear secretion post-operatively. Results No acute rejection was observed after fresh amniotic membrane transplantation. No progressive melt and perforation were seen in five out of six eyes with burns in reconstructed ocular surfaces. Neovascularization, pseudopterygium and iris atrophy were not found during the follow-up. Visual acuity was improved in various degrees. Corneal ulceration was not noted in 8 cases (8 eyes) with frequently recurrent Mooren′s ulcer. Ocular surface reconstruction was successful in 46 of 49 eyes with severe symblepharon. Symblepharon occurred in the remaining three eyes but much less than pre-transplantation in degree. Amniotic epithelia have been examined in about three months on the transplanted eyes with normal tear secretion. Conclusion Fresh amniotic membrane can be used as a graft to reconstruct ocular surface. Such transplantation can effectively reduce neovascularization, fibrosis and inflammation. Our data indicated that complete removal of pathological tissues and perfect fixation of amniotic membrane graft are crucial steps in the reconstruction of ocular surface.
, 百拇医药
【Key words】 Amnion;Transplantation, homologous; Burns, chemical; Corneal ulcer
近年来许多学者在羊膜生物学特性的研究中发现,羊膜具有抗原性低、促进眼表上皮化、减轻炎性反应、抑制纤维组织增生和新生血管形成等作用[1]。用羊膜修复眼结膜和角膜缺损区的创面,可提供一个理想的基底膜,使其迅速上皮化及创口愈合,已受到眼科学界的广泛重视[2,3]。但目前许多学者多采用低温(-80℃)保存的羊膜重建静止期眼表疾病的眼表。用此法保存的羊膜其上皮细胞已经灭活[4],移植后羊膜需受眼的眼表上皮细胞增殖、移行并覆盖才能完成眼表病灶区的上皮化;同时羊膜组织中所含的各种利于促进眼表组织正常修复的活性成分保存后是否会出现效价衰减或其它变化等尚不十分清楚[5]。为使某些严重眼表疾病在治疗上能很快地完成创面的上皮化,我们于1998年2月采用新鲜羊膜移植重建严重急性期和瘢痕期的眼表,并通过临床观察和印迹细胞学进行追踪,观察移植后羊膜上皮细胞的存活时间,探讨新鲜羊膜移植重建眼表的可行性和控制急性期眼表疾病、治疗瘢痕期眼表疾病的价值以及与羊膜移植相关的显微手术技术。
, 百拇医药
资料与方法
一、病例选择
选择本院连续住院眼表疾病患者55例(63只眼),其中男34例(39只眼),女21例(24只眼)。年龄4~56岁,平均31.5岁。
急性期眼表病变:严重的角膜结膜化学伤或热烧伤后全角膜溶解、结膜缺血坏死,共5例(6只眼);复发性蚕蚀性角膜溃疡8例(8只眼)。严重瘢痕期眼表病变:陈旧性化学伤或热烧伤所致的严重睑球粘连、角膜假性胬肉侵入、眼表结膜缺损面积达1/2以上甚至近完全性结膜囊缺失,共36例(41只眼);Stevens-Johnson综合征伴有大面积睑球粘连者6例(8只眼)。术后随访6~18个月,平均11个月。
二、新鲜羊膜的制备
取HBsAg、衣原体、人免疫缺陷病毒及梅毒均阴性的健康孕妇剖宫产所获得的胎盘(羊膜)。取材均在无菌操作下完成。将胎盘(羊膜)用无菌生理盐水冲洗干净,置于含青霉素5×104 U/L、链霉素5×104 U/L及二性霉素B 2.5 mg/L的生理盐水中浸泡10 min,钝性剥离羊膜,使其与绒毛膜分离。将羊膜平铺于粘贴手术巾的纸片上,羊膜的粗糙面与纸的粗糙面相贴,羊膜上皮面向上。将上述附有羊膜的纸片修剪成5 cm×8 cm大小,置于青霉素1×105 U/L、链霉素1×105 U/L的DMEM培养基中,4℃冰箱中保存,备用。所制羊膜均于取材后12 h内使用。
, 百拇医药
三、羊膜移植手术方式
手术均于显微镜下完成,不同病例手术方法各异。术后常规绷带加压包扎,尽早敞开滴眼,对泪液功能分泌缺乏者,可频繁滴用人工泪液(潇莱威眼液),联合角膜缘移植或板层角膜移植术者加用糖皮质激素眼液(典必殊眼液)和1%的环孢素A油剂滴眼。
1.急性期严重的酸碱化学伤或热烧伤(角结膜广泛坏死溶解):(1)单纯的羊膜移植术:用显微剪剪除眼球表面坏死的全周近角膜缘处的球结膜和浅层巩膜直至血循环征象出现,然后用刀片切削、清除角膜表面的坏死组织,彻底止血后用等大的羊膜覆盖于角结膜创面上(上皮面向上),先用8-0可吸收缝线(Ethicon)将羊膜植片全周边缘与患眼球结膜创缘缝合固定,缝线必须经过表浅巩膜组织。再于角膜缘3、6、9及12点钟处用10-0尼龙缝线将羊膜固定于浅层巩膜。(2)羊膜移植联合带活性角膜缘的全板层角膜移植术:在清理角结膜创面后,先完成移植带活性角膜缘的全板层角膜植片,然后在其球结膜前段缺损区施行全周环形羊膜移植,羊膜植片固定同(1)。
, http://www.100md.com
2.复发性蚕蚀性角膜溃疡:手术方式的选择取决于溃疡部位、深度及范围。(1)病灶位于角膜周边部、溃疡深度较浅(未超过角膜厚度的1/2)且范围较小(未累及瞳孔区)者,先行角膜病灶清创后,将病灶区相邻的球结膜做4~6 mm切除。然后用等大的羊膜修复其角结膜创面,用10-0尼龙缝线将羊膜固定于角、结膜创缘处。(2)蚕蚀性角膜溃疡深度大于角膜厚度的1/2,且范围较广时,可行带角膜缘的板层角膜移植术、病灶区相邻球结膜切除联合羊膜移植术。
3.严重瘢痕期眼表疾病的眼表重建:术中用剪刀分离眼表的瘢痕组织并剪除上皮下的增殖组织,使残存的结膜组织后徙,暴露需重建的眼表植床。操作时应仔细,不可致角膜穿孔、损伤正常巩膜组织和眼外肌。于角膜3、6、9及12点钟方位近角膜缘的浅层巩膜处用6-0的可吸收缝线(Ethicon)分别作4针牵引缝线,以便随意牵引、充分暴露移植床。取同创面大小的羊膜移植片覆盖于结膜上,用8-0可吸收缝线(Ethicon)将角膜缘、角膜缘后6~8 mm处及睑板创面予以缝合固定。术中注意形成足够宽松的穹窿部。
, http://www.100md.com
9例(9只眼)角膜缘缺乏者,可采用联合角膜缘移植术以使角膜创面上皮化;7例(7只眼)角膜表面也用羊膜覆盖以重建角膜表面。术中尽可能将角膜创面剖削至基质基本正常,其中3例因植床为全混浊的瘢痕化或血管化组织,术中不能判断角膜厚度而未行植床的切削,直接行羊膜移植术。
四、印迹细胞学
对13例陈旧性眼化学伤和8例蚕蚀性角膜溃疡(泪液分泌功能大致正常)者,分别于术后2周、1、2、3、4及6个月进行印迹细胞学检查。方法:用0.4%盐酸丁氧普鲁卡因表麻后,于患者术眼的植片区域及对侧眼的相应位置用消毒的硝酸纤维素纸覆盖(粗糙面向下),用玻璃棒压迫几秒钟后取出,再将其置于95%酒精液中固定15 min以上,然后依次用0.5%高碘酸氧化,Schiff液染色,偏重亚硫酸漂洗,苏木素复染,最后透明、烘干、封片。于40倍的光学显微镜下查找标本上有无呈过碘酸希夫染色(periodic acid Schiff staining, PAS)阳性的杯状细胞[6]。
, 百拇医药
结果
一、羊膜植片情况
98.4%(62/63)新鲜的羊膜植片未见溃烂、溶解或吸收,无新生血管长入,周边对合、愈合良好,无染色。术后4~5 d羊膜呈灰白色,轻度水肿,随后逐渐透明,厚度正常。
1.急性期眼表病变术后情况:5例(6只眼)严重急性眼烧伤者中,5只眼术后角结膜未见继续溶解,无穿孔;裂隙灯检查虹膜未见萎缩,视力均较术前(3只眼光感,2只眼眼前手动)有不同程度的提高,手术后视力均达眼前50 cm指数。但均可见角膜表面的羊膜植片下有微窄的裂隙状积液或板层角膜移植片大泡性改变(图1~4)。可能为患眼的角膜内皮细胞受损后失代偿所致。1只眼因上、下睑严重缺损,未能有效地重建修复,出现明显的睑裂闭合不全,致使羊膜植片溶解。
8例蚕蚀性角膜溃疡均为多次复发者,平均术后1~3个月复发。新鲜羊膜移植术后随访观察6~13个月,均未见复发(图5,6)。
, http://www.100md.com
2.严重瘢痕期眼表病变术后情况:36例(41只眼)睑球粘连者中,38只眼形成了足够深的穹窿部且恢复了眼球运动功能,随访观察6~18个月,平均11个月;未见睑球粘连(图7~9)。其中13只因陈旧性眼化学伤行羊膜移植的患眼中,3只眼术后1周出现羊膜溶解,其植床均为瘢痕化或血管化;10只眼未见溶解。3只眼术后3个月再次发生部分睑球粘连,其面积远较术前小。
, 百拇医药
图1 急性碱化学伤(氢氧化钾)后3周,全角膜溶解、变薄(箭头1);全周角膜缘苍白、坏死(箭头2);全周球结膜充血,假性胬肉样增生(箭头3)
图2术后7个月,羊膜植片透明(箭头1)角膜植片下1/2处水肿,上皮呈大泡样改变(箭头2)
图3急性碱化学伤(氢氧化钠)后3周,眼表情况同图1
图4 示图3术后6个月,羊膜植片存在(箭头1),下方羊膜下轻度裂隙状积液(箭头2)
图5术前复发性蚕蚀性角膜溃疡(箭头)
图6 示图5术后13个月外观像
图7 Stevens-Johnson综合征,角膜表面全混浊,干燥,鳞状化(箭头)
, http://www.100md.com 图8 示图7术后18个月,上穹隆及眼表面上方形成良好(箭头)
图9 示图7术后18个月,羊膜植片透明(箭头)
二、印迹细胞学检查
21例(21只眼)患者术后3个月羊膜植片表面印痕细胞学检查,均未见PAS阳性的杯状细胞(图10);术后4个月时,可见PAS阳性细胞。
图10 术后3个月,羊膜植片表面的印迹细胞学检查未见呈PAS阳性的杯状细胞
讨论
一、新鲜羊膜移植的可行性
羊膜是一种具有透明、有一定韧性且又无神经、血管和淋巴管的组织,其厚度约0.02~0.05 mm;是胚胎来源的组织,抗原性甚微。Akle等[7]报道单纯的新鲜羊膜在人体几乎不引起异物反应,抗原性极低;在志愿者的上肢皮下植入7周后仍未见受者血中的淋巴细胞杀伤羊膜上皮细胞。与本研究结果一致,新鲜羊膜植片移植后多数(98.4%)不发生溶解和溃烂。尽管羊膜中含有极少量的成纤维细胞,但新鲜羊膜移植后并不引起急性免疫排斥反应。
, http://www.100md.com
二、羊膜上皮细胞的存活时间及其意义
维持眼表上皮的稳定性是眼表重建成功的一个重要关键。本研究结果发现,术后3个月植片表面未见呈PAS阳性的杯状细胞长入,4个月时方可见PAS阳性细胞。同时可见术后羊膜表面光滑,且荧光素和孟加拉红染色均为阴性。而Prabhasawat和Tseng[8]报道,凡是在部分结膜重建者保存的羊膜均可促进杯状细胞和非杯状细胞的结膜上皮细胞的分化与长入。据此推断,术后3个月结膜上皮并未侵入羊膜植片表面,羊膜上皮仍然存活,因此阻止了杯状细胞的长入;此后羊膜上皮细胞则被结膜上皮细胞平稳更替。
新鲜羊膜因其带有完整的上皮层,可立即重建眼表上皮,防止胶原组织暴露,阻止胶原的溶解。有活性的羊膜上皮还可合成细胞因子,如β-转化生长因子、干扰素等成分[5,9],它们可能在眼表重建的过程中发挥着积极作用。本研究的急性期化学伤病例中,5只眼经羊膜移植后均阻止了角膜的进行性溶解和坏死,避免了角膜穿孔,且伤眼的虹膜亦未见明显萎缩的征象。因此,我们认为此现象的出现与有活性的羊膜生物学特性有密切的关系。
, 百拇医药
三、羊膜移植控制严重活动期眼表疾病的评价
严重急性期眼表化学伤或热烧伤时角结膜广泛坏死、溶解,传统的处理方法是在角膜即将穿孔时清理创面并行治疗性角膜移植术,结果多数植片呈血管化或继续溶解,行睑缘缝合术虽然可免除角膜穿孔,但术后多数出现严重的睑球粘连。在本组病例中,6只眼均经羊膜移植或羊膜移植联合板层角膜移植术,5只眼取得满意的效果。结果表明,新鲜羊膜在应用于急性严重的眼表烧伤时,不仅能有效地防止角结膜溶解及角膜穿孔,防止睑球粘连,减少新生血管的形成,而且可推迟角膜缘的排斥反应,恢复一定程度的视力。新鲜羊膜中的某些活性成分可减轻角膜局部炎性反应,为进一步处理创造了条件。但是羊膜移植并不能改善已经失代偿的角膜内皮。须注意的是,严重的眼表烧伤者常伴有眼睑缺损,使泪膜受到破坏。因此,术中应尽可能地重建眼睑,术后频繁滴用人工泪液,否则羊膜植片也将会出现血管化甚至溶解。
本组8例(8只眼)复发性蚕蚀性角膜溃疡采用羊膜移植或羊膜移植联合板层角膜移植治疗,经随访观察,未见复发。其中1例曾用单纯的板层角膜移植术并滴用1%环孢素A眼液,术后复发3次,平均术后1个月复发1次,第3次复发时行羊膜移植联合部分板层角膜移植术,术后随访观察13个月仍未见复发。因此推测,羊膜移植术后可抑制新生血管的长入,从而减少免疫反应细胞的来源,并更换了免疫反应中的靶组织,从而达到防止蚕蚀性角膜溃疡复发。我们认为,用羊膜移植术治疗蚕蚀性角膜溃疡以防止其复发是一个较有研究前景的治疗手段。
, http://www.100md.com
四、羊膜移植治疗严重瘢痕期眼表疾病的评价
本研究所选择的病例其睑球粘连面积均超过上方或下方结膜囊的1/2以上。以往对这类严重的睑球粘连患者常行睑球粘连分离联合自体唇粘膜移植术,并取得一定的效果。但移植后的唇粘膜组织逐渐变得肥厚且富含血管而呈红色,影响外观[10]。本研究结果表明,利用羊膜重建瘢痕期睑球粘连的眼表,能提供一个含基底膜和基质成分的胶原支架,以使受体的结膜或角膜表型的上皮细胞扩展及移行于其上,达到真正的结膜及角膜眼表的重建,减少新生血管的生成,阻止假性胬肉的长入,甚至可延长角膜缘的存活,是眼表重建的重要进展。羊膜取材方便,来源广泛,成本低,不失为一种富有前景的眼表重建生物学材料。
五、羊膜移植重建眼表的显微技术要点
1.彻底清除病变组织:急性炎症期的眼表面坏死组织应该清除干净。坏死的球结膜须彻底剪除。使用刮除或剖切方法清除表浅坏死组织,使巩膜达到正常界面,角膜的基质基本正常。瘢痕期的病例,术中应充分分离睑球粘连,切除增殖的瘢痕组织,恢复眼球的运动功能。否则会影响术后羊膜植片的存活甚至发生溶解。本组13只眼行羊膜移植重建角膜表面,3只眼因角膜的瘢痕和血管组织未能剖切干净,致使植片在术后约1周时溶解;而10只眼植床剖至相对正常者则在观察期内未见溶解。这足以证明植床剖切的重要性。
, 百拇医药
2.创面的烧灼止血:当急性期眼表清创或瘢痕期眼表彻底松解后形成创面的活动性出血点必须用微型止血器充分止血,否则可引起羊膜植片下积血,从而导致移植片延迟愈合甚至溶解、坏死。本组病例中,3只因陈旧性碱化学伤后而致严重睑球粘连眼术后再次发生部分睑球粘连(面积较术前小),均与术中出现羊膜植片下积血有关。
3.羊膜植片的缝合固定:羊膜移植重建眼表的手术操作过程优劣直接关系到其预后。羊膜与周边结膜及移植床组织(巩膜和睑板)裸露创面的仔细、充分地缝合固定至关重要。它不仅有利于羊膜植片的贴附和生长,还有利于受体正常表型的眼表上皮细胞增殖、移行于羊膜植片之上。一般而言,缝合固定多大的羊膜面积,就能形成多大面积的眼表。为方便缝合和完成穹窿部重建的手术操作,在近角膜缘的板层巩膜上分别于3、6、9及12点钟位作4针牵引缝线尤为重要。术中穹窿部形成良好的判断标准应为眼球上、下转动及闭睑功能完全恢复正常。此外,为确保穹隆部的形成,可考虑作2对穹隆部的临时提吊缝线,于眉毛下缘的皮肤穿出并用小硅胶片在皮肤面结扎,2周后拆除。
, 百拇医药
总之,新鲜羊膜移植可有效地用于重建角结膜表面,并且不引起临床上的急性免疫排斥反应,其上皮细胞可存活约3个月。它不仅可作为理想的生物支架作用,而且其有活性的羊膜上皮细胞也许还可发挥更多的积极作用。
参考文献
1 Shimazaki J, Yang HY, Tsubota K. Amniotic membrane transplantation for ocular surface reconstruction in patients with chemical and thermal burns. Ophthalmology,1997,104:2068-2076.
2 Kim JC, Tseng SC. Transplantation of preserved human amniotic membrane for surface reconstruction in severely damaged rabbit corneas. Cornea,1995,14:473-484.
, 百拇医药
3 Tseng SC,Prabhasawat P,Lee SH.Amniotic membrane transplantation for conjunctival surface reconstruction. Am J Ophthalmol,1997,124:765-774.
4 Dua HS, Azuara-Blanco A. Amniotic membrane transplantation. Br J Ophthalmol,1999,83:748-752.
5 Sato H, Shimazaki J, Shinozaki N, et al. Role of growth factors for ocular surface reconstruction after amniotic membrane transplantation. Invest Ophthalmol Vis Sci,1998,39 Suppl:S428.
, http://www.100md.com
6 Nelson JD, Havener VR, Cameron JD. Cellulose acetate impressions of the ocular surface:dry eye states. Arch Ophthalmol,1983,101:1869-1872.
7 Akle CA, Adinolfi M, Welsh KI, et al. Immunogenicity of human amniotic epithelial cells after transplantation into volunteers. Lancet,1981,2:1003-1005.
8 Prabhasawat P, Tseng SC. Impression cytology study of epithelial phenotype of ocular surface reconstructed by preserved human amniotic membrane. Arch Ophthalmol,1997,115:1360-1367.
9 Imakawa K, Ji Y, Yamaguchi H, et al. Co-expression of transforming growth factor beta and interferon tau during peri-implantation period in the ewe. Endocr J,1998,45:441-450.
10 陈家祺,杨斌,赵秀蓉. 自体唇粘膜移植术治疗严重睑球粘连. 实用眼科杂志,1992,10:536-538.
(收稿日期:1999-08-12), 百拇医药